Каждая женщина должна регулярно следить за своим здоровьем и проходить ежегодные медицинские осмотры.
Одним из рекомендуемых ежегодных обследований является осмотр у врача-гинеколога и проведение ультразвукового исследования органов малого таза.
Довольно распространенным симптомом, обнаруживаемым у женщин во время УЗИ является жидкость в малом тазу, расположенная за маткой. Рассмотрим, о чем же может свидетельствовать данная находка и насколько опасной она является.
Ультразвуковое исследование является одним из самых доступных и достоверных методов, с помощью которого можно обнаружить даже небольшое содержание жидкости в полости малого таза.
На экране УЗ-сканера жидкостные образования за маткой выглядит черного или темно-серого цвета, чаще имеет форму узкой полоски, если ее количество небольшое.
При большом количестве она растекается между органами и принимает неправильную форму.
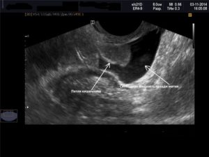
Свободная жидкость в позадиматочном пространстве
Точного количества жидкости за маткой в миллилитрах с помощью этого метода определить невозможно из-за того, что жидкость растекается между складками брюшины и органами и не принимает какой-то строгой формы. Тем не менее для описания количества жидкости на УЗИ в полости малого таза существуют определенные критерии.
Врач измеряет наибольшую длину вертикального уровня жидкости за маткой. Если высота уровня жидкости составляет до 10 мм, то ее количество считается незначительным.
После того, как врач ультразвуковой диагностики обнаружил жидкостное образование за маткой, он внимательно изучает состояние всех органов в малом тазу и пытается найти причину ее появления.
Небольшое количество свободной жидкости за маткой или в параовариальных областях (вокруг яичников) практически всегда обнаруживается в середине нормального менструального цикла после наступления овуляции.
Она возникает вследствие вытекания секрета из фаллопиевых труб, ответной реакции брюшины и самой фолликулярной жидкости, выделяемой из лопнувшего фолликула.
Свободная жидкость оказывается между листками брюшины, а также накапливается преимущественно позади матки.
Таким образом, выявление жидкостных образований за маткой в середине менструального цикла при отсутствии любых других изменений в женских половых органах является косвенным признаком состоявшейся овуляции и возможностью наступления беременности.
Также в норме незначительное количество крови может затекать из матки в полость малого таза во время менструации.
Это не говорит о какой-то патологии, и такая кровь, как правило, быстро исчезает после прекращения менструального кровотечения.
Чаще всего скопление жидкости в малом тазу является признаком какой-то патологии внутренних органов. Существует достаточно много заболеваний, в результате которых у женщины может накапливаться жидкость за маткой и обнаруживаться при УЗИ.
Одной из частых причин, являются воспалительные заболевания внутренних половых органов:
- эндометрит (воспаление внутренней маточной оболочки);
- сальпингит (воспаление труб);
- оофорит (воспаление яичников);
- аднексит (воспаление одновременно яичников и фаллопиевых труб).
Матка, пораженная эндометриозом
Другой частой причиной, приводящей к скоплению жидкости позади матки является эндометриоз. При этом заболевании клетки эндометрия могут располагаться практически в любом месте организма, например, на брюшине или в позадиматочном пространстве. Во время месячных они также как и эндометрий в матке начинают менструировать и выделять кровь, которая и накапливается в полости малого таза.
Жидкость может являться симптомом внематочной беременности. При этом у женщины наблюдается положительный тест на беременность и повышение специфического гормона – ХГЧ, но на УЗИ в полости матки плодное яйцо не визуализируется. При таких обстоятельствах обнаруживаемая жидкость является кровью, которая вытекает из разорвавшейся маточной трубы.
К накоплению жидкостных образований за маткой также приводят разрывы кист яичника, апоплексия яичника, образование эндометриоидных кист на яичнике, состояние после аборта и других оперативных вмешательств.
Разрыв ткани яичника
Болезни печени, цирроз, выраженная сердечная недостаточность, перитонит, некоторые злокачественные заболевания приводят к асциту – выраженному скоплению до нескольких литров свободной жидкости в животе – которая может свободно стекать в малый таз и таком образом визуализироваться на УЗИ во время обследования матки.
Кроме жидкости за маткой, на УЗИ можно обнаружить ее внутри маточной полости. Это состояние называется серозометрой.
Могут быть разные причины этого состояния: нарушение оттока лохий после родов, в результате воспалительных заболеваний мочеполовых органов, после хирургических вмешательств на матке, полипы в полости матки или шейке, гормональная терапия, спайки и другие причины.
Практически при всех вышеперечисленных состояниях, сопровождающихся обнаружением жидкости на УЗИ, женщину беспокоят какие-либо жалобы или другие симптомы, поэтому диагност тщательно осматривает внутренние органы и находит в них отклонения.
Если во время УЗИ у пациентки обнаружилось незначительное скопление жидкости в позадиматочном пространстве в середине менструального цикла, при этом ее совершенно ничего не беспокоит со стороны репродуктивной системы, и врач не нашел никаких других изменений у нее, то не стоит лишний раз паниковать. Это является вариантом нормы и не требует дальнейшей диагностики и лечения. Через несколько дней такая жидкость рассосется самостоятельно не причиняя никакого вреда.
Если же жидкость обнаруживается в другие дни цикла или выявляется в большом количестве, то это должно насторожить врача и пациентку. Врач при этом направит женщину на дополнительное дообследование в зависимости от сопутствующих жалоб и выявленных изменений на УЗИ.
Одним из методов диагностики является анализ пробы жидкости после пункции. Он расскажет о составе полученной жидкости и возможном источнике ее возникновения. Такую пункцию, как правило, выполняют методом лапароскопии. Кроме того, в качестве дообследования врач может назначить пациентке различные лабораторные анализы крови или мазки из влагалища.
Обнаружение жидкости за маткой во время ультразвукового исследования это еще не повод для паники.
Грамотный диагност установит ее примерное количество и предварительную причину скопления, даст рекомендации по тактике дальнейших действий для пациентки.
Если же врача УЗИ что-то настораживает, то не стоит игнорировать его беспокойство и следует обратиться для дальнейшей консультации к гинекологу или терапевту, чтобы не пропустить начало развития серьезных и опасных заболеваний.
Иногда на УЗИ врач может сказать, что визуализируется жидкость в позадиматочном пространстве при овуляции. В большинстве случаев это вполне естественный процесс, зависящий от стадии менструального цикла. Однако иногда визуализируется жидкость не только в позадиматочном пространстве, а и в брюшной полости. Нередко ее причиной служит не овуляция, а различные патологии.
Позадиматочное пространство находится за маткой, ограничивается оно брюшиной. Зачастую жидкость скапливается в нижней части. У здоровых женщин явление вызвано естественными причинами, однако порой имеют место быть серьезные проблемы.
Этот показатель определяется на УЗИ. В полость вводится специальный датчик, благодаря которому на экране отображаются все внутренние органы. Врач может оценить строение матки, посмотреть размеры яичников. Если вещество отсутствует, то оно не визуализируется.
Узнать другим способом о возможных патологиях в этой области сложно. В связи с этим не удивительно, что до обследования пациентки не знают о наличии проблем.
Жидкость в брюшной полости при овуляции – нормальный процесс, осуществляемый при разрыве фолликула и выходе яйцеклетки. Освободившись из капсулы, она направляется навстречу сперматозоидам для оплодотворения. Именно овуляторные процессы могут вызывать появление незначительного количества вещества.
https://youtube.com/watch?v=vzsYevkX0wk
Эти действия являются цикличными и фиксируются ежемесячно. Длятся они после завершения менструации до конца первой фазы. Вещество попадает в брюшную полость.
В самом же фолликуле его очень мало, поэтому жидкость за маткой после овуляции является нормой и не должна вызвать чувство тревоги. Через несколько дней она автоматически рассасывается.
Если возникают другие случаи, то нужно провести обследования рядом находящихся органов.
Существует и иные естественные причины, которые не должны вызвать беспокойство. Речь идет о:
- месячных. Когда наблюдаются выделения, кровь может попасть в полость позади матки. Это происходит, поскольку в брюшную полость плавно перемещается эндометрий,
- периоде раннего полового созревания.
Наблюдение за здоровьем пациентки нужно проводить в течение нескольких дней. При этом часто женщины жалуются на боль в области яичников и повышенную температуру тела. Если при повторном скрининге произошла абсорбация жидкости после овуляции в малом тазу, то все прошло в динамике, а когда остается назначаются дополнительные анализы, направленные на выявление проблемы.
Существуют факторы, которые объясняют такое явление. Несмотря на то, что они считаются косвенными, закрывать глаза на них не стоит:
- вредные привычки,
- беспорядочная половая жизнь,
- прошлые операции на половых органах,
- малоподвижный образ жизни,
- нездоровый рацион питания,
- гормональный дисбаланс.
Часто жидкость в позадиматочном пространстве возникает при воспалениях таких органов как:
- яичники,
- матка,
- маточные трубы,
- мочевой пузырь.
Когда диагностируются такие заболевания, рассосаться скопившемуся веществу нужно помочь. После прохождения ультразвукового исследования доктор определит курс лечения. К слову, больные не могут назначить его себе сами, контроль врача нужен обязательно. Зачастую назначаются препараты антибактериального действия. Особенности лечения зависят от каждого конкретного случая.
Если заболевание найдено на первоначальной стадии, то гинеколог наверняка ограничится назначением антибиотиков. В том случае, когда эффект от приема лекарственных средств не наблюдается, лучше прибегнуть к уколам и капельницам.
Когда ситуация запущена, то в тканях образуются гнойные скопления. Тогда проводится оперативное вмешательство. При нем гнойник вскрывается, чтобы предотвратить его попадание в брюшину. В противном случае последствия могут быть самые плачевные.
Бывает так, что абсцесс находится на матке или яичниках, органы придется удалять. Носителем инфекционного недуга может выступать половой партнер. В связи с этим врач отправляет и его на обследование.
Одним из вариантов патологий является присутствие большого количества кровянистой жидкости. Она попадает из яичника, который разорвался. В медицине эта болезнь носит название апоплексия.
Недуг развивается при фолликулярной кисте, разрыве внутренних сосудов, строме яичника или его кисте. После его разрушения вещество попадает в брюшину. Зачастую кровь имеет небольшие сгустки.
Все это сопровождается:
- обильной секрецией,
- слабостью,
- головными болями,
- дискомфортом в пояснице.
Кровь нередко появляется в результате жесткого сексуального контакта, травмах, чрезмерных физических нагрузках, деформации придатков.
Порой речь идет о воспалении органов малого таза. Этот недуг называется гнойный сальпингит. Узист видит удлинение или расширение труб. Болезнь характеризуется повышенной температурой, болевыми ощущениями, повышенной чувствительностью.
При таком диагнозе анализы показывают большое количество лейкоцитов. Лечить это нужно строго оперативным вмешательством. Все лишнее удаляется, острое воспаление хирурги купируют, подавляется влияние микробов, очаг поражения тщательно обрабатывается, если имеются метаболические нарушения, то они корректируются.
Сам же лечебный процесс является длительным. Он состоит из реабилитационного периода, во время которого за состоянием пациента следит профильный специалист. Периодически сдаются анализы и делаются скрининги, чтобы посмотреть, как восстанавливается организм.
Итак, жидкость в позадиматочном пространстве при овуляции в целом нормальное явление. Разрыв фолликула не должен вызывать у женщины тревог. Однако когда существует более серьезная симптоматика и узист фиксирует жидкость в позадиматочном пространстве, то стоит обратиться к врачу. Причиной патологии считается не овуляция, а воспалительные процессы.
Загрузка…
Во время проведения УЗИ малого тазау женщин может быть обнаружена жидкость в позадиматочном пространстве. Иногдаона является нормальным физиологическим явлением, а в некоторых случаях –свидетельствует о патологическом процессе. Причину появления жидкости выясняютпри комплексном обследовании организма.
Позадиматочное пространство локализуется в брюшной полости, за маткой. В медицине его также называют дугласовым пространством. В определенные дни менструального цикла скопление жидкости в позадиматочном пространстве в незначительном количестве считается нормой. В других случаях оно указывает на наличие гинекологического заболевания.
Дугласово пространство — описание
Жидкость позади матки можно обнаружить при проведении ультразвукового исследования. Чтобы уточнить природу ее происхождения, требуется провести пункцию. Ее делают во время лапароскопической операции.
Забор материала осуществляют шприцом объемом 20 мл. При необходимости, процесс взятия материала сопровождается ультразвуковым мониторингом. Это позволяет избежать повреждения сосудов малого таза. Полученный образец жидкости отправляют на лабораторное исследование.
Дополнительно берется влагалищный мазок и проводится анализ крови.
Недостаточное количество материала, взятого во время пункции, не свидетельствует об отсутствии патологий. Забору крови может препятствовать спаечный процесс в области малого таза. В этом случае диагноз уточняется посредством других лабораторных исследований.
Спаечный процесс — описание
Овуляцией называют период повышения фертильности у женщины. Он сопровождается выходом яйцеклетки в брюшную полость. В норме он приходится на середину менструального цикла. В первую половину цикла яйцеклетка зреет в плотной капсуле фолликула.
Она окружена фолликулярной жидкостью. Во время овуляции стенки фолликула надрываются, в результате чего его содержимое попадается вместе с яйцеклеткой в позадиматочное пространство. Этому процессу способствует резкий скачок уровня ЛГ в организме.
Если женщина посетит УЗИ после овуляции, врач обнаружит в дуглосовом пространстве жидкость. Ее количество зависит от объемов фолликула и дня менструального цикла. Больше всего жидкости можно увидеть на следующий день после овуляции. Через 3-5 дней после разрыва фолликула она полностью впитывается. По ее наличию врачи нередко подтверждают случившуюся овуляцию.
Помимо жидкости, должно присутствовать желтое тело в том яичнике, где созревала яйцеклетка.
Жидкость может попадать в позадиматочное пространство по ряду причин. Если она присутствует на протяжении всего менструального цикла, то речь идет о заболеваниях половой системы. К наиболее распространенным причинам скопления жидкости за маткой относят:
Если природа происхождения жидкости патологическая, женщина замечает возникновение и других симптомов. Чаще всего заболевания половых органов сопровождаются болью внизу живота. К ней может добавляться специфический запах влагалищных выделений и проблемы с мочеиспусканием. Также ухудшается общее самочувствие. Может наблюдаться субфебрильная температура тела.
Проникновение жидкости в позадиматочное пространство может быть спровоцировано воспалительным процессом. Он затрагивает следующие органы половой системы:
- Мочевой пузырь;
- Матка;
- Придатки;
- Фаллопиевы трубы.
Воспаление возникает припереохлаждении половых органов или в результате развития инфекционныхзаболеваний. Если после овуляции жидкость рассасывается самостоятельно, то привоспалении потребуется лечение.
Первоначально проводятся исследования,позволяющие определить причину воспалению. Анализ крови покажет увеличениечисло лейкоцитов и показателя СОЭ. В зависимости от результата, подбираетсяспособ лечения.
Тест на скорость оседания эритроцитов СОЭ — описание
Медикаментозная терапия включает всебя прием антибиотиков. Их вводят внутривенно или внутримышечно. Лечениеосуществляют в стационаре. Дополнительно проводится витаминотерапия.
Курс включает в себя 7-10 процедур магнитотерапии, электрофореза иливоздействия ультразвуком.
Кровоизлияние в брюшную полостьтребует неотложного вмешательства медиков. Такое состояние считается крайнеопасным для здоровья и жизни женщины. Кровь скапливается за маткой в случаесерьезного повреждения яичников, маточных труб или органов пищеварения. Длятакой ситуации характерны следующие симптомы:
- Боль в нижней части живота и поясницы;
- Ослабленное состояние;
- Головокружение, потеря сознания;
- Кровянистые выделения из влагалища.
К физиологическим причинамскопления крови за маткой относят менструацию и послеродовой период. В этихслучаях ультразвуковой мониторинг проводят только при наличии острой необходимости.
Патологическое скопление крови может быть спровоцировано разрывом маточной трубы в результате внематочной беременности. Разрыв обусловлен ростом плода в нетипичном для него месте.
Такое случается при непроходимости труб или нарушения их сократительной способности. Чтобы вовремя диагностировать аномальное расположение эмбриона, требуется посетить кабинет УЗИ и проанализировать динамику гормона ХГЧ.
Согласно статистическим данным, чаще всего патологическую беременность диагностируют до момента разрыва трубы.
После обнаружения крови в дугласовом пространстве потребуется хирургическое вмешательство. Первоначально принимаются меры по откачиванию крови. Следующим шагом устраняется очаг проблемы. При внематочной беременности удаляют часть маточных труб.
Скопление крови в дугласовом пространстве нередко сопровождается маточным кровотечением. К возможным причинам его появления относят:
- Угроза выкидыша;
- Внематочная беременность;
- Разрыв матки или яичника;
- Дисфункция яичников;
- Эндометриоз;
- Патологические образования на шейке матки;
- Опухолевидный процесс;
- Кровотечение после абортативного вмешательства.
Внематочная беременность — описание
Чаще всего женщины принимаютматочное кровотечение за гормональный сбой, сопровождающийся сдвигомменструации. Но причины патологического процесса могут быть более серьезными.
Поэтому важно посетить гинеколога сразу после обнаружения подозрительнойсимптоматики. Особую опасность несут выделения, появившиеся при беременности.
Ониуказывают на угрозу прерывания или внематочное расположение плодного яйца.
Разрыв придатка, матки иликистозного образования может быть спровоцировано активным половым актом,чрезмерными физическими нагрузками или травмированием. В этом случае боль будетиметь острый характер. На этой почве женщина способна потерять сознание.
Регулярное посещение гинеколога – это не прихоть самих докторов. Посещать врача несколько раз в год следует всем представительницам прекрасного пола.
Зачастую женщины пренебрегают этим наставлением и приходят на осмотр только при появлении каких-либо признаков. Однако не стоит выпускать из виду, что некоторые патологии в репродуктивных органах длительное время могут не проявляться.
Так себя ведет жидкость за маткой, обнаружение которой чаще всего становится неожиданностью для женщины.
Наличие свободной воды в Дугласовом пространстве — это не заболевание, но может быть симптомом патологии.
Жидкость за детородным органом или в параовариальных областях скапливается в середине менструального цикла, после наступления овуляционного процесса. Это нормальное явление, не требующее определенного лечения.
Достаточно часто свободная жидкость за маткой является признаком патологии внутренних органов женщины. Определить на УЗИ точный объем такого образования крайне сложно, потому что она растекается между репродуктивными органами. Медики разработали определенные критерии, позволяющие оценить состояние жидкости в позадиматочном пространстве (измеряется длина вертикального уровня образования):
- незначительным считается скопление воды до 10 мм;
- от 10 мм до 50 мм — умеренная стадия;
- более 50 мм — значительная.
Объем воды за маткой сопоставляется с менструальным циклом женщины. Если у доктора возникают подозрения по поводу причины наличия большого количества воды за маткой, он может назначить дополнительные инструментальные тесты.
Овуляция — это естественный процесс, при котором происходит скопление воды в Дугласовом пространстве. Она не грозит серьезными проблемами, поскольку образуется небольшое количество жидкости. Овуляционный процесс происходит следующим образом:
- сначала образуются фолликулы;
- один из пузырьков опережает рост других, в нем происходит формирование яйцеклетки;
- жидкостное образование достигает до 20-25 мм в диаметре;
- далее фолликул разрывается, чтобы яйцеклетка покинула оболочку и начала продвигаться к детородному органу.
У здоровой женщины овуляционный процесс происходит ежемесячно. Когда клетка освобождается из фолликула и проходит к матке — это овуляция. В фолликуле находится жидкость, но ее очень мало. При разрыве пузырька вода может проникнуть в брюшную полость.
На УЗИ врач увидит небольшое ее количество, что является нормой. Жидкость через несколько дней рассасывается и не доставляет женщине неудобств.
Кроме овуляции, образование воды в позадиматочном пространстве может произойти по такие естественным причинам, как период раннего полового созревания, месячные.
Жидкость позади матки может быть кровянистой. Такое образование не является нормой. Возникновение кровянистых выделений в Дугласовом пространстве означает наличие патологии, способной привести к образованию апоплексии. Причины появления кровоизлияния:
- разрыв сосуда;
- наличие кисты фолликула;
- киста на яичнике или строма.
После нарушения целостности ткани яичника происходит высвобождение воды в брюшную полость. Образование жидкости кровавого характера в позадиматочном пространстве вызывает боль, слабость, головокружение. При этом у женщины появляются выделения характерного цвета — красного или темно-коричневого.
Жидкость в Дугласовом пространстве может превратиться в сгустки. Основными причинами такого явления являются:
- постоянные травмы;
- жесткий секс;
- поднятие тяжестей;
- гиперемия;
- воспалительный процесс;
- расширенные сосуды.
Нельзя запускать такие патологии. Если девушка знает о наличии заболеваний по женской части, то она должна посещать гинеколога, лечиться, чтобы не допустить апоплексии и последующего проникновения жидкости в позадиматочное пространство.
Образование воды в Дугласовом пространстве часто является причиной какого-то патологического процесса, протекающего во внутренних репродуктивных органах женщины. Врачи выделяют множество заболеваний, способных привести к скоплению жидкости. К ним относятся следующие патологии:
- воспалительный процесс в поверхностном слое эндометрия (эндометрит);
- воспаление в почках, печени, сердечная недостаточность приводят к образованию асцита, в результате которого свободная жидкость стекает в органы малого таза;
- доброкачественные образования, характеризующиеся ограниченным разрастанием эндометрия в виде бугорка на тонкой ножке;
- инфекционное заболевание, сопровождающееся односторонним или двусторонним воспалением маточных труб (сальпингит);
- аднексит (воспаление яичников и фаллопиевых труб);
- оофорит.
Образование жидкости в Дугласовом пространстве может означать наличие внематочной беременности, при которой тест на беременность покажет положительный результат.
Кроме того, такое явление вызывает эндометриоз, возникновение эндометриоидных кист на яичниках, состояние после аборта. Обнаружив на УЗИ скопление жидкости за маткой, не стоит паниковать.
Грамотный врач назначит соответствующее лечение, проконсультирует пациентку и даст рекомендации по тактике дальнейших действий женщины.
Иногда возникает ситуация, когда при проведении ультразвукового исследования, врач обнаруживает небольшое количество жидкости в позадиматочном пространстве. Чем это чревато и какими проблемами грозит, разберем детально.
Само позадиматочное пространство располагается за маткой и ограничивается брюшиной. Скопление жидкости возможно в нижней части этой полости.
Иногда незначительная жидкость в позадиматочном пространстве может быть вызвана естественными причинами и не грозит серьезными проблемами.
Незначительная жидкость в позадиматочном пространстве обычно не является проблемой
Возможно это при разрыве фолликула. Напомним, как происходит овуляционный процесс:
- В яичнике развиваются жидкостные пузырьки — фолликулы.
- Один пузырек опережает по росту остальные и служит оболочкой для формирования яйцеклетки. Остальные пузырьки постепенно уменьшаются в размерах и исчезают.
- Фолликул достигает 20-25 мм в диаметре, что говорит о полноценном развитии клетки.
- Пузырек разрывается, клетка покидает оболочку, продвигаясь к матке.
Незначительную жидкость в позадиматочном пространстве могут вызвать овуляционные процессы
Такой процесс цикличен и наблюдается каждый месяц. Длится он после окончания месячных до середины цикла. Процесс освобождения клетки и называется овуляцией.
Именно в момент разрыва возможно попадание некоторого количества жидкости в брюшную полость. Но в фолликуле этой жидкости весьма мало и даже ее попадание в область за матку не вызовет тревог.
Врач определит такое содержание нормативным и своевременным (в середине цикла). Через пару дней жидкость рассосется.
Жидкость в позадиматочном пространстве может появиться еще при некоторых естественных процессах, что не должно вызывать боязни:
- Месячные. Во время кровянистых выделений возможен заброс крови в эту полость. Беспокоиться не стоит. Во время менструации эндометрий вместе с выделениями переходит в брюшную полость.
- У молодых девушек или девочек в период раннего полового созревания может наблюдаться излишняя жидкость в полости. Врач проверит и диагностирует норму.
Свободная жидкость в позадиматочном пространстве диагностируется с помощью УЗИ
При обнаружении подобной проблемы на УЗИ, если это не сопровождается признаками нестабильности процесса (температура, боль), врач определяет 2-3 дня для наблюдений.
Если при повторном УЗИ жидкость абсорбировалась, процесс прошел ритмично. Если остается, проводят дополнительные анализы и обследования, чтобы выявить проблему.
Нередко она может быть вызвана заболеванием, причем очень серьезным, требующим незамедлительного вмешательства.
Важно
Лучше не ожидать и при первых симптомах одного из нижеперечисленных заболевания посетить больницу и пройти исследование и лечение при необходимости.
Кроме естественной причины, небольшая жидкость в позадиматочном пространстве собирается при некоторых болезнях, вызванных воспалительными процессами. Вызвать скопление могут воспаления любых органов половой и мочеиспускательной сферы:
- матка;
- фаллопиева труба;
- яичники;
- мочевой пузырь.
При подобных заболеваниях жидкость самостоятельно рассосаться не может. Врач направит пациентку на УЗИ и будет наблюдать при прохождении курса лечения ситуацию.
При воспалении свободная жидкость в позадиматочном пространстве требует лечения под контролем врача
Необходимо уменьшить и наблюдать жидкость в позадиматочном пространстве в незначительном количестве. Для подтверждения воспаления проводят дополнительные анализы. Выставив точный диагноз, специалист назначит антибактериальные препараты. Особенности лечения могут отличаться исходя из сложности случая:
- При выявлении заболевания на начальной стадии врач прописывает несколько видов антибиотиков. Если прием лекарств эффекта не дает, ввод антибиотиков происходит посредством капельницы или инъекции.
- При запущенной ситуации, когда в тканях присутствуют гнойные скопления, назначается операция. Она необходима для вскрытия гнойника, чтобы не допустить заполнение гноем брюшной полости, что приведет к печальным последствиям. Если абсцесс находится на яичнике или матке, иногда возможно и удаление пораженного органа, если сохранить его невозможно.
- В обязательном порядке назначают анализы для партнера. Он может выступать носителем инфекции. Если ее не устранить, возможно повторное заболевание аналогичного типа у женщины.
Еще один случай, когда образуется жидкость в позадиматочном пространстве – при беременности внематочной. Как мы знаем, яйцеклетка в половых путях встречается с мужскими клетками, с одним из которых возникает контакт и, как следствие, оплодотворение.
Далее плодное яйцо поступает к матке. Там оно должно прикрепиться к ее стенке. Но бывают ситуации, когда яйцо закрепляется на стенке маточной трубы. Такая неправомерная имплантация провоцирует разрыв стенки трубы, из-за чего жидкость поступает за матку.
Диагностируется это посредством тестов, анализов и УЗИ. Но внематочное зачатие подает болезненные признаки задолго до накопления излишка жидкости. Потому упустить этот момент и обнаружить его только при УЗИ не получится.
Жидкость в позадиматочном пространстве, причины ее появления — все это может диагностировать врач. Мы здесь рассматриваем общие случаи, одним из них выступает кровоизлияние в яичник (апоплексия). Это возможно при таких обстоятельствах:
- строма яичника;
- разорвался сосудик;
- киста фолликула;
- киста яичника.
При этом происходит кровоизлияние непосредственно в яичнике, а после разрушения ткани последнего – переходит в брюшную полость. Наблюдающаяся по УЗИ жидкость носит кровавый характер. Это преимущественно кровь, зачастую со сгустками. Обнаружить такое нарушение можно по следующим симптомам:
- боль в области брюшной части, в районе поясницы;
- выделение кровяной слизи из влагалища;
- слабость, головокружение.
Вызвать жидкость в позадиматочном пространстве в виде кровяных сгустков могут любые причины: травма, грубый половой акт, сильные физические нагрузки.
Любое подобное действие вызывает нарушения в сосудистой системе или тканях яичника.
Жидкость в позадиматочном пространстве может быть вызвана апоплексией
Это очень серьезное заболевание, требующее срочного лечения и обращения к врачу. Лечение происходит поэтапно: остановка кровотечения, восстановление тканей пострадавшего яичника, стабилизация организма из-за большой кровопотери.
Если накапливается свободная жидкость в позадиматочном пространстве и прямокишечном углублении, это может быть вызвано острым воспалением органов малого таза. Название болезни – гнойный сальпингит. На УЗИ оно выглядит как расширение маточных труб (увеличение или удлинение) и наличие жидкости. Выявить данное заболевание можно по таким признакам:
- болевые ощущения;
- чувствительность, неприятные ощущения при движении шейки матки;
- повышение температуры.
При сдаче анализов диагноз подтвердят большое количество лейкоцитов, СОЭ и обнаружение гноя при пункции заднего свода. Лечение подразумевает операционное вмешательство.
При этом обязательно удаляется лишняя жидкость, купируется острое проявление воспаления, подавление воздействия микробов, обрабатывается очаг поражения и корректируется метаболическое нарушение.
Лечение происходит длительно и включает реабилитационный период под присмотром врача, чтобы удостоверится в приходе в нормальный ритм работы всех органов.
Итак, жидкость в позадиматочном пространстве после овуляции или во время разрыва фолликула не должна вызывать тревог. Она находится в пределах нормы и быстро исчезает.
Но существуют и немало серьезных причин, которые также сопровождаются сбором жидкости в полость. Потому стоит систематически посещать гинеколога, даже при отсутствии проблем, чтобы не пропустить отклонение в привычной работе всех систем.
При болевых и других неприятных симптомах, обращение к гинекологу откладывать не нужно.
- Общие сведения
- Причины
- Диагностика
- Терапия
Каждая женщина в обязательном порядке должна заботиться о состоянии здоровья своей репродуктивной системы.
Многие гинекологические заболевания, длительное время протекают бессимптомно, поэтому и девушки нередко пренебрегают осмотрами у врачей, ссылаясь на то, что если ничего не болит и не беспокоит, значит, никакой угрозы нет.
Чаще всего специалиста посещают представительницы слабого пола при вынашивании ребенка. В ходе планового ультразвукового скрининга органов малого таза врач может диагностировать в матке жидкость при беременности. Нередко это пугает и настораживает девушек, а также заставляет их задуматься о том, насколько данное состояние опасно для ребенка.
Сразу стоит сказать, что такой диагноз не всегда означает что-то опасное, при этом он может быть определен у любой представительницы слабого пола, в зависимости от того, какой в настоящее время протекает период менструального цикла. Если рассматривать состояние нормы, то жидкость за маткой на УЗИ при беременности не должна выявляться.
Жидкость позади матки.
Однако если она есть, обязательно необходимо пройти тщательное обследование организма, поскольку данный симптом может говорить о развитии какого-либо заболевания.
Иногда на ранних сроках вынашивания может быть диагностирована позадиматочная жидкость при внематочной беременности.
Врачи стараются максимально тщательно контролировать состояние здоровья будущей матери и ее ребенка, поэтому к различным изменениям или отклонениям относятся настороженно. Если в маточной полости диагностирована жидкость, то это может говорить о том, что у пациентки зарождается процесс воспалительного характера в органах малого таза.
Однако для того чтобы точно определить, что стало причиной развития данного состояния, однозначно придется провести множество исследований и анализов, поскольку без сопутствующих патологий жидкость в матке не будет являться серьезной проблемой, если ее количество незначительное.
Так, например, жидкость в матке при беременности на ранних сроках относится к нормальным состояниям, поскольку говорит об успешном оплодотворении. Если в ее составе присутствует кровь, то необходимо рассматривать вариант внематочной беременности. Также причинами нередко становятся опухолевые образования.
https://youtube.com/watch?v=GS3mPoY56vQ
Однако вне зависимости от того, в какой момент в матке появилась жидкость, ее возникновение могли спровоцировать следующие патологии: прикрепление плодного яйца в фаллопиевой трубе; прогрессирование эндометриоза; развитие аднексита или сальпингита; инфекционное поражение органов малого таза.
Большое количество гинекологических заболеваний протекает без выраженной симптоматики. Многие девушки во время беременности могли не изъявлять врачам каких-либо жалоб, при этом серьезный патологический процесс уже прогрессировал. Большинство из этих состояний удается диагностировать только после ультразвукового скрининга.
После того как было проведено УЗИ, специалист сможет определить, какой внутренний орган поражен. Однако если у него возникнут какие-либо сомнения, он назначит дополнительные анализы.
Для того чтобы понять, насколько опасна жидкость в матке во время беременности, и если ее очень много, женщине может быть назначена пункция.
Даже по цвету биологического экссудата специалист сможет определить, насколько критичным является состояние пациентки и ее будущего ребенка.
Наличие жидкости в матке на УЗИ.
Жидкость в матке может быть белой, прозрачной, иметь примесь гноя или крови. В последнем случае если данное состояние выявляются на ранних сроках беременности, врач диагностирует внематочное расположение плодного яйца, что обязательно требует прерывания.
После того как биологическая масса была выявлена, врачи первое время не будут предпринимать каких-либо действий, поскольку она может уйти самостоятельно. Если этого не происходит и отмечается последующие скопление, тогда проводят дополнительные исследования, поскольку в таком состоянии не исключена замершая беременность.
Сразу стоит сказать, что как такового специфического лечения при выявлении жидкости в маточной полости, нет. Это обусловлено тем, что терапевтические мероприятия необходимо направлять на устранении первопричины, то есть, изначально специалистам необходимо выявить патологию, под воздействием которой в репродуктивном органе скопилась биологическая масса.
Нередко данное состояние выявляется у женщин в период беременности, которые так и не смогли отказаться от вредных привычек, например, продолжают курить, употреблять алкоголь, ведут беспорядочные половые связи, плохо питаются, в организме отмечается недостаток витаминов.
Если своевременно посещать гинеколога, особенно в период вынашивания ребенка, проходить все назначенные исследования и сдавать рекомендованные анализы, то вероятность того, что беременность будет осложненной, крайне минимальная. Также очень важно своевременно подготавливаться к зачатию обоим половым партнерам, а женщине необходимо отказаться от вредных привычек и вести здоровый образ жизни.
Поделиться:










