Случается, что женщина решает прервать беременность по определенным причинам. Чаще всего прибегают к медикаментозному способу, который проводится самостоятельно на раннем сроке беременности. Этот метод, как и остальные, считается опасным, поскольку возможен неполный аборт.
При искусственном прерывании беременности, независимо от вида вмешательства, может возникнуть осложнение. Плодное яйцо частично или полностью остается внутри детородного органа.
Оставшиеся в матке ткани эмбриона из-за разложения провоцируют развитие инфекционных патологий или мясистого заноса (уплотненные сгустки крови). Образование красно-желтого цвета появляется в плодном яйце на месте омертвевшего эмбриона. Оно может быть размещено и в полости матки, и в трубе при внематочной беременности.
Патология возникает после 12 недель беременности, а при фармацевтическом аборте, спустя несколько недель после принятия таблетки.
Если плодное яйцо выведено из матки не полностью, а за помощью пациентка обратилась с опозданием, то возможно развитие обильного кровотечения. В некоторых случаях это состояние способно привести к развитию анемии или сепсиса (заражение крови).
При присоединении инфекции потребуется длительное лечение. Не исключено нарушение детородной функции при самопроизвольном аборте.
Обычно полному отхождению остатков плодного яйца препятствует недостаточное раскрытие шейки матки, наличие связи частей плода либо его оболочек с маточной стенкой.
Непосредственными причинами считаются:
- Ошибка врача. Некачественно проведенный аборт, или медпрепараты для медикаментозного прерывания назначены неправильно.
- Сбой гормонального фона. Медикаментозное прерывание, проведенное после 12 недель беременности.
- Наследственность. Организм беременной не способен полностью справиться с нагрузкой, возложенной на него.
- Воспалительные процессы. При присутствии любой инфекции организм может неправильно отреагировать на медикаментозное прерывание.
- Пищевое отравление. Часть лекарственного средства для прерывания нежелательной беременности будет выведено, если принимались препараты, нейтрализующие токсины.
- Аномалии строения матки. Это препятствие для свободного изгнания плода из органа.
Вероятность выкидыша повышена у женщин с хроническим эндометритом, ранее перенесенными абортами и диагностическим выскабливанием, которое проводится для выявления патологий матки.
Незавершенный аборт — явление нераспространенное, но одной женщине из ста может не повезти.
Риск существует по ряду причин:
- ошибка гинеколога, имеющего низкую квалификацию;
- гормональный фон, не провоцирующий сокращение матки и выталкивание остатков;
- отсутствие двойного УЗИ (ультразвукового исследования) обычным и вагинальным способом.
Это серьезное осложнение о себе заявляет сразу. При первых признаках нужно обратиться к гинекологу.
Последствия вмешательства:
- повышенная возможность травмирования и инфицирования половых органов;
- большая кровопотеря;
- гнойный сепсис и заражение крови;
- потенциальные проблемы с перенесением анестезии;
- повышенная вероятность несчастного случая из-за возможности обморока и общей слабости.
Повторное выскабливание — также дополнительная нагрузка не только на репродуктивные органы женщины, но и организм в целом.
Признаки неудачного прерывания появляются сразу или через несколько суток. Боли схваткообразного характера и дискомфорт внизу живота женщины считают нормальным состоянием, начинают принимать обезболивающие препараты. Это неправильно.
Необходимо обратить внимание и на другие признаки неполного медикаментозного прерывания беременности:
- обильное кровотечение;
- повышенную температуру тела;
- усиливающуюся болезненность при половом контакте;
- общую слабость, озноб;
- боль отдает в крестец и промежность.
На фоне продолжительного кровотечения, появляется головокружение, учащается пульс, повышается потливость. Фрагменты плаценты или ткани эмбриона при разложении приводят к размножению патогенных бактерий и нарушению микрофлоры.
С течением времени будут заметны более выраженные признаки:
- слабость в суставах;
- раздражительность, нервозность;
- серозные выделения;
- зуд, жжение гениталий;
- резкий и гнилостный запах из влагалища;
- болезненность в области промежности.
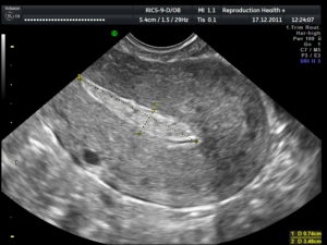
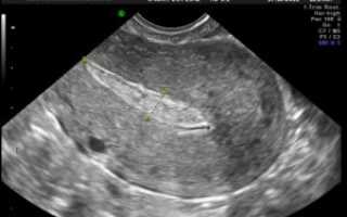
Гинеколог выявляет мягкую консистенцию органа при осмотре. Подтверждают развившийся негативный процесс клинические и биохимические анализы мочи и крови, трансвагинальное УЗИ (ультразвуковое исследование).
Только при проведении комплексной диагностики можно определить наличие остатков эмбриона.
Программа диагностики включает:
- измерение давления;
- общий анализ крови и на содержание глюкозы;
- пробы на биосовместимость крови супругов;
- ультразвуковое исследование (УЗИ);
- анализы на ЗППП и гормоны, вырабатываемые щитовидной железой;
- анализы генетические (по назначению врача).
Проводится визуальный осмотр шейки матки и пальпация. Внутренний зев ее будет расширен, плодный остаток в наличии. УЗИ определит его объем и локализацию, а также общее состояние репродуктивных органов. Биохимический анализ крови расскажет о функционировании органов и систем пациентки.
При появлении первых признаков незавершенного выкидыша должна быть оказана неотложная помощь.
При интенсивном кровотечении устанавливают венозный катетер большого диаметра для введения раствора медикаментов. Обычно используется Окситоцин. Назначается обезболивающий препарат — Ибупрофен. Повышенная температура тела снижается жаропонижающими медикаментами.
Кроме того, обязательно нужно удалить остатки плода.
Терапия неполного медаборта начинается непосредственного после постановки диагноза.
Выполняется несколькими способами:
- Медикаментозная терапия. Назначаются лекарственные средства, провоцирующие отторжение остатков тканей. Проводится такое лечение, если проблема выявлена на 5-6 день.
- Вакуумная аспирация. Показана, когда после выкидыша прошло более 2-х недель. Остатки плодного яйца отсасываются безболезненно специальным аппаратом. Процедура проводится под анестезией, занимает мало времени.
- Хирургическое выскабливание. Выполняется под местным или общим наркозом течение получаса. Проводятся исследования гормонального фон, назначается антибактериальная терапия.
В послеоперационном периоде по показаниям используют нестероидные противовоспалительные средства. Если неполный выкидыш или индуцированный (до 20 недель) аборт диагностированы у женщины с отрицательным резус-фактором крови, назначают иммуноглобулин. Это предотвратит возможный самопроизвольный выкидыш при планировании беременности в дальнейшем.
В течение 15 дней после чистки женщина должна отказаться от половых контактов, введения во влагалище тампонов, свечей, а также спринцеваний. Контрольный осмотр будет выполнен через 2 недели.
Женщинам с субдепрессивными и невротическими расстройствами, связанными с неожиданной потерей желанного ребенка, назначают легкие седативные средства, слабые антидепрессанты.
Пациентка должна посещать сеансы психотерапии. Они могут включать беседы, упражнения, обсуждения проблемы. Немедикаментозная коррекция эмоциональных нарушений может быть кратковременной или занимать длительный период.
В большинстве случаев организм самостоятельно стремится освободиться от оставшихся плодных частей. Но нельзя исключать полностью последствия выкидыша, случившегося на поздних сроках.
Среди осложнений встречаются:
- Септический аборт. Инфекционное поражение матки приводит также к сильнейшему воспалению в области малого таза.
- Повторный выкидыш. Возможен при неграмотно организованной терапии во время первой неудавшейся беременности.
Следующая беременность должна наблюдаться более тщательно. При необходимости женщина госпитализируется на сохранение, чтобы исключить повторение трагедии.
Прогноз при раннем выкидыше в большинстве случаев благоприятный. Риск повторного самопроизвольного прерывания беременности возрастает незначительно.
Если не удалось выявить причину раннего выкидыша, повторная беременность проходит благополучно в 65% случаев.
Специфической профилактики не существует. Если есть огромное желание иметь ребенка, то рекомендуется посетить специализированные центры и получить консультация врача-генетика.
После неудачного вынашивания плода нельзя отчаиваться. Нужно соблюдать четко все рекомендации лечащего врача, причем еще до зачатия. Надо избегать чрезмерных нагрузок на живот, исключить прием алкоголя даже в малых дозах, регулярно посещать врача и своевременно принимать назначенные медикаменты. При правильном подходе радость материнства будет обеспечена.
Если после выкидыша беременность не наступает или прерывания постоянно повторяются, то необходимо обследоваться с целью выявления причины. Иногда провоцирует выкидыш передозировка некоторых витаминов, особенно А и D. Врач должен быть осведомлен о приеме препаратов, содержащих их.
Иногда бывает достаточно сделать прививку от инфекционных болезней (краснуха, ветрянка).
Если аборт завершился без негативных последствий для организма женщины, то планировать следующую беременность можно только после обследования, согласовав сроки с гинекологом. Для полного восстановления организму требуется не менее 6 месяцев.
При пренебрежении рекомендациями врача можно спровоцировать осложнения:
- угрозу прерывания беременности;
- неправильное прикрепление плодного яйца;
- внутриутробную задержку развития плода.
Роды будут сопровождаться бессилием, слабостью, кровотечением. В послеродовой период часто возникают инфекционно-септические осложнения.
В видео рассказывается о признаках и лечении неполного выкидыша.
Медикаментозный способ прерывания беременности является достаточно удобным, но нельзя забывать, что, как и другие методы, он связан с риском неполного аборта, поэтому необходимо знать, что это и как вовремя выявить проблему.
В этой статье поговорим о том, что делать, если после медикаментозного прерывания беременности не все вышло.
Неполный медикаментозный аборт – одно из осложнений, возможных при искусственном прерывании беременности, по сути, это то же самое, что и обычный неполный аборт.
Отличие состоит в приеме антибиотиков вместо хирургического вмешательства.
Если процедура прошла неудачно, отслоившееся плодовое яйцо – полностью или частично – остается внутри матки, что угрожает здоровью, а порой и жизни женщины.
Согласно статистике, такое происходит в 2-5 % случаев.
Фармаборт является простым и одновременно вполне надёжным способом, однако, как и в случае с другими методами, нет гарантий, что все пройдет гладко. Именно поэтому необходимо знать, как проявляет себя неудавшаяся процедура.
Признаки того, что прерывание беременности прошло неудачно, можно заметить через несколько недель.
Симптомы неполного медикаментозного прерывания беременности:
- тянущая и схваткообразная боль c нестабильной интенсивностью внизу живота;
- кровотечение, особенно обильное, из влагалища, которое не прекращается две недели и более;
- жар (появляется из-за распространения инфекции);
- мягкая консистенция матки – данную проблему, однако, может выявить только гинеколог.
При неполном аборте беременность больше не подтверждается различными тестами, поэтому примерно через неделю после отторжения плодного яйца необходимо сделать УЗИ, чтобы удостовериться, что в матке нет остатков эмбриональной ткани. Если остатки плодного яйца после медикаментозного прерывания беременности обнаружены, следует вовремя начать лечение.
В следующем видео врач рассказывает о преимуществах медикаментозного аборта и о таком осложнении как неполное прерывание беременности, а также дает рекомендации убедиться все ли вышло методом УЗИ:
Биологические ткани нельзя оставлять в внутри организма, поскольку они являют собой очень благоприятную среду для развития патогенной микрофлоры. В результате могут возникнуть воспалительные процессы в матке, яичниках и маточных трубах. Не исключено появление инфекции и развитие серьезных гнойно-септические осложнений, в том числе перитонита и сепсиса.
Если в маточной полости остались части плодного яйца, их необходимо извлечь. Очень часто для этого проводят именно выскабливание.
Что делать, если медикаментозный аборт не помог? Выскабливание – это извлечение остатков плодного яйца хирургическим путём. Оно проводится в продолжение 15-30 минут под общим либо местным наркозом.
Сначала фиксируют и при помощи специальных инструментов разной толщины расширяют шейку матки, после чего кюреткой удаляют плодные элементы. Операция более эффективна, если её выполнение контролируется оптической системой, а именно гистероскопом – благодаря ему можно исключить вероятность того, что часть зародышевой ткани всё ещё остается внутри.
Выскабливание после медикаментозного прерывания беременности сопряжено с некоторыми рисками:
- перфорация матки, то есть повреждение стенок;
- гематомера – скопление крови в матке;
- обильные кровотечения;
- попадание инфекции;
- нарушение свертываемости.
Однако эти риски блекнут на фоне последствий не вылеченного в надлежащее время неполного аборта.
Проводить процедуру обязательно, поскольку неудавшийся аборт, если его не лечить, чреват очень тяжелыми последствиями, он серьезно угрожает жизни женщины. Эффективность же хирургического вмешательства в таких случаях близка к 100%.
Помимо выскабливания возможны и другие способы чистки остатков после медикаментозного прерывания беременности. Так, если после аборта осталось что-то и проблема выявлена на 5-7 день, не исключено лечение гормональными лекарственными препаратами. Они способствуют исторжению оставшихся после неудачного медикаментозного аборта тканей, усиливают её сократительную способность.
Если прошло около двух недель и более, могут также назначить вакуумную аспирацию, суть которой заключается в следующем: в матку вводится трубка, из которой специальным механизмом резко откачивают воздух, и через эту трубку остатки после аборта высасываются в соединенный с ней шприц.
Процедура достаточно безопасна, проводится под анестезией, следовательно, является безболезненной
Следующее видео о медикаментозном и вакуумном аборте и о необходимости проведения второго в стационарных условиях:
Послеоперационное лечение обычно заключается в том, что проводится обследование гормонального фона, а также назначается антибактериальная терапия. Нужны регулярные контрольные гинекологические осмотры – берутся мазки на микрофлору и назначается УЗИ органов малого таза.
Таким образом, мы видим, что неполный аборт – это довольно опасное последствие искусственного прерывания беременности.
Однако его риск невысок, и если внимательно следить за состоянием организма после приема препаратов, можно своевременно выявить проблему и, обратившись за медицинской помощью, избежать осложнений.
Теперь вы знаете, что делать, если остался плод после аборта. А также, что предпринять, если после медикаментозного прерывания не все вышло.
По материалам prberem.com
Неполный аборт, что это такое и опасен ли он для здоровья? Рассмотрим разные ситуации, так как прерывание беременности может быть самопроизвольным или вызванным медицинским вмешательством. От этого зависит и что делать если после аборта осталась беременность, то есть тактика лечения.
Так называемый таблетированный аборт стал очень популярной альтернативой хирургическому вмешательству. Но есть одна проблема — это когда плодное яйцо и его оболочки не полностью покидают матку. То есть когда происходит неполный медикаментозный аборт. По статистике такое случается в 2-5% случаев.
Что делать? Лучше этот вопрос заранее обговорить с врачом. По стандартным рекомендациям УЗ-исследование после аборта выполняют на 10-14 день, но если это сделать через 5-7 дней, то есть возможность вовремя заметить признаки неполного аборта и назначить лекарственные средства.
Если произошел самопроизвольный аборт (выкидыш) неполный, или даже плодное яйцо осталось в матке и продолжило развиваться, все равно нужно прервать беременность. Дело в том, что принятый препарат почти наверняка серьезно повлиял на здоровье ребенка, у него могут быть пороки развития.
Иногда случается неполный мини аборт при использовании данной методики прерывания беременности. Чаще это случается при неправильной форме матки, например, двурогой, когда плодное яйцо развивается именно в «роге».
Если после этой процедуры эмбрион продолжил развиваться, беременность хочется сохранить, и врачи не считают это опасным для здоровья, то вполне можно оставить ребенка.
Если же нет, тогда может быть предложена гистероскопия с выскабливанием матки. Это когда проводят чистку матки с использованием специального оптического прибора. Это делает практически невозможным неполный аборт.
Нередко кровотечение у женщин начинается дома, но они не спешат обращаться к врачу. Возможно, потому, что беременность была не слишком желанной или по каким-то другим причинам. Но остается открытым вопрос — как понять, что все закончилось хорошо? Обязательна ли чистка после такого домашнего выкидыша?
Врачи рекомендуют понаблюдать за своим самочувствием. Если кровотечение прекратилось, матка не болезненна, температуры нет, при этом известно, что срок беременности был совсем небольшим (буквально 1-2 недели задержки менструации), то, вероятнее всего, все завершилось благополучно. Неполный аборт симптомы имеет именно в виде затяжных кровянистых выделений.
https://youtube.com/watch?v=x-OzKr1GUXg
Но так или иначе, лучше сделать УЗИ матки. Платно можно и без направления врача. А по его результатам будет понятно — нужно ли лечение, в том числе хирургическое.
Сегодня не редкость, когда женщина принимает решение о том, чтобы прервать беременность по тем или иным причинам. Очень часто случается так, что она выбирает медикаментозный способ, который можно провести на ранних сроках беременности. Но этот способ несет в себе множество опасностей, одной из которых является неполный аборт.
Неполный аборт это одно из самых опасных осложнений после прерывания беременности. которое может стать причиной развития сепсиса. Среди причин, которые могут способствовать развитию этого осложнения, выделяют:
- Ошибка врача. Одной из частых причин неполного аборта является некомпетентность лечащего врача, который может некачественно провести аборт или же назначить неправильные препараты для медикаментозного прерывания беременности.
- Проблемы на гормональном уровне.
- Аборт, проведенный на поздних сроках. Речь идет о медикаментозном прерывании, которое не является эффективным после 12 недели беременности.
- Наследственность. Нередко, причиной неполного аборта может стать наследственность, из-за которой организм женщины не полностью справляется с возложенной на него нагрузкой.
- Воспалительные процессы. Довольно часто из-за того, что в организме женщины присутствует какая-то инфекция, это может послужить причиной неправильной реакции организма на медикаментозное прерывание беременности, а как следствие, неполный аборт.
- Пищевое отравление. во время которого женщине приходится принимать препараты для того, чтобы вывести токсины и организма. Они, в тоже время, могут и вывести часть лекарства, действие которого направлено на прерывание нежелательной беременности. Поэтому препарат может не оказать своего действия.
Неполный аборт это одно из самых опасных осложнений после прерывания беременности
Существует множество факторов, из-за которых может произойти такое осложнение. Но, по статистическим данным, неполный аборт встречается очень редко, примерно в 1-4 процентах. Но все же, такие случаи бывают. Поэтому, зная все возможные причины, почему может произойти неполный аборт, женщина должна отнестись к этому намного ответственней.
Большинство женщин даже и не знает, по каким признакам можно определить то, что произошел неполный аборт.
И из-за этого случается так, что они обращаются в больницу уже тогда, когда помочь может только непосредственное хирургическое вмешательство, причем довольно серьезное, так как с каждым днем инфекция, причиной которой становится не полностью вышедшее плодное яйцо, очень быстро распространяется. Итак, к основным признакам неполного аборта можно отнести:
- Тянущие или схваткообразные боли внизу живота
- Повышение температуры, которое происходит из-за распространения инфекции
- Мягкая консистенция матки, к сожалению, это может определить только гинеколог
- Кровотечение, которое продолжается довольно длительный промежуток времени после аборта (больше двух недель).
Заметив хотя бы один из этих симптомов, женщина должна сразу же обратиться к специалисту, особенно если это был медикаментозный аборт. Делать это следует быстро потому, что неполный аборт может привести к развитию других осложнений, которые могут даже угрожать жизни пациентки, а также отразится на дальнейшей способности к зачатию и вынашиванию детей.
После того, как был поставлен точный диагноз, и подтвердилось, что это неполный аборт, необходимо сразу же начать лечение.
Неполный аборт может привести к развитию серьезных осложнений
Существует несколько способов проведения лечения:
- Медикаментозное. Здесь назначаются препараты, которые способствуют дальнейшему изгнанию остатков плода. Преимущественно это делается лекарствами, которые способствуют усиленному сокращению матки. В этом случае боли, в частности тянущие, усилятся.
- Хирургическое. В этом случае выполняют либо выскабливание, либо вакуумный аборт. которые проводятся под местным или под общим наркозом. Обычно это занимает около получаса. После проведения этой процедуры, женщину направляют на исследование гормонального фона, а также выписывают ей антибактериальные препараты. К тому же, в течение некоторого времени за женщиной будет пристально наблюдать лечащий врач
- Последствия медикаментозного аборта
- Опасность вакуум-аспирации
- Хирургический аборт и его осложнения
- Самопроизвольный аборт
Аборт не является полностью безопасной процедурой, даже его новейшие методики могут иметь опасные последствия. Чем позже срок его проведения, тем более опасные осложнения могут быть. Чтобы их избежать, нужно разумно подходить к вопросам контрацепции. Но если возникла необходимость прервать беременность, то следует позаботиться об этом на ранних сроках, когда осложнения минимальны.
статьи
Симптомы осложнений проявляются не сразу, а через несколько лет, поэтому пациентки не связывают их с давно сделанным абортом.
Хотя, при детальном рассмотрении ситуации, оказывается, что признаки нарушений все-таки были — каждая вторая женщина фиксировала нарушение менструального цикла или испытывала симптомы воспаления, но не считала нужным показываться гинекологу, списывая это на нормальную реакцию организма на прерывание беременности..
Ещё один симптом нарушений — гнетущее чувство вины. Конечно, сделав аборт, любая женщина будет переживать.
Если же стресс и тяжелые мысли не отпускают — значит психологическое состояние усугубляет гормональный сбой, связанный с перегрузкой гипоталамо-гипофизарной системы.
В этом случае гормоны уже выделяются не циклически, как необходимо в норме, а непрерывно. Так в нормальном состоянии гормоны ФСГ и ЛГ должны производиться и быть активными в определённые часы. При нарушении ритм сбивается. Повышенная концентрация гормонов в крови вызывает активизацию яичников и нарушение выработки эстрогена.
Женщина, которая перенесла аборт, не важно на каком сроке, должна привести в норму не только своё тело, но также восстановить соматическую сферу.
Медицинский аборт всегда производится по показаниям. В большинстве стран для этой манипуляции в первые три месяца беременности достаточно только желания женщины.
Для совершения искусственного прерывания беременности в поздние сроки (от 13 до 22 недель) необходимо наличие строго регламентированных показаний: медицинских или социальных. Их перечень утверждается министерством здравоохранения. Примерами таких показаний могут быть:
- Грубые пороки развития плода.
- Внутриутробная гибель плода.
- Серьезная угроза здоровью или жизни матери (активная стадия туберкулеза, декомпенсированные пороки сердца, терминальная стадия цирроза, ВИЧ (СПИД) и другие заболевания и патологические состояния).
- Тяжелые психические заболевания, наркомания.
- Онкологическая патология (рак) любой локализации.
Также медицинский аборт может производиться и по социальным показаниям. Например, когда беременность является следствием изнасилования.
В некоторых странах (Чили, Никарагуа, Сальвадор и др.) аборт классифицируется как преступление, равное убийству. То есть, на территории этих стран никаких показаний к аборту не существует. В других государствах медицинский аборт может быть произведен лишь в исключительных случаях, например, с целью спасения жизни беременной.
Восстановительный период после аборта — обязательная процедура даже если аборт прошел удачно. Пациентка должна наблюдаться у гинеколога на протяжении всего периода, пока не восстановится менструальный цикл (15-40 дней).
Опасность последствий аборта в том, что они не всегда проявляются сразу после процедуры. Бывает и так, что гормональный сбой происходит спустя какое-то время на фоне обострения заболеваний, которые пациентку давно не беспокоили.
Наблюдение у врача после аборта — необходимое условие восстановления, иначе возможны следующие проблемы со здоровьем:
- сбой менструального цикла, нарушение овуляции;
- сильные маточные кровотечения;
- анемия на фоне большой потери крови;
- набор веса;
- проблемы с кожей;
- депрессивное состояние, перепады настроения;
- утомляемость, апатия.
Если не обращать внимание на признаки гормонального сбоя, то легкие симптомы переходят в тяжёлые гормонозависимые заболевания: фибромиома матки, поликистоз яичников, сальпингит, оофорит, эндометрит.
На их фоне часто ставится диагноз — бесплодие. Такой исход не редкость и характерен именно для тех пациенток, кто пренебрегал рекомендациями гинеколога и легкомысленно отнёсся к восстановительному периоду.
Для проведения процедуры искусственного прерывания беременности имеются и противопоказания. Общими из них для всех видов аборта являются:
- Острая инфекционная патология.
- Воспалительные процессы гениталий.
- Срок беременности 22 недели и более.
Также существуют свои противопоказания и для конкретного метода медицинского аборта.
Отдельного обсуждения требует беременность у женщин с отрицательным резус-фактором крови. Следует знать, что аборт в таком случае может значительно повышать риск резус-конфликта в будущем. Поэтому таким женщинам следует очень взвешенно подходить к решению прервать беременность, особенно если она первая.
Матка после аборта в норме начинает сразу сокращаться и принимать первоначальную форму. Однако на месте прикрепления плодного яйца образуется ранка, которая требует некоторого времени для восстановления эндометрия и заживления. Поэтому кровотечения после аборта — нормальное явление, но их интенсивность не должна превышать обычные месячные.
https://youtube.com/watch?v=Ku5pBzXtvtg
В норме кровянистые выделения разной интенсивности и насыщенности наблюдаются в течение месяца после аборта. Тревогу должны вызывать как неестественно сильные выделения, так и их отсутствие.
Как уже было отмечено, женщина перед медикаментозным прерыванием беременности должна проконсультироваться у врача. Пациентку осмотрят, сделают УЗИ, чтобы исключить внематочную беременность, и возьмут кровь, мочу для анализа. Могут понадобиться и дополнительные методы обследования, необходимость которых определит лечащий врач.
Женщине необходимо вспомнить, когда именно произошло зачатие. Также своему лечащему врачу пациентка должна рассказать обо всех хронических заболеваниях, чтобы после фармаборта не возникло осложнений.
За три дня до прерывания беременности женщина должна отказаться от сигарет и алкоголя. Врачи советуют прекратить прием пищи за 2 часа до медикаментозного аборта. Разрешено выпить чашку сладкого чая.
Как именно проходит фармаборт? Первым делом женщина принимает Мифепристон. Действие этих таблеток направлено на блокировку выработки прогестерона. Если продуцирование этого гормона в организме прекратится, произойдет выкидыш.
На втором этапе (через 3–4 дня) женщина принимает Мизопростол, вызывающий сокращения матки, что приводит к отторжению эндометрия вместе с плодным яйцом. Возникшее кровотечение – знак того, что из репродуктивного органа выходит плод.
Через 2–3 дня женщина вновь должна посетить врача. Гинеколог осмотрит пациентку, оценит ее состояние. Будет проведено УЗИ, результат которого покажет эффективность проведенной процедуры. Если выкидыш при помощи медикаментозных средств не произошел, женщине понадобится чистка. Беременность после фармаборта сохранять нельзя.
После самопроизвольного или искусственного аборта у женщины сразу исчезают все признаки беременности. Если была проведена хирургическая операция и эмбриональные ткани удалили не полностью, симптомы незавершенного аборта проявятся уже через несколько часов. При медикаментозном неполном аборте женщина почувствует недомогание спустя 1-2 недели. Признаки патологии:
- спазмы или тянущие боли внизу живота, иррадиирующие в поясницу;
- боль при прощупывании живота;
- кровотечение из влагалища; в крови возможно присутствие фрагментов плода;
- интоксикация;
- повышение температуры.
Части зародыша и плодных оболочек постепенно разлагаются, приводя к нарушению микрофлоры внутренних половых органов. При отсутствии лечения присоединяется инфекция, о которой свидетельствует появление ярко выраженных симптомов:
- боль в промежности;
- зуд гениталий;
- серозные выделения с гнилостным запахом;
- увеличение температуры до 38°С и выше;
- слабость в суставах;
- головокружения и обмороки.
При появлении первых симптомов, вызывающих опасение, женщина должна обратиться в больницу. Основными методами диагностики состояния являются гинекологический осмотр и УЗИ.
Осложнением медикаментозного прерывания беременности на ранних сроках выступает неполный аборт, последствиями которого являются:
- гормональная дисфункция, которая потребует коррекции и восстановления менструального цикла в течение 3–6 месяцев;
- длительное кровотечение, воспалительный процесс;
- эрозия шейки матки как результат гормонального дисбаланса;
- мажущие выделения в середине цикла;
- болезненные овуляции и половые контакты;
- бесплодие в будущем;
- сепсис.
Абортом называется спонтанное или искусственное прерывание беременности на сроке менее 22 недель. При неполном аборте плодное яйцо погибает, отслаивается от стенки матки, но полностью или частично остается в ее полости. Выделяют три вида неполного аборта:
- Неполное медикаментозное прерывание беременности. Осложнение, возникающее на фоне приема гормональных таблеток с целью провоцирования выкидыша. Такая патология встречается в 2-5% случаев.
- Неполный аборт при вакуум-аспирации. Процедура выполняется до 6 недели беременности с использованием вакуумного аппарата, «высасывающего» эмбрион с околоплодными оболочками из матки. Частички зародыша остаются в органе крайне редко, врачи считают данный метод абортирования наиболее безопасным.
- Неполный аборт при выскабливании. Если беременность нужно прервать на сроке больше 6 недель, требуется хирургическое вмешательство. Процедура выполняется под наркозом, врач удаляет верхний слой эндометрия вместе с плодными оболочками. Осложнения после данного метода встречаются крайне часто.
Остатки плодного яйца могут сохраниться в матке и при самопроизвольном прерывании беременности, которое случается по разным причинам и заканчивается выходом эмбриона или родами нежизнеспособного плода.
При отслойке плаценты начинается сильное кровотечение, с помощью которого организм пытается избавиться от погибшего плода.
Матка в некоторых случаях самоочищается, но чаще всего женщине требуется выскабливание.
Обычно полному отторжению остатков эмбриона и плодных оболочек мешают особенности строения матки, неполное раскрытие ее шейки или наличие связи плода со стенками органа. Основными причинами неполного аборта являются:
- ошибка врача при выполнении процедуры;
- отсутствие контроля УЗИ до или после хирургического вмешательства;
- гормональные нарушения, ухудшающие сокращение матки и изгнание эмбриона;
- наследственный фактор;
- воспаление;
- аборты или диагностическое выскабливание в анамнезе;
- гипоплазия матки;
- хронический эндометрит;
- выполнение процедуры на поздних сроках;
- злоупотребление пациенткой спиртными напитками и прием наркотиков.
В группу риска по возможности возникновения такого осложнения, как неполный аборт, входят женщины с поликистозом яичников, сахарным диабетом, болезнями надпочечников и ожирением. Если в матке сохранились частицы эмбриона, может произойти заражение, что потребует дополнительной хирургической чистки органа. Осложнения при отсутствии лечения могут привести к бесплодию, сепсису и даже смерти.
После самопроизвольного или искусственного аборта у женщины сразу исчезают все признаки беременности. Если была проведена хирургическая операция и эмбриональные ткани удалили не полностью, симптомы незавершенного аборта проявятся уже через несколько часов. При медикаментозном неполном аборте женщина почувствует недомогание спустя 1-2 недели. Признаки патологии:
- спазмы или тянущие боли внизу живота, иррадиирующие в поясницу;
- боль при прощупывании живота;
- кровотечение из влагалища; в крови возможно присутствие фрагментов плода;
- интоксикация;
- повышение температуры.
Части зародыша и плодных оболочек постепенно разлагаются, приводя к нарушению микрофлоры внутренних половых органов. При отсутствии лечения присоединяется инфекция, о которой свидетельствует появление ярко выраженных симптомов:
- боль в промежности;
- зуд гениталий;
- серозные выделения с гнилостным запахом;
- увеличение температуры до 38°С и выше;
- слабость в суставах;
- головокружения и обмороки.
При появлении первых симптомов, вызывающих опасение, женщина должна обратиться в больницу. Основными методами диагностики состояния являются гинекологический осмотр и УЗИ.
Если после медикаментозного, вакуумного или другого вида аборта в матке были обнаружены эмбриональные ткани, потребуется хирургическая чистка ее полости.
Во время проведения процедуры пациентке внутривенно вводят антибиотики и растворы для устранения интоксикации.
Использовать медикаменты для искусственного провоцирования схваток малоэффективно – частицы плода могут выйти не полностью, к тому же это вызывает сильные боли.
Остатки сохранившегося плодного яйца удаляют при помощи выскабливания, как при классическом аборте. Для остановки кровотечения пациентке делают инфузии Окситоцина в комбинации с раствором Рингера или натрия хлорида. При значительной потере крови назначаются гемостатики. Для дальнейшего лечения используются:
- жаропонижающие медикаменты (Ибупрофен);
- обезболивающие средства (Но-шпа);
- антибиотики (Цефтриаксон, который колют внутримышечно 7 – 10 дней);
- противогрибковые лекарства;
- препараты железа;
- анти-Rh0(D)-иммуноглобулин (при отрицательном резус-факторе у женщины);
- пробиотики.
При нормальном состоянии пациентки гинеколог проводит контрольный осмотр через 2 недели. На это время женщина должна отказаться от интимных контактов, использования тампонов и свечей. Для нормализации гормонального фона и работы репродуктивной системы специалист назначит оральные контрацептивы, которые нужно пить в течение 4-6 месяцев.
Поделиться:







