Беременность, при которой женщина носит под сердцем сразу несколько плодов, развивающихся одновременно, называется многоплодной.
Такая беременность бывает:
Как правило, разнояйцевая двойня встречается наиболее часто. Возникает она, когда в яичниках или яичнике созревает сразу две яйцеклетки, которые встречаются со сперматозоидами мужчины во время одного полового акта.
Такое же явление возможно и в результате двух актов, но только тогда, когда срок между ними не превышает недели. У однояйцевых близнецов могут быть одинаковые гены.
Если у них гены такие, то они по максимуму друг на друга похожи, но разнояйцевые дети будут похожи лишь в том случае, если появились в один день, но разное время. Ни для кого не секрет, что однояйцевые близнецы всегда имеют один пол, а вот разнояйцевые дети часто бывают разнополыми.
Близнецы девочки
Существует немало предрасполагающих факторов к появлению двойни:
- наследственный фактор. Если у одного из партнеров в родстве были двойни – вероятность многоплодной беременности возрастает. Переходит это через одно поколение;
- возраст женщины старше 35 лет. Изучен тот факт, что чем старше девушка, тем вероятность рождения двойни у нее намного выше;
- стимуляция овуляции. Когда у женщины стоит диагноз бесплодие, врачи назначают гормональные препараты, которые стимулируют созревание фолликулов. Именно под действием этих препаратов возможно созревание одновременно несколько фолликулов;
- после прекращения приема комбинированных оральных контрацептивов слабые яичники начинают бурно активироваться, в результате чего синтезируют свои собственные гормоны. По этой причине возможно созревание сразу нескольких яйцеклеток.
Любая женщина, которая узнает о своем «интересном положении», в первую очередь хочет знать, кто же у нее под сердцем: девочка, мальчик, а может и вовсе двойня или даже тройня?
Также узнай всю правду про рвоту с желчью при беременности и белые выделения при беременности.
Рассмотрим, какие признаки характерны для беременности, если у женщины двойня. На сегодняшний день признаки беременности двойней на ранних сроках разделяют на субъективные и объективные.
Вынашивание двойни
Самыми первыми признаками беременности двойней считаются следующие.
- Начало токсикоза уже на первых днях задержки – первый признак вынашивания двойни. К ним относятся:
- слабое головокружение;
- чувство тошноты;
- рвота;
- беременная отличается сильной раздражительностью;
- нервозность;
- сонливость;
- слабость;
- может отмечаться повышенное слюноотделение.
Как правило, женщине, беременной двойней, токсикоза избежать не удается, в отличие от одноплодной беременности.
- Еще один признак двойни на ранней стадии — это четко выраженная вторая полоса на тесте для определения беременности, которая хорошо проявляется уже в первые дни задержки. Все это из-за повышенного уровня ХГЧ в моче, в отличие от случая с одним ребенком.
- Отмечается быстрый рост живота беременной, который увидеть визуально можно уже на 14 неделе. Естественно и почувствовать шевеления малышей будущая мама сможет раньше, чем беременные одним ребенком.
- С каждой неделей у беременной отмечается быстрый набор веса в первом триместре. Если для девушки, ждущей одного ребенка, в этот промежуток времени считается нормой набрать около 2-ух килограммов, то у женщины, ждущей двойню, вес увеличивается в два раза. Еще данный признак объясняется тем, что у беременной двойней повышается уровень ОЦК, следовательно, из-за этого и отмечается увеличение веса.
- Повышенный аппетит, резкие перепады настроения. Так как в организме женщины при любом варианте «интересного положения» происходит гормональная перестройка, следовательно, и ведет себя женщина совсем иначе. Организм теперь «требует» в 2 раза больше витаминов и минералов, поэтому аппетит можно даже назвать «зверским».
Объективные признаки беременности двойней.
- При осмотре женщины гинекологом, отмечается увеличение матки, которая не соответствует сроку беременности. Как правило, заметить это можно уже начиная с 9 недели беременности.
- После сдачи анализов, а именно крови на ХГЧ, отмечаются очень высокие показатели, а также заметны скачки роста хорионического гонадотропина, в отличие от одноплодной беременности. Также в крови нужно обратить внимание на уровень железа и уровень АФП (альфа-фетопротеин). При ожидании двойни уровень железа, как правило, очень низкий, а вот уровень белка АПФ, наоборот, увеличивается в несколько раз.
- Еще одним объективным признаком двойни является выслушивание биения двух сердец (система Доплера), а также прощупывание 2 голов при внутреннем акушерском исследовании (уже на более поздних сроках). Существует еще врачебная ошибка, поэтому при малейшем подозрении на существование двойни у женщины, доктор отправляет на УЗИ.
- Ультразвуковое исследование — самый достоверный способ увидеть и определить, какая у женщины беременность, более точный срок беременности, размеры плодов и все патологии, существующие у двоих эмбрионов (если таковые имеются). А также при помощи данного метода возможно определить однояйцевая или разнояйцевая беременность наблюдается у женщины.
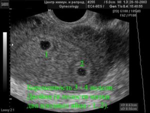
Двойню на УЗИ можно увидеть и определить уже на 4-5 неделе беременности. Как правило, однояйцевые близнецы определяются позже, чем разнояйцевые (не раньше 12 недели).
Теперь настало время поговорить о родах. Женщины, у которых отмечается многоплодная беременность, очень редко дохаживают до положенного срока. Так, например, женщины, у которых будет двойня, рожают чаще на сроке 35-36 недель.
https://youtube.com/watch?v=7dqvxK7j2tE
Двойное счастье
Если женщина беременна тройней – срок подходит в 33-34 недели, ну а четверней роды начинаются уже на 30-31 неделе, поэтому каждую женщину, с многоплодной беременностью госпитализируют уже за 2 недели до даты предполагаемых родов.
Какие мероприятия необходимо пройти роженице.
- Так как дети из многоплодной беременности считаются недоношенными, в обязательном порядке им требуется реанимация и особый уход;
- Метод родоразрешения при вынашивании двойни зависит от предлежания малышей, особенно одного из первых.
- Потом определяется количество околоплодных вод, а также возможная внутриутробная гипоксия малышей.
- Врачи следят за интенсивностью и регулярностью схваток. Учитывают все экстрагенитальные (если такие есть) и гинекологические заболевания, а также возраст женщины.
- Женщине разрешено рожать самой только в том случае, если у первого или обоих плодов головное предлежание, при этом состояние рожавшей и детей удовлетворительное. Также не менее важно наличие регулярной деятельности начинающихся родов.
- Кесарево сечение проводится при тазовом предлежании плодов, а также при обнаружении поперечного положения одного, либо обоих плодов.
- Оперативное родоразрешение проводится при наличии внутриутробной гипоксии одного или обоих плодов.
Счастливая мама
Таким образом, можно отметить, что на сегодняшний день существует масса способов определить вероятность рождения двойни, как медицинских, так и бытовых. Стоит лишь внимательно прислушаться к своим ощущениям и вовремя посещать врача.
Также узнай про первые признаки замершей беременности и как определить внематочную беременность в домашних условиях.
- Признаки беременности на ранних сроках
- Признаки замершей беременности в 1 2 3 триместрах
- Признаки беременности в первые дни
- Кормление грудью во время беременности
- Когда начинается токсикоз при беременности
- Белые выделения при беременности
Информация, опубликованная на сайте Sberemennost.ru только для чтения и предназначена лишь для ознакомления. Посетители сайта не должны использовать их в качестве медицинских рекомендаций!
Многоплодная беременность – это не только огромное счастье, но и испытание для любых родителей. Чтобы мама и папа успели подготовиться к рождению двойни или тройни, важно как можно раньше узнать о таком сюрпризе.
Самый информативный способ для такой диагностики – ультразвуковое исследование. Но существуют и дополнительные медицинские и народные методы, которые помогут еще до УЗИ определить, сколько малышей появится на свет.
Самый ранний срок, когда можно выявить, произошло ли зачатие, — 5 недель. В это время врач уже способен разглядеть эмбрионы в матке и определить их количество. На этом сроке начинает формироваться детское сердце, и уже с 8-й недели прослушивается ритм двух или более сердечек. Это также сигнализирует о многоплодной беременности.
Поскольку первое плановое УЗИ делается в 10-12 недель, отправить пациентку на ультразвук в 5-6 недель имеет право только лечащий врач. Это может произойти, если доктор заподозрит двойню при обычном осмотре. Основной внешний признак – это слишком большой размер матки, который не соответствует реальному сроку.
Чтобы определить, многоплодная беременность у будущей мамы или нет, специалист оценивает следующие параметры во время ультразвука:
- число плацент;
- число околоплодных пузырей;
- количество сердцебиений в матке у мамы;
- количество эмбрионов и их размеры.
На раннем сроке шансы увидеть двойню или тройню намного выше, если малыши многояйцевые.
Признаки такие: у каждого из эмбрионов есть отдельная плацента и плодное яйцо, которые легко разглядеть на мониторе.
Если близняшки однояйцевые, у них всегда общая плацента, околоплодные пузыри могут быть разными или общими. В этом случае рассмотреть несколько эмбрионов обычно получается только на 10-12-й неделе.
В редких случаях ультразвук может не определить многоплодную беременность, даже если все внешние признаки на это указывают. По каким причинам УЗИ выдает ошибочный результат?
Чаще всего такое бывает, если будущая мамочка пропускает первое плановое УЗИ, в том числе из-за боязни, что сканирование навредит здоровью малыша.
Иногда виновником становится старый аппарат УЗИ, например, в провинциальных поликлиниках или сельских больницах. В старом оборудование длина ультразвукового луча всего 18 см, из-за этого полость матки просвечивается не целиком.
Если будущая мама ждет троих или даже четверых малышей, бывает так, что двойню врач распознает еще на первом ультразвуке 5-6-й недель, а следующего ребенка – только на плановом сканировании.
Что делать, если ультразвук показывает только один эмбрион, но врач или сама мама подозревают двойню? На помощь придут специальные медицинские анализы и народные признаки.
УЗИ считается самым точным способом для диагностики многоплодной беременности, но в отдельных случаях и оно может давать сбой. Для подтверждения двойни или тройни врач также назначает дополнительные исследования:
- анализ крови на ХГЧ;
- уровень АФП в крови пациентки;
- доплерометрия.
Увеличение ХГЧ (хорионического гонадотропина) в крови – один из основных признаков того, что женщина ждет малыша. Резкий скачок ХГЧ в сравнении с нормой для беременных женщин на конкретном сроке – явный сигнал, что будут двойняшки.
Измерение уровня белка АПФ (альфа-фетопротеина) обычно проводится во втором триместре. Чаще всего этот анализ делают для диагностики хромосомных патологий и врожденных аномалий развития. Повышенный уровень АПФ также может быть одним из признаков многоплодной беременности.
Доплерометрия является обязательной частью третьего скрининга (30-32-я неделя), но по некоторым медицинским показаниям его могут назначить и раньше. Одно из таких показаний – подозрение на двойняшек или тройняшек. Доплер позволяет выявить пульсацию нескольких детских сердечек уже с 8-й недели.
Можно ли распознать двойню без ультразвука или нет? Как определить на раннем сроке, что будут двойняшки? Подобные вопросы очень часто задают будущие мамы – и на специальных форумах, и на приеме у врача. Если время УЗИ еще не пришло или сканирование упорно показывает один эмбрион, о двойняшках могут сказать внешние признаки.
- Полоски на аптечном тесте необычайно яркие (из-за высокого уровня гормона ХГЧ).
- Токсикоз мучает уже с первых дней и затягивается до 14-16 недель. Постоянные тошнота и рвота – классические признаки будущих двойняшек: двое детей продуцируют вдвое больше гормонов.
- Животик растет очень быстро, уже к 12-й неделе достигает размера, характерного для 16 недель.
- Будущая мама набирает вес в два раза быстрее, чем при вынашивании одного ребенка.
- Молочные железы увеличиваются на 2-3 размера и сильно болят.
- На более поздних сроках женщина начинает стремительно уставать. Обычные признаки во время ожидания будущих близнецов – постоянная сонливость и одышка даже при обычном подъеме по лестнице.
Но внешние признаки многоплодной беременности далеко не всегда подтверждаются реальным заключением врача.
Каждый случай индивидуален, а сильный токсикоз или большой животик часто встречаются при вынашивании одного ребенка.
Если врач предполагает, что пациентка ждет двойняшек, самой эффективной будет комплексная диагностика. Это ультразвук, ранняя доплерометрия и анализ крови на гормоны.
Здравствуйте, уважаемые подписчики! Некоторые мамы точно знают, что беременны двумя и более младенцами с самого начала. Возможно, они имеют сильную интуицию, либо, вероятнее всего, находятся под наблюдением репродуктивного специалиста. В сегодняшней статье я перечислю основные симптомы многоплодной беременности на ранних сроках.
Оглядываясь назад, многие из симптомов для меня очевидны – жуткий токсикоз, крайняя усталость (все, что я хотела – это валяться на диване). После новости о том, что у нас будут близнецы, мы с мужем испытали бурю эмоций: от ужаса до счастья. А ведь вероятность многоплодной беременности так невелика (1 случай из 80).
У большинства женщин обнаруживают многоплодную беременность только после УЗИ. Тем не менее, существует ли способ, позволяющий узнать, что вы вынашиваете больше, чем одного ребенка? Да, вы можете это понять до визита к врачу. К ранним признакам многоплодной беременности относятся:
Непереносимость некоторых пищевых продуктов и запахов сопровождает многих женщин в начале пути. Но многоплодие усиливает симптомы недомогания, такие как тошнота и рвота, которые могут возникать в течение всего дня.
Чрезмерная усталость является распространенной жалобой женщин, вынашивающих близнецов, как на ранних сроках, так и на всем протяжении беременности. В их организме происходит мощная гормональная перестройка, поэтому для выполнения повседневных дел остается так мало энергии.
Растет малыш – это тяжелая работа для организма, особенно, если их два. Вы питаетесь уже не за двоих, а за троих. Мамы часто не знают о двойне на ранних сроках. Они кушают недостаточно и ощущают беспрестанное чувство голода.
Прибавка в весе может варьироваться в зависимости от роста женщины, ее телосложения, сколько она весила до этого. При одноплодной беременности мама набирает в среднем 1-2 кг. Если больше, то это говорит о многоплодии или о чрезмерном потреблении нездоровой пищи. Если у вас есть явно большой живот в 8-10 недель, то это свидетельствует о наличии нескольких малышей.
Так как организм вырабатывает гормоны в повышенном количестве, перепады настроения во время двойной беременности могут быть хуже, чем при ПМС. Поэтому перейти от слез к радости, от меланхолии к активным действиям и обратно за пять минут – это не редкость.
Данный гормон растет быстрыми темпами, достигая максимума около 10 недель. Из-за того, что уровень ХГЧ выше при многоплодной беременности, то и положительный тест появляется раньше, чем обычно, и выглядеть он будет в виде двух жирных полосок.
Данные симптомы более выражены потому, что два ребенка занимают больше места, чем один. Кроме того, дети растут быстрее, матка при многоплодной беременности оказывает еще большее давление на желудок и мочевой пузырь.
Услышать стук сердца вашего ребенка в первый раз – одно из самых запоминающихся событий. Используя звуковые волны, допплеровский детектор усиливает сердечные тоны плода. К сожалению, это не самый эффективный способ на ранних сроках.
Отчетливо стук сердца обычно регистрируют к концу первого триместра. И даже то, что покажется сердцебиением второго малыша, может быть обычным эхом стука материнского сердца.
Либо малыши могут располагаться в матке так близко друг другу, особенно однояйцевые, что их ритмы не различаются и сливаются в один звук.
Анализ на АФП, также известный как «тройной скрининг», обычно проводится во втором триместре. Он исключает риски врожденных дефектов плода. С двойней титры данного маркера имеют повышенный уровень.
В дополнение к физическим симптомам многие мамы говорят о необъяснимом предчувствии или смутном подозрении. Зачастую происходят необычные случаи. Одна будущая мать близнецов обнаружила, что все яйца, которые она купила для праздничной выпечки, содержат двойные желтки. Через пару дней УЗИ показало, что она ждет двойню!
Считается, что точно увидеть несколько эмбрионов, можно только при помощи УЗИ. На каком сроке определяют многоплодную беременность? Специалист может увидеть данный факт в 5-6 недель. Но, как правило, ее диагностируют во время первого скрининга в 12 недель.
Хотя бывают случаи, когда УЗИ не обнаруживало двойню (там просто слишком много носов, чтобы точно определить, кто есть кто). Иногда когда двойня выявляется очень рано (до 10 недель) позже находят только одного ребенка. Так называется синдром «исчезающего близнеца».
Кстати, самая большая многоплодная беременность в современном мире случилась у 33-летней Нади Сулиман в 2009 году. Она забеременела с помощью ЭКО и родила восьмерых здоровеньких детишек. Интересно, что шесть малышей у нее уже было. Книгой рекордов зафиксированы и десять одновременно рожденных детей, но ни один из них не выжил.
Теперь вы знаете, как определить многоплодную беременность, и эта новость не застанет вас врасплох, как меня.
Адресуйте статью своим друзьям в социальных сетях и не забудьте оформить подписку на рассылку. Дальше будет еще интереснее!
kurs-na-dvojnyu.ru · 13.10.2019
Многие женщины мечтают родить двойняшек. Заподозрив свое «интересное положение», они выискивают любые признаки беременности двойней, которые бы подтвердили их догадки.
Можно дождаться первого скрининга, который проводят в 3 месяца. Там точно скажут количество детей и даже постараются определить их пол. Но ждать еще долго, а ответ хочется получить прямо сейчас!
В этой статье мы описали первые признаки беременности двойней на раннем сроке, когда вы еще только догадываетесь о своем «интересном положении».
Первые признаки появляются уже на 3-5 день после зачатия
Первые признаки двойней до задержки менструации точно такие же, как и при одном плоде. Касаются они общего самочувствия мамы. Сонливость, усталость, легкая раздражительность. Такие симптомы могут проявиться с 3-5 дня после зачатия. Есть даже вероятность легкой тошноты, но не путайте ее с настоящим токсикозом беременных. Он возникает к 12-14 неделе.
Это лишь косвенные показатели, но есть и более точные. Связаны они с перестройкой женского организма и подготовкой к вынашиванию плодов. При этом симптомы беременности двойней на ранних сроках могут возникнуть уже через неделю после незащищенного полового акта. Когда ни один тест еще ничего не покажет.
После встречи со сперматозоидами, оплодотворенные яйцеклетки попадают в матку. Там они «внедряются» внутрь мягких тканей. При этом может выделиться небольшое количество крови. Через 5-7 дней после незащищённого полового акта это видно как коричневая мазня на трусиках. Это один из признаков беременности на раннем сроке.
Имплантация в стенку матки. Оплодотворенная яйцеклетка превратилась в бластоцисту и «внедряется» в ткани эндометрия — верхнего слоя матки.
Имплантационное кровотечение происходит за неделю до предполагаемых месячных
Имплантационное кровотечение происходит примерно на 21-22 день менструального цикла. То есть, у женщины еще нет задержки месячных. Длится оно от нескольких часов до 2 суток. Выделения настолько скудные, что большинство девушек даже не замечают их. Важно помнить, что имплантационное кровотечение не совпадает с менструацией. Оно происходит за 3-7 дней до предполагаемого начала месячных.
Подобный симптом бывает у очень небольшого числа будущих мам. И считается скорее исключением из правил, нежели нормой. В основном любые кровянистые или коричневые выделения сигнализируют о необходимости срочной медицинской помощи. Это могут быть признаки:
- венерических заболеваний;
- воспалительного процесса в матке;
- выкидыша;
- замершей беременности.
При двойне или тройне стенки матки растягивают быстрее, чем при одном плоде. Это приводит к тонусу матки. Женщина ощущает тяжесть в нижней части живота или тянущие боли, как при месячных. Симптом может проявиться рано. Примерно через 5-7 дней после попадания сперматозоидов во влагалище.
Боли в живете — возможный признак растяжения матки
Подобные ощущения возникают и при подготовке организма к принятию эмбрионов. После зачатия они еще целую неделю идут до матки. За это время структура внутренней слизистой оболочки матки — эндометрия — должна стать рыхлой, чтобы будущие зародыши крепко вошли в ткани. Матка готовится к этому процессу, и поэтому могут возникнуть не сильные боли внизу живота, чаще всего чувство покалывания.
Набухание молочных желез и повышенная чувствительность сосков тоже относятся к признакам беременности двойней на раннем сроке. Это связано с гормональной перестройкой организма женщины. Симптом может проявиться еще до задержки месячных.
При двойне или тройне гормоны вырабатываются сильнее. От того ощущение, что грудь «наливается», происходит у женщин с двойней раньше, чем при одноплодной беременности. Обычно этот симптом возникает на 6-7 акушерской неделе (срок считается от первого дня последних месячных). При двойне возможно раньше — на 4-5 неделе.
Как только произошло оплодотворение, организм женщины начинает выработку целого коктейля гормонов. Один из них это прогестерон — главный гормон беременных. Он «оберегает» будущих детей, создает им все условия для развития, но в тоже время приводит к ослаблению моторики кишечника.
У беременных двойней – прогестерон вырабатывается больше. Поэтому и запоры начинаются раньше.
Вышеперечисленные методы могу лишь намекнуть на ваше «интересное положение». Но как определить беременность двойней на ранних сроках с большей вероятностью? Врачи склонны доверять точным методам.
Это первый и главный признак беременности. Однако у женщин бывает плавающий цикл, когда не понятна дата следующей менструации. Поэтому при вероятности задержки стоит подождать еще 3-7 дней. Если не началось обильное кровотечение, можно сделать тест на беременность.
При двойне полоски будут яркие и четкие. Это связано с повышенной выработкой ХГЧ при многоплодной беременности.
Вы беременны, если ХГЧ выше 25 мЕд/мл
Все аптечные тесты основаны на методе определения беременности по ХГЧ в моче. Хорионический гонадотропин человека (ХГЧ) – это белок, необходимый для развития плодов. Он начинает вырабатываться сразу после зачатия.
Чтобы заявить о беременности, показатель ХГЧ должен быть равен или выше 25 мЕд/мл. Такой уровень в моче может появится на 8-9 день после зачатия. Но у большинства женщин (98%) должный уровень ХГЧ поднимается лишь на 11 день или позже. До этого анализ показывает отсутствие беременности, даже если она есть!
При двойне или тройне уровень в 25 мЕд/мл может подняться через пару дней или даже часов от зачатия. Поскольку идет повышенная выработка ХГЧ.
В России нет утвержденных Министерством здравоохранения данных по нормам ХГЧ при беременности двойней или тройней. Но известно, что при многоплодии ХГЧ всегда выше нормы. Умножайте обычные показатели как минимум на два. Поэтому, когда женщина делает свой первый тест на беременность, уровень ХГЧ уже достаточно большой. Две полоски будут яркими.
Более «скоростной» метод определения беременности – это ХГЧ по крови. Анализ можно сдать уже на 7 – 8 день после полового акта. При двойне показатель должен превышать 25 мЕд/мл. Заподозрив многоплодную беременность, врач-гинеколог назначит повторные исследования ХГЧ с разницей в 3 дня. Если уровень будет постоянно повышаться, значит готовьтесь к двойне.
Самый верный способ выяснить количество эмбрионов – это дождаться первого УЗИ. В муниципальных женских консультациях оно проводится на 12 – 14 неделях во время первого скрининга.
По УЗИ двойня видна на 8 акушерской неделе (6 неделя от зачатия)
В частных клиниках аппарат УЗИ часто стоит в кабинете гинеколога. Врач проводит ультразвуковое исследование во время первой консультации. Обычно используется трансвагинальный способ.
То есть аппарат вводят внутрь пациентки через половые органы. Не волнуйтесь, процедура безболезненная. На сроке 8-10 недель рекомендуется применять скрининговый метод.
Эмбрионы исследуют сквозь стенку живота матери, чтобы не повредить их физически.
Самый ранний срок, когда по УЗИ различим плодный мешочек – это 4 недели и 3 дня при условии, что менструальный цикл женщины 28 – 30 дней. Но двойню пока никакой аппарат не определит. Это возможно лишь на 8 акушерской неделе.
Если вы планируете беременность, конечно, хочется быстрее узнать результаты. Но не стоит нагнетать обстановку. Стрессы противопоказаны, тем более на маленьком сроке.
Если у вас есть несколько из вышеперечисленных симптомов, запишитесь на прием в женскую консультацию. Там точно ответят на вопрос о вашем «интересном положении».
Зачатие – это настоящее чудо, которое мы не можем контролировать. Забеременев, многие женщины со страхом задаются вопросом: «а вдруг двойня?». До первого УЗИ предсказать количество малышей практически невозможно, поэтому к такой новости стоит подготовиться заранее. Давайте обговорим с гинекологами такую интересную тему, как «Беременность двойней – признаки, ощущения, развитие».
- Как зарождается двойная жизнь?
- Можно ли предугадать или запланировать зачатие двойни?
- Какие симптомы беременности двойней?
- Как выглядит живот беременной двойней?
- Наблюдение у гинеколога и роды
- Многоплодная беременность после кесарева
- Риски для организма
При зачатии двойняшек существует два варианта развития событий:
- Однояйцевые близнецы развиваются из одной яйцеклетки матери. Эта яйцеклетка может быть оплодотворена двумя сперматозоидами (в случае, если она многоядерная), или же одним сперматозоидом (в таком случае яйцеклетка при дроблении разделяется на две независимых части, которые в итоге развиваются до полноценных эмбрионов.
Плодные оболочки будущих малышей находятся между ними, создавая естественный барьер. Если его нет, то возможно сращивание частей тела – так появляются «сиамские близнецы».
Однояйцевые малыши имеют схожую генетику, поэтому они одного пола и имеют очень похожую внешность.
- Если в организме матери генетически заложена вероятность к развитию нескольких яйцеклеток, то итогом оплодотворения могут стать разнояйцевые близнецы. Они имеют разную генетику, соответственно разную внешность. Именно разнояйцевые близнецы могут развиться в разнополую «королевскую парочку».
Фото животиков беременных двойней:
Врачи вычислили несколько факторов, которые влияют на вероятность развития двух эмбрионов:
- Наследственность родителей;
- Возраст (после 30 лет);
- Стимуляция роста фолликулов гормональными средствами;
- Гормональные контрацептивы;
- ЭКО;
- Повторная беременность (даже если в первый раз был зачат один ребенок).
Также существуют народные методы, которые не подтверждены на практике:
- Отказаться от привычек, угнетающих здоровье;
- Регулярно принимать фолиевую кислоту задолго до беременности;
- Добавить в рацион молочные продукты, орехи, яйца, крупы;
- Стараться зачать детей во время грудного вскармливания;
- Набрать вес, увеличив жировую массу тела;
- Заниматься незащищенным сексом в дни, близкие к овуляции;
- Постоянно думать о своей мечте, визуализировать ее.
Самый легкий путь для желающих забеременеть двойней – найти партнера, у которого есть брат-близнец, либо отправиться на ЭКО. Если оба способа не подходят, то остается третий вариант – регулярно принимать гормональные противозачаточные, а после резко их отменить.
На форумах о беременности двойней можно найти еще много информации, но все же не стоит идти на поводу интернета и пробовать на себе невероятные способы многоплодного зачатия.
Поскольку при развитии двух эмбрионов уровень гормонов в крови повышается резкими темпами, то признаки двойни на ранних сроках беременности начинаются проявляться очень быстро. Резкая чувствительность к запахам, головокружение, слабость, сонливость, тошнота, перепады настроения и зверский аппетит могут начаться еще до первой тест-полоски.
При одноплодной беременности увидеть вторую полоску достаточно сложно, обычно на наличие малыша свидетельствует палочка-призрак, едва заметная. В случае с двумя малышами все иначе – тест-полоска очень яркая.
Уже на первых неделях идет резкая гормональная перестройка женского организма, которая требует всё большего количества энергии. Поэтому и вес набирается невероятными темпами. В первом триместре нормальным считается увеличение массы тела на пять килограммов.
На осмотре у гинеколога врач заметит чрезмерное увеличение матки, из-за чего может быть даже неверно поставлен срок зачатия. Окончательный вердикт вынесут на первом УЗИ. Кстати, порой при этом обследовании можно не заметить второй эмбрион из-за того, что он будет прятаться за первым.
Увидеть развитие многоплодной беременности можно на пятой акушерской неделе. При этом разнояйцевые близнецы специалистом определяются раньше, чем однояйцевые.
Стоит учитывать, что не всегда малыши способны нормально развиваться в столь ограниченном пространстве. В 20% беременности один из эмбрионов перестает развиваться. Порой он фактически исчезает из полости матки.
Чтобы вовремя выявить отклонения и исключить их, следует не только вести здоровый образ жизни, но еще желательно вести календарь беременности двойней по неделям. В нем следует записывать все изменения и ощущения, которые происходят на определенном этапе, и обо всем рассказывать своему лечащему врачу.
Отличается ли беременность двойней, как проходит развитие плодов по неделям, и какие ощущения испытывает женщина? Вопрос, который волнует многих женщин ожидающих больше одного ребенка.
При одноплодной беременности самым сложным считается третий триместр – из-за проблем с растущим животом. А если женщина вынашивает двойню, то объем «домика» увеличивается еще больше и быстрее. Какие сложности возникают с животом после зачатия двух детей:
- До 12 недели вес набирается относительно медленными темпами. Если же наблюдается резкое увеличение массы тела, то это «критический звоночек», говорящий о проблемах в организме. Также резкий набор веса может быть связан с неправильной постановкой срока.
- С 12 недели начинается ощутимая прибавка веса у малышей, поэтому и организм мамы начинает требовать больше пищи, появляются признаки беременного живота.
- Уже на 17 неделе будущая мамочка ощущает дискомфорт во время сна. Из-за объемного пузика спать неудобно, да и малыши начинают проявлять свою активность (особенно если это не первая беременность). Но даже при первой беременности двойней шевеления можно ощутить несколько раньше, чем с одним малышом.
- С 20 недели необходимо использовать бандаж для сохранения активной жизни, красивой фигуры и здорового тела.
- В третьем триместре живот увеличивается настолько, что появляются некрасивые растяжки. Минимизировать их развитие поможет регулярное использование специальных кремов и масел еще во втором триместре.
- За 9 месяцев женщина с двойней способна набрать около 20 килограмм.
Об особенностях беременности двойней в каждом отдельном случае лучше узнавать у своего лечащего врача, который, исходя из результатов всех исследований, порекомендует как себя вести.
https://youtube.com/watch?v=_3BmCU6hiWE
В таблице указан приблизительный вес двойни по неделям беременности:
Зачатие двух детей происходит обычно легко и просто, а выносить и родить сразу несколько детей очень сложно. Какие подводные камни поджидают будущую мамочку, и часто ли ей придется проводить время в больницах?
Как два ребенка располагаются в животе
Из-за возможных рисков для здоровья, как детей, так и их мамы, ей предстоит часто обследоваться и регулярно посещать врача. До 28 акушерской недели врач ставит явки примерно раз в две недели. Перед датой родов этот срок сокращается – гинекологи назначают консультации раз в неделю.
На практике большую часть третьего триместра женщина проводит в больнице на сохранении, где за малышами регулярно наблюдают, решая вопрос о сроке и процессе родов. Если женщина вынашивает вторую многоплодную беременность, то ей рекомендуют лечь в стационар под наблюдение медиков уже на втором триместре.
Какие факторы влияют на решение врачей:
- Предлежание малышей.
- Количество околоплодных вод
- Сердцебиение.
Родить двойняшек естественным путем возможно, если малыш, решивший пойти «на выход» первым, лег правильно – головкой вперед и процесс родовой деятельности протекает регулярно. Кесарево сечение или экстренная операция положены в случаях, когда кто-то из детей имеет гипоксию или нарушенное сердцебиение.
Редко кто из беременных двойней может выдержать положенные 40 недель беременности.
птимальным считается родоразрешение на сроке в 35-36 недель. После родов детей обязательно отправляют в реанимацию, поскольку они всегда рождаются недоношенными, с маленьким весом.
Кесарево сечение – это грубое вмешательство в организм женщины, без которого порой не обойтись. Какие риски подстерегают беременную двойней, которая однажды прошла через эту операцию?
Для успешного вынашивания после кесарева стоит подождать как минимум полтора года. Если вы адекватно подходите к вопросам своего здоровья, то обязательно проконсультируйтесь с гинекологом – можно ли беременеть снова. Только грамотный врач способен оценить вероятность удачных родов.
Если вторая беременность с двойней, то даже при успешном ее развитии женщину все равно ожидает повторное кесарево сечение приблизительно на тридцатой неделе.
Как и на каком месяце делают первое УЗИ при беременности, и что нужно для скрининга?
Как узнать, каким родится ребенок, можно прочитать на следующей странице.
Немного о синдроме Дауна: http://budymamoi.ru/health/bolezni/sindrom-dauna-pri-beremennosti.html.
Беременность сама по себе – серьезная нагрузка для женского тела, что уж говорить про двойню. Какие проблемы могут возникнуть:
- Возрастает риск раннего гестоза. Это может фатально отразиться как на здоровье матери, так и на здоровье не рожденных деток.
- Поскольку кровеносная система переключается на обеспечение жизнедеятельности детей, кровь самой мамы разжижается, а это приводит к анемии.
- Растягивание матки приводит к передавливанию всех внутренних органов. Особенно опасно давление на кишечник – появляются запоры и мочеполовую систему – развивается пиелонефрит.
Что делать, чтобы забеременеть двойней:
Многие мечтают родить двойню, чтобы отмучиться один раз и на всю жизнь – так они рассуждают. В этом действительно есть смысл, и если мечта сбылась, хочется узнать об этом как можно раньше.
Поэтому в этой статье мы вспомним не только все факторы, которые увеличивают риск появления двух малышей, но также отметим признаки двойни на ранних сроках беременности. Готовы? Тогда начинаем!
Большинство из нас до сих пор путает понятие двойняшек и близняшек, между тем там все просто. В обоих случаях присутствуют две мужские клетки. В случае с близняшками они одновременно оплодотворяют одну женскую клетку, в результат чего та начинает усиленно делиться. Именно поэтому такие дети максимально похожи друг на друга, они одного пола, ведь у них одинаковый набор хромосом.
При зачатии двойняшек два сперматозоида оплодотворяют две яйцеклетки. Таким образом на свет появляются не похожие друг на друга дети, иногда даже не одного пола.
По словам ученых, у среднестатистической женщины больше шансов родить именно двойняшек.
Знаете, почему? Потому что, они рождаются в разы чаще – примерно раз на 80 беременностей (для сравнения близнецов удается зачать в 4 раза реже двойняшек).
Интересно, что спрогнозировать рождение близнецов невозможно: уж очень малы шансы (2% от всех беременностей). Усугубляет ситуацию риск их невынашивания.
Оказывается, даже не все женщины знают, что пару дней «были беременны» близняшками, так как такие зачатия срываются чуть ли не сразу после оплодотворения яйцеклетки. До постановки на учет доходит в одном случае из 10.
Другое дело – двойняшки. Там, и выносить легче, и спланировать. Так что, если хотите – дерзайте!
Приятная новость для желающих родить двух деток сразу: за последнее двадцатилетие шансы всех женщин на многоплодную беременность выросли в разы, что объясняется внешними факторами, которые, в свою очередь, влияют на гормональный фон женщины и, как результат, на зачатие.
Какие условия должны быть соблюдены:
- Возраст. Невероятно, но факт: женщины в возрасте от 35 лет чаще становятся счастливыми мамами двойняшек. Причем это не домыслы, а научно обоснованный факт. Всему виной – повышение гормонального фона в общем и гонадотропина в частности, как раз отвечающего за созревание яйцеклеток. Учитывая то, что происходит это постепенно, с каждым годом вероятность многоплодной беременности возрастает.
- Генетика. Всем давным-давно известно, что если в роду уже были двойняшки, шансы «заполучить» их повторно автоматически увеличиваются. Причем, как правило, у пар, бабушки и дедушки которых стали счастливыми обладателями двух деток. Просто потому, что нужную активность нужные гены проявляют через поколение. Правда, гинекологи говорят, что заметно это обычно по женской линии. Мужчины просто передают «свою способность» дочерям.
- Нарушение в работе яичников. В норме за один менструальный цикл у женщины должна вырабатываться одна-единственная яйцеклетка. Если по каким-то причинам при овуляции сформировалось сразу две – ждите двойное пополнение. Стоит отметить, что, по словам врачей, на практике это случается раз на 200 менструальных циклов. Иными словами, шансы невелики, но они есть.
- ЭКО. Экстракорпоральное оплодотворение – еще один яркий признак рождения двойни. Для успешного оплодотворения в организм женщины подсаживается сразу несколько яйцеклеток, чтобы хоть одна из них оплодотворилась. Именно поэтому, супруги, согласившиеся на ЭКО, должны быть готовы ко всему.
- Искусственная стимуляция. Суть этого фактора в чем-то повторяет предыдущий. Правда, в этом случае женщине назначаются специальные препараты, которые усиливают работу яичников и приводят к формированию нескольких яйцеклеток. Так и зарождаются двойняшки.
- Отказ от приема комбинированных оральных контрацептивов. Эти препараты невольно подавляют работу яичников, так как «создают» гормональный фон, приближенный к тому, который существует при беременности. С точки зрения медицины в этом нет ничего плохого, так как благодаря этому яичники отдыхают. В то же время после отмены ОК они начинают работать с новой силой. Тогда зачатие наступает легче и быстрее, например, если у пары с этим были проблемы, в том числе и многоплодной беременностью.
- Несколько беременностей в анамнезе. Чем больше у женщины детей, тем выше вероятность зачать двойню.
- Муж из Ближнего Востока или Африки. Это этническая особенность представителей из этих регионов.
- Продолжительность менструального цикла. У женщин с циклом в 21 день шансов родить двойню больше.
- Патологии развития матки. Речь идет о пороке, при котором особенности строения органа (двурогая матка) приводят к формированию двух яйцеклеток и, как результат, многоплодной беременности.
Интересно, что была замечена еще одна интересная особенность: в моменты природных катаклизмов, а также в случае развития различных социальных потрясений, которые приводят к массовой гибели людей, число рожденных двойняшек возрастает. Есть мнение, что таким образом природа заботится о сохранении человеческого рода.
Несколько лет назад учеными были проведены исследования, в ходе которых удалось установить следующее: огромную роль в процессе зачатия двойняшек играет рацион питания, точнее присутствие в нем огромного количества белковых продуктов. Сам белок влияет на женский гормональный фон. Содержится он в:
- Мясных продуктах, желательно постных – говядине, птице, нежирной свинине, телятине. От колбас и копченостей лучше отказаться.
- Рыбе и морепродуктах.
- Твороге и твердых сортах сыра.
- Молоке и молочных продуктах.
Шансы родить двух деток сразу увеличиваются и при условии употребления определенных фруктов: яблок, твердых сортов груш, винограда, некоторой экзотики (манго, киви, ананасов, маракуйи, персиков, нектарина). Еще один полезный продукт – ямс. Были собраны статистические данные, согласно которым представители народностей, в национальной кухне которых он присутствует, чаще радуются появлению двойни на свет.
Возвращаясь к моей знакомой, хочется отметить, что погостила она в чудо деревне 7 дней с мужем и вернулась домой, с предвкушением ожидая увидеть первые признаки двойняшек в своем организме. Как правило, это:
- Огромнейшая усталость. Вялость и сонливость – это не новость для первого триместра беременности, между тем из-за необходимости работать с двойной нагрузкой, женщина ощущает их отчетливее. Правда, убедиться в этом может только та, что уже вынашивала детей. Главное, чтобы не было сопутствующих факторов: плохого питания и стрессов на работе.
- Усиленный токсикоз. В случае его появления многоопытные бабушки и без УЗИ скажут, что все дело в многоплодной беременности. Проявляться все может не только тошнотой и рвотой, но и упадком сил, хотя все индивидуально.
- Раннее или частое шевеление плода. В идеале первые движения крохи ощущаются на 18 – 19 неделе первой беременности или на 15 – 16 неделе второй. Согласно сообщениям молодых мам на женских форумах с двойняшками шевеления начинаются гораздо раньше – чуть ли не на 12 неделе, хотя и очень слабые, еле заметные.
- Высокий уровень ХГЧ. Именно с его помощью определяют успешность зачатия в больнице и дома по тестам на беременность. В случае зачатия двух деток, он резко повышается, о чем будет говорить и ярко выраженная полоска на тесте.
- Резкое увеличение веса. В общем, за беременность цифра оказывается большей, нежели у мамы одного ребенка на 5 – 6 кг. Правда, нельзя исключать здесь факт переедания, конституцию тела, образ жизни.
- Гестационный возраст плода. На ранних сроках врач может заподозрить многоплодную беременность по расстоянию от верхней части матки до верха лобка. Просто потому, что две яйцеклетки будут расширять матку сильнее. Также ее размеры не будут соответствовать срокам задержки менструации.
- Прослушивание сердцебиения в разных местах на сроке 8 – 12 недель.
- Кожные проблемы. Заподозрить наличие двойни до УЗИ можно также, понаблюдав за изменениями на коже лица мамы. Из-за усиленной выработки гормонов, там активно появляются угри, сыпь, другие несовершенства.
Годами женщины собирали приметы, по которым можно судить о рождении двойняшек. В их числе:
- Прием фолиевой кислоты за несколько месяцев до оплодотворения. Метод действенный, хоть и не 100%-ный. И лучше перед его использованием проконсультироваться с врачом, все-таки это лекарство.
- Высокая сексуальная активность пары. Тут и так все понятно. Хотите двойняшек – чаще любите друг друга.
- Время года. Летом усиливается выработка гормонов, следовательно, шансы забеременеть, в том числе двойней, тоже увеличиваются.
- Лактация. Во время кормления малыша возможность многоплодной беременности также увеличивается.
Двойняшки – это огромное счастье для семьи. Хотите их родить? Верьте в успех, а зачав, ищите ранние признаки многоплодной беременности. С приходом лета, у Вас, наверняка, все получится!
Поделиться:











