Акушерская патология является важным аспектом современной медицины. А среди всех заболеваний особое место принадлежит невынашиванию беременности. Для женщин, надеявшихся на благополучное зачатие и дальнейшее развитие ребенка, это становится тяжелым ударом.
Подобная ситуация может произойти на раннем сроке, когда встречается неразвивающаяся беременность по типу анэмбрионии, что говорит об отсутствии в плодном яйце зародыша. Почему так происходит и какие действия следует предпринимать – вопросы, ответы на которые даст врач.
А женщине следует придерживаться его рекомендаций.
Причины неразвивающейся беременности многообразны и комплексны. Трудно выделить какой-то один фактор, имеющий наибольшее влияние на организм женщины до зачатия и после него. Чаще всего речь идет об ассоциации нескольких причин. Из них важное значение имеют следующие:
Чувствительность эмбриона к внешним неблагоприятным факторам наибольшая в раннем сроке. Существуют критические периоды во время беременности, когда риск патологии существенно выше. В основном это наблюдается на 7–12 сутки после зачатия, при имплантации плодного яйца в слизистую оболочку матки, и с 3 по 8 неделю гестации, что связано с активными процессами эмбриогенеза.
Среди механизмов развития анэмбрионии основная роль принадлежит нарушению процессов жизнеобеспечения зародыша, что приводит к его гибели.
Если беременность не отторгается, то плодное яйцо без эмбриона может еще длительное время персистировать в матке, повышая риск осложнений.
Анэмбриония является разновидностью неразвивающейся беременности. А ее причины включают внешние и внутренние факторы, оказывающие неблагоприятное воздействие на плод на ранних сроках гестации.
Плодное яйцо без эмбриона не имеет яркой симптоматики. Но несмотря на это, в клинической картине можно выделить определенные особенности, дающие возможность заподозрить акушерскую патологию. Как правило, речь идет о таких проявлениях:
- Размеры матки не соответствуют гестационному сроку.
- Постепенно исчезают признаки беременности.
- Маточный тонус снижен.
- Появляются скудные кровянистые выделения из влагалища.
При динамическом гинекологическом осмотре размеры матки не растут, как это положено в норме, а наоборот, уменьшаются. Исчезает цианоз слизистой оболочки шейки и влагалища. Ректальная температура также снижается.
Если неразвивающийся эмбрион длительно задерживается в полости матки, то возникает вероятность осложнений. Прежде всего речь идет о нарушении свертывания крови (коагулопатия или ДВС-синдром).
В этом случае возникает повышенная кровоточивость из различных участков тела и внутренних органов, которую сложно остановить.
Вторая опасность заключается в инфицировании мумифицированного плодного яйца и развитии эндометрита.
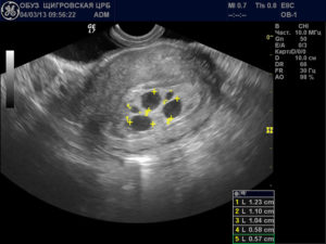
Решающее значение в диагностике анэмбрионии принадлежит дополнительным методам. И основную роль в этом играет ультразвуковое исследование матки. По его результатам определяют следующие признаки патологии:
Если врач сказал, что у женщины по УЗИ нет эмбриона, а клинически беременность протекает нормально, то исследование нужно повторить через 7 дней. При отсутствии патологических изменений плод вырастет, и его станет не только видно, но и слышно (на 8 неделе сердцебиение уже обязано быть). Поэтому не стоит спешить с выводами и ориентироваться лишь на результаты однократной процедуры.
Согласно данных УЗИ, выделяют два типа анэмбрионии. Первый характеризуется тем, что диаметр плодного яйца не превышает 25 мм, размеры матки соответствуют 5–7 неделе беременности, но отстают от реального срока. При втором типе яйцо растет с нормальной скоростью и к 2,5 месяцам достигает 50 мм, однако не визуализируется ворсинчатый хорион.
Помимо инструментального исследования, диагностика включает определение гормонального спектра и биохимических показателей крови. Об анэмбрионии могут свидетельствовать такие показатели:
- Низкий уровень хорионического гонадотропина (ХГЧ), отсутствие его пиковой концентрации в 10–11 недель.
- Снижение пролактина, прогестерона, эстрадиола, кортизола.
- Падение уровня трофобластического β1-глобулина.
- Уменьшение концентрации плацентоспецифического α1-микроглобулина.
Нужно сказать, что увеличившийся ХГЧ, равно как и другие биохимические маркеры, говорят о нормальном течении беременности. И если даже на УЗИ эмбриона еще не видно – такое бывает вплоть до 6–7 недель – то женщине переживать не стоит. Возможно, это связано с ее индивидуальными особенностями или несовершенством аппарата.
Чтобы выяснить, почему может отсутствовать плодное яйцо, назначается исследование иммунного статуса (иммуноглобулины, волчаночный антикоагулянт, кардилипиновые и антифосфолипидные антитела), проводится генетический анализ (кариотипирование). Для раннего выявления осложнений необходим анализ коагулограммы (время свертывания, протромбиновый индекс, фибриноген).
Подтвердить анэмбрионию можно лишь инструментально-лабораторными методами. Но даже их результаты следует рассматривать в контексте клинической картины и индивидуальных особенностей организма.
Если плодное яйцо без эмбриона задерживается в полости матки, то существует реальная угроза для здоровья женщины и ее жизни. Поэтому патология требует активной лечебной тактики. После установления диагноза неразвивающейся беременности она прерывается одним из способов:
- Вакуумная аспирация.
- Выскабливание (кюретаж).
- Медикаментозный аборт.
После того, как плодное яйцо устранено, женщине показана противовоспалительная терапия, иммуностимулирующие и общеукрепляющие препараты.
Если же развилось осложнение в виде кровотечения, то применяют гемостатики и плазмозаменители.
При эндокринных нарушениях необходима соответствующая гормонотерапия, а аутоиммунные нарушения требуют использования глюкокортикоидов. Для нормализации психофизиологического состояния показаны седативные средства.
Анэмбриония – довольно распространенная акушерская патология, о которой становится известно по результатам УЗИ.
Немаловажное значение в диагностике также имеют лабораторные методы, позволяющие выявить системные расстройства и предположить, может ли последующая беременность завершиться благополучно.
А для реализации положительного сценария необходимо во всем придерживаться врачебных рекомендаций.
Одной из возможных причин прерывания беременности является анэмбриония. Данным термином обозначают ситуацию, при которой в плодном яйце полностью отсутствует зародыш либо размеры его настолько малы, что он становится неразличимым при УЗИ.
Когда при проведении УЗИ по поводу беременности врач говорит, что плодное яйцо пустое, что это значит – женщина может до конца и не понимать.
Многие будущие мамы поначалу сомневаются, размышляя: может ли плодное яйцо быть пустым или это врачебная ошибка? Подобная патология имеет место.
Она характеризуется отсутствием зародыша внутри сформировавших оболочек. При этом зачатки будущего малыша очень малы.
Нередко анэмбрионию рассматривают как разновидность замершей или неразвивающейся беременности. Подобный диагноз выставляется до 6-й недели гестации. Распространена анэмбриония при ЭКО, когда после оплодотворения яйцеклетка не развивается дальше. Стоит отметить, что при патологии данного рода зачастую возможны ошибки диагностики.
Когда сроки беременности установлены неточно, в момент проведения обследования зародыш может быть недостаточного размера, поэтому он неопределим с помощью стандартных датчиков УЗИ. Врач при этом ошибочно диагностирует анэмбрионию. Чтобы исключить ошибку, при подозрении на патологию обследование проводится повторно через несколько недель.
Из-за чего возникает анэмбриония, причины данного нарушения врачам не удается назвать до сих пор. Большинство медиков склоняются к теории генетических нарушений. Хромосомные аномалии в генетическом материале одного из родителей нередко становится причиной замирания плода: на одном из этапов зародыш перестает расти и развиваться.
Когда у женщины обнаруживается пустое плодное яйцо причины этого явления врачи связывают со следующими факторами:
- Острые вирусные или бактериальные инфекции на ранней стадии беременности. Под их воздействием происходит нарушение процесса развития плода.
- Влияние радиации или токсических веществ на организм матери.
- Гормональные сбои в организме будущей мамы (недостаток прогестерона).
- Вредные привычки (курение, употребление алкоголя).
- Прием определенного ряда медикаментов с выраженным эмбриотоксическим действием.
- Чрезмерные физические нагрузки, стрессовые ситуации, переживания.
Признаки анэмбрионии на ранних сроках не имеют специфического характера. Это объясняет частое случайное обнаружение патологии при проведении планового УЗИ при начавшейся беременности. Появляющиеся при патологии признаки имеют непрерывную связь с процессом имплантации или угрозой выкидыша.
Среди симптомов, требующих проведения обследования врачи выделяют следующие возможные признаки анэмбрионии:
- схваткообразные боли в нижней части живота;
- кровянистые выделения из полости влагалища;
- явления токсикоза (тошнота, повышенная утомляемость, головная боль, обморочное состояние);
- увеличение размеров матки;
- отсутствие очередных месячных;
- повышение температуры тела до 37–37,5 градусов.
Чтобы определить возможное наличие патологии и своевременно обратиться к врачу, женщины нередко интересуются у гинеколога, растет ли ХГЧ при анэмбрионии. Хорионический гонадотропин является гормоном, который синтезируется хорионом – плодными оболочками, которые формируются с началом гестации.
Анэмбриония также сопровождается их формированием, поэтому ХГЧ при нарушении данного типа присутствует в кровяном русле. Однако при динамическом наблюдении за концентрацией этого соединения в кровяном русле можно заметить патологическую закономерность. Уровень ХГЧ не повышается через каждые два дня, как при нормальной физиологической беременности.
К сожалению, не все походы на УЗИ при беременности заканчиваются счастливо, иногда, врачи видят, что в плодном яйце не видно эмбриона.
Анэмбриония – это вид неразвившейся беременности, при котором формируется малых размеров эмбрион, а точнее, отсутствие эмбриона в плодном яйце. Для постановки такого диагноза необходимо пройти ультразвуковое исследование на шестой неделе беременности.
Что значит, если не видно эмбриона в плодном яйце? На форумах часто спрашивают: “В плодном яйце нет эмбриона, прошло 6 недель. Как быть?”. Ответ прост – не стоит паниковать раньше времени.
Если при последующих обследованиях будет обнаруживаться не увеличивающийся в размерах эмбрион, то это даст основания поставить анэмбрионию.
Если же эмбрион увеличится в размере, то это будет являться поводом для радости.
https://youtube.com/watch?v=cl5o7_DZhQk
Как правило, для нормальной беременности к шестинедельному сроку эмбрион уже заметен.
Анэмбриония – достаточно распространенное явление. Каковы же основные причины отсутствия эмбриона в плодном яйце?
Причины отсутствия эмбриона (пустое плодное яйцо).
Причин на самом деле очень много. Приведем несколько:
- Если плодное яйцо без эмбриона, причины могут крыться в различных инфекционных процессах, передающиеся как воздушно-капельным путем, так и половым.
- Многочисленные мутации в хромосомах могут стать причиной ситуации, когда плодное яйцо растет а эмбриона нет.
- Нарушения в генетическом аппарате.
- Негативное воздействие химикатов.
- Беременность во время позднего климакса.
- Постоянные стрессы.
- Наличие вредных привычек: курение, алкоголь, наркотики.
- Гормональные нарушения.
- Отрицательное влияние радиоизотопов.
В медицинской практике существует и другая грозная патология, называющаяся анэмбриония второго плодного яйца.
Данное заболевание также очень часто встречается в повседневной медицинской практике. К возникновению данной патологии приводят все те же самые причины, описанные ранее.
Особенностью является то, что нормально развивающийся эмбрион не подвергнется негативному воздействию второго.
В этом случает, яйцо без эмбриона не представляет опасности. Необходимо лишь подождать, так как с течением времени оно само рассосется, то есть подвергнется редукции.
В данной статье мы попытались разъяснить актуальнейшие вопросы беременности: почему нет эмбриона в плодном яйце, влияние окружающей среды на развитие эмбриона, понятие анэмбрионии, в чем суть анэмбрионии второго плодного яйца, каким образом это может отразиться на здоровом эмбрионе.
Что касается лечения, то при доказательстве анэмбрионии единственным способом лечения является полная очистка полости матки. После процедуры следует сделать повторное УЗИ для мониторинга за возможными осложнениями. Новая беременность возможна лишь через полгода после тотальной очистки.
Прежде всего, хотелось бы уточнить, что среди такого патологического состояния как анэмбриония выделяют несколько ее типов:
Во втором случае – помимо отсутствия развития плодного яйца и эмбриона, отмечается активный рост матки согласно сроку гестации.
И для третьего типа характерны случаи, например при многоплодной беременности, когда наблюдается развитие одного из эмбрионов, когда параллельно присутствует замершая беременность другого эмбриона.
Причиной этому могут послужить следующие факторы:
- Хромосомные нарушения на генетическом уровне, проявляющееся в виде недееспособности комбинации генов родителей, либо нарушением только у матери, препятствующее то, что при диагностировании в полости матки нет эмбриона в плодном яйце 8 недель срока гестации.
- Такая патология так же может возникнуть вследствие хронических гинекологических заболеваний деформирующих структуру полости матки (например – эндометриоз или дисплазия матки), не стоит исключать и острые воспалительные или венерических заболевания женской половой системы которые также не обходятся без структурных последствий.
Получить бесплатную консультацию врача
Если у Вас остались вопросы после прочтения материала или если Вы уже твердо определились с решением, закажите БЕСПЛАТНУЮ консультацию специалистов нашего агентства. Все данные строго конфиденциальны!
- Если в течение последних месяцев женщина принимала лекарственные препараты имеющие ряд побочных действий в виде нарушения репродуктивной функции, это может повлечь за собой сбои на генетическом уровне, при развитии эмбриона на начальных этапах после оплодотворения.
- В целом, нейроэндокринные нарушения, приводящие к дисфункции половой системы, всегда негативно влияли на возможность женщины благополучно забеременеть, но если все-таки ей это удается, то при отсутствии должного лечения, данные нарушения могут негативно повлиять на сам эмбрион.
Должной диагностикой в такой ситуации будет экстренное ультразвуковое обследование с использование вагинального датчика, для более высокой информативности о состоянии плодного яйца, поскольку определить другими способами, что нет эмбриона в плодном яйце 7 недель спустя, практически невозможно.
Диагноз пустое плодное яйцо без эмбриона не редкость, он ставится в 5-10% случаев. Самым неприятным является то, что шансы выявить его причины минимальны. Чтобы запланированная беременность увенчалась успехом специалисты рекомендуют принимать мультивитаминные комплексы и вести здоровый образ жизни.
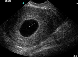
Так на УЗИ выглядит пустое плодное яйцо.
Пустое плодное яйцо – это по сути беременность, которая не начала развиваться. Процесс развития прекратился еще до этапа формирования эмбриона. Причин такого нарушения достаточно много.
Любые негативные изменения в организме женщины могут его спровоцировать.
При постановке диагноза анэмбриония следует немедленно принять необходимые меры, так как это влечет за собой неизбежную гибель плода.
Среди основных причин пустого плодного яйца выделяют:
- Генетические нарушения.
- Инфекционные заболевания.
- Внешние факторы (состояние окружающей среды).
- Неправильный режим питания.
- Недостаток витаминов.
То есть в каждой конкретной ситуации определить причину образования пустого плодного яйца крайне сложно.
Генетические нарушения начинаются на первоначальном этапе деления клеток и влекут за собой последующие ошибки. Это может быть формирование лишних хромосом либо наоборот, их неполного набора.
В таком случае превращение яйца в эмбрион не происходит, организм женщины это понимает и начинает его отторгать.
По статистике из 100 женщин у 5-10 нет эмбриона в плодном яйце.
На первоначальном этапе пустая беременность заметна не будет. Ее невозможно определить даже с помощью гинекологического осмотра.
Нарушения становятся видимыми уже на самой крайней стадии, когда организм начинает отторгать плод.
На данном этапе наблюдаются боли внизу живота, коричневые выделения из влагалища и резкий запах — и это уже признаки плодного яйца без эмбриона который организм начал отвергать.
Контроль динамики показателя ХГЧ – один из способов определения пустого плодного яйца. Значения ХГЧ будут меняться, но значительно меньше, чем при нормальном течении беременности. Также возможен вариант, когда значения показателя ХГЧ стоят на месте – это основной признак существования проблем с развитием плода.
Обязательно посмотрите это полезное видео:
Симптомы пустой беременности не отличаются от обычной: это задержка менструации, проявления токсикоза, постоянное чувство усталости.
На ранних сроках крайне сложно выявить пустое плодное яйцо. Так как размеры эмбриона очень малы и его можно просто не заметить. Только по прошествии 5 недель, появляется возможность определить отсутствие плода.
Только на шестой неделе беременности пустое плодное яйцо можно диагностировать с помощью УЗИ. Оно проводится в любом случае, чтобы определить месторасположение плода, а также исключить внематочную беременность.
Такой страшный диагноз, как анэмбриония женщина может услышать даже если чувствует себя хорошо и у нее нет никаких симптомов.
Первый триместр беременности это наиболее важное время формирования плода, на данном этапе будущей маме стоит особо тщательно следить за своим здоровьем, так как угроза выкидыша очень высока.
В этом видео показано УЗИ пустого плодного яйца:
Если у женщины обнаружено пустое плодное яйцо без эмбриона потребуется сделать медицинскую коррекцию (очищение матки).
Если был поставлен такой неутешительный диагноз, нужно будет сделать коррекцию. Медицинская коррекция возможна с помощью двух способов.
Это наиболее распространенный вариант коррекции. Такой способ позволяет почистить полость матки без последствий. При хирургическом вмешательстве используется общая анестезия. Операция проходит очень быстро от 10 до 25 минут. Доктор должен выскоблить маточный слой и пустое плодное яйцо. Уже через пару часов женщина может отправляться домой.
Аборт с применением специальных препаратов может быть использован, если срок беременности составляет меньше 6 недель. Женщина принимает лекарство и ждет когда начнутся схватки. Это больно. Вся процедура происходит в больнице под контролем врача. После того, как из матки выйдет все лишнее, женщина должна провести в больнице пару дней до того, как закончится кровотечение.
Чтобы уточнить причину нарушения развития беременности материал, полученный из матки в процессе чистки, отправляют на гистологическое исследование. Такое исследование должно выяснить причины прекращения развития эмбриона и когда именно он прекратил свое развитие.
После аборта нужно делать УЗИ.
При завершении любого из двух методов аборта нужно сделать УЗИ. Таким образом, можно удостовериться, что матка чистая и в ней не остались частички плодного яйца.
Проблему лучше предотвратить, чем решать ее последствия. Если обнаружено пустое плодное яйцо, то принимаются уже крайние меры. Но если при планировании беременности руководствоваться некоторыми рекомендациями, то можно снизить вероятность развития патологий.
Уменьшить риск формирования пустого плодного яйца можно следующими способами:
- обоим супругам пройти полное медицинское обследование (сделать анализы, УЗИ, проконсультироваться с гинекологом и терапевтом, чтобы исключить хронические заболевания, также рекомендуется посетить узких специалистов);
- по рекомендации специалиста начать прием мультивитаминов, в том числе фолиевой кислоты. Курс витаминов следует начать принимать за 2-3 месяца до зачатия;
- при подготовке к беременности следует отказаться от вредных привычек: употребления алкоголя, курения. Пересмотреть свой режим питания, рацион: наполнить его продуктами богатыми витаминами и минералами.
Стоит заранее договориться с акушером-гинекологом, который будет вас консультировать на протяжении всей беременности. Важно понимать, что единичный случай пустого плодного яйца – это еще не приговор.
Это абсолютно не означает, что у кого-то из партнеров существуют нарушения в репродуктивной системе.
Главное не расстраиваться и продолжать попытки забеременеть (после анэмбрионии за продолжение рода можно браться через полгода), тогда все обязательно получится.
Сегодня всё чаще встречается такая патология как анэмбриония (анэмбрионическая беременность) или пустое плодное яйцо. Анэмбриония — это отсутствие эмбриона в плодном яйце. Есть плодные оболочки, амнион (водная оболочка), хорион (ворсинчатая оболочка), а будущего ребёнка (эмбриона) нет.
Часть таких беременностей прерывается на самой ранней стадии до имплантации в стенку матки — так организм избавляется от дефектного зародыша. Но если плодному яйцу удалось прикрепиться к стенке матки, то его хорион начинает вырабатывает ХГЧ, как и при обычной беременности (см. «ХГЧ при беременности»).
Поэтому при анэмбрионии у женщины наблюдается задержка менструации, могут присутствовать такие признаки беременности, как тошнота, изменение вкуса, усталость, набухание груди. Так как тесты на беременность основаны на определении ХГЧ, они будут положительными.
Тем не менее анэмбрионическая беременность не может развиваться нормально и всегда заканчивается выкидышем в первом триместре. Часто выкидыш происходит ещё до того, как женщина узнает, что она беременна или в первые дни после задержки менструации.
Основной причиной появления анэмбрионии или пустого плодного яйца являются хромосомные и генетические аномалии. Чаще всего они возникают спонтанно в момент деления клеток, то есть в первые дни после оплодотворения. Во время деления клеток, отвечающих за формирование эмбриона, происходит сбой и эмбрион не образуется, а другие клетки продолжают развиваться и создают пустое плодное яйцо.
Бывает и другая ситуация, когда эмбрион формируется, но погибает на раннем сроке беременности и он настолько маленький, что по УЗИ его не видно.
Беременность при пустом плодном яйце может иметь такие же признаки, как и обычная беременность. Тем не менее при анэмбрионии часто наблюдаются мажущие кровянистые выделения, так как матка пытается избавиться от дефектного плодного яйца.
https://youtube.com/watch?v=a1tn40cT5js
Определить пустое плодное яйцо можно только с помощью ультразвукового исследования. Однако всем подряд женщинам не рекомендуется делать УЗИ на ранних сроках, такое обследование нужно проводить только по показаниям, например, при наличии кровянистых выделений или сильных болей в животе.
УЗИ, проведённое слишком рано, может дать ошибочный результат и внести в жизнь беременной ненужный стресс. Нередки случаи, когда диагноз «анэмбриония» оказывается ложным. Очень рано провели УЗИ или срок беременности оказался меньше, чем предполагается, и маленький эмбрион просто не увидели.
Определить анэмбрионию по УЗИ можно не ранее 5-6 недель беременности, но и на этом сроке могут быть ошибки.
При подозрении на анэмбрионию нельзя спешить с прерыванием беременности. Во-первых, диагноз может оказаться ложным. Обязательно нужно провести ещё одно ультразвуковое исследование примерно через 7-10 дней.
Во-вторых, если диагноз подтверждается, рекомендуется подождать 2-3 недели. Чистка требуется в очень редких случаях, чаще всего пустое плодное яйцо выходит из полости матки самостоятельно. В основном самопроизвольное прерывание беременности при пустом плодном яйце происходит до 8 недель.
Только в некоторых случаях может понадобиться инструментальное удаление плодного яйца. Возможно также медикаментозное прерывание анэмбрионической беременности, когда женщина принимает определённые препараты и плодное яйцо выходит самостоятельно.
Хуже, когда при появлении кровянистых выделений врач назначает прогестерон и другие препараты для сохранения беременности и это препятствует эвакуации дефектного плодного яйца. В таких случаях вероятность хирургического прерывания беременности (чистки) возрастает.
После прерывания беременности с пустым плодным яйцом врач может порекомендовать подождать от одного до трёх менструальных циклов, прежде чем попытаться снова зачать ребёнка.
В большинстве случаев анэмбриония возникает случайно из-за дефектного зачатия и больше не повторяется. Если пустое плодное яйцо повторяется более двух раз подряд, паре необходимо обследование. Женщине нужно начать с обследования щитовидной железы. Щитовидная железа может вырабатывать антитела, которые проникают к эмбриону и приводят к его гибели.
Повторяющаяся анэмбриония может возникать из-за патологических сперматозоидов, поэтому мужчине обязательно нужно сделать спермограмму. После трёх потерь беременности паре рекомендуется также пройти генетическое консультирование.
Важно понимать, что вы ни в чём не виноваты и ничего не смогли бы сделать, чтобы не допустить эту потерю. Пустое плодное яйцо возникает спонтанно из-за неправильного деления клеток или некачественной яйцеклетки или сперматозоида. У такой беременности нет будущего, поэтому ваш организм отторгает её.
Вы потеряли желанного малыша из-за анэмбрионии? Вам тяжело справиться с душевной болью? Рекомендуем прочитать статью «Как пережить выкидыш или замершую беременность«, а также вы можете сохранить память о своём ребёнке, посетив «Страничку Памяти«.
При наступлении желанной беременности, все будущие мамы хотят достоверно убедиться в том, что плодное яйцо прикрепилось к стенке матки и формирование будущего младенца происходит нормально. Самым достоверным и удобным способом подтвердить положительный тест на беременность считается ультразвуковое исследование.
Несмотря на тот факт, что высокоточная тест-полоска, легкодоступная в аптечной сети, показывает наступление беременности, а квалифицированный акушер-гинеколог способен распознать симптомы «беременной матки», только итоговые данные УЗИ подтверждают факт гестации. Именно поэтому, в том случае, когда женщина считает, что ей удалось забеременеть, а на УЗИ не видно плодного яйца, будущие родители приходят в недоумение.
В связи с этим явлением у них возникает вопрос – может ли диагност не увидеть беременность на УЗИ? В нашей статье мы хотим предоставить информацию о том, на каком сроке задержки менструации возможно подтвердить завершение процесса зачатия, когда ультразвуковой сканер позволит врачу разглядеть эмбрион и можно ли на УЗИ не увидеть беременность.
Если тест на беременность оказался положительным, подтвердить это можно на ультразвуковом исследовании – диагностику осуществляют в коммерческом центре или в женской консультации. Важно знать, что немаловажную роль в получении достоверных результатов обследования играет аппаратура, имеющая высокий уровень разрешения и функциональных возможностей, а также квалификация специалиста.
До 9 акушерских недель для обследования беременных женщин используют два способа:
- Трансабдоминальный – через область передней брюшной стенки.
- Трансвагинальный – с помощью трансдьюсера, который вводят во влагалище.
До 5 недель сформированное плодное яйцо очень мало – его размер составляет всего около двух миллиметров. Результативным методом диагностики эмбрионального периода считается именно трансвагинальный – его высокочастотный датчик дает возможность максимально приблизиться к маточной полости и передать на экран монитора мельчайшие размеры исследуемых органов.
Методика обследования будущей мамы с помощью высокочастотных волн неинвазивная и абсолютно безвредная – она позволяет врачу безопасно наблюдать за развитием плода
За весь период гестации женщине выполняют не менее трех ультразвуковых сканирований. Сеанс исследования кратковременный, врач старается не задерживать датчик долго на одном месте, особенно в период формирования важнейших органов и систем будущего младенца.
Основной целью проведения УЗИ в эмбриональном периоде является подтверждение наступления беременности, особенно актуален этот вопрос в случае экстракорпорального оплодотворения. Перед врачом-диагностом ставится несколько задач:
- Подтверждение фиксации плодного яйца в матке.
- Исключение наличия новообразования в маточной полости, которое может «маскироваться» под беременность.
- Оценивание жизнеспособности эмбриона.
- Исключение внематочной беременности.
- Определение наличия второго плода.
- Изучение локализации плаценты и зародыша.
- Уточнение сроков гестации.
В гинекологической практике существует один важный момент, который должны знать все будущие мамочки: врач измеряет сроки периода беременности в акушерских неделях – от первого дня последней менструации.
Именно поэтому разница между реальным и акушерским сроком зачатия ребенка составляет две недели. У женщины репродуктивного возраста с нормальным менструальным циклом распознавание беременности при трансвагинальном исследовании происходит не позже пяти недель.
Если цикл нерегулярный – определение точного срока по месячным затруднительно.
Признаками жизнеспособной беременности являются следующие факторы, которые фиксирует ультразвуковой сканер:
- наличие различимых очертаний зародыша в яйце;
- прослушивание сердцебиения плода;
- фиксация малейших движений эмбриона.
У каждой женщины период вынашивания ребенка протекает индивидуально и точно сказать – сколько времени должно пройти, чтобы врач смог рассмотреть плод в виде точки и услышать ритм его сердца, очень сложно.
В акушерской практике существуют определенные нормативные сроки проведения ультразвуковой диагностики беременным женщинам. При этом учитывается, что трансвагинальное сканирование позволяет изучить происходящие изменения раньше трансабдоминального. Чтобы наши читатели смогли оценить качество этих методик, мы предоставляем сравнительную таблицу.
| Измерение (недель) | Вагинальное УЗИ | Поверхностное УЗИ |
| Диагностирование эктопической беременности (вне полости матки) | 4–5 | 5–6 |
| Срок визуализации эмбриона | 5 | 6 |
| Шевеление плода | 5–6 | 7–8 |
| Мониторинг сердечной деятельности | 5–6 | 6–7 |
Начало сокращений сердечной мышцы будущего малыша приходится на срок с 3 до 4 недель и уловить его возможно только с помощью трансдюсера (специального узкого вагинального датчика). Случается, что врач-узист не может ничего разглядеть в плодном яйце и рекомендует прийти на обследование через 7–14 дней.
Именно частота сокращений мышцы сердца эмбриона позволит врачу уточнить срок гестации:
- в 5 акушерских недель частота сердечных сокращений составляет до 85 уд/мин;
- в 6 – от 102 до 126;
- в 7 – от 127 до 149;
- в 8 – от 150 до 172;
- в 9 – 175.
Если в 7 акушерских недель в плодном яйце не будет наблюдаться параметров эмбриона и не будет прослушиваться сердечный ритм, ставится предварительный диагноз анэмбрионии – отсутствия эмбриона в плодном яйце. Однако и в этом случае женщине рекомендуется прийти на дополнительное УЗИ спустя еще 7 дней.
В норме плодное яйцо имеет овальную форму и темно-серый оттенок. Для полноценного наблюдения за формированием плода на УЗИ измеряют следующие показатели.
| Параметр (мм) | Акушерские недели | |||||
| 4 | 5 | 6 | 7 | 8 | 9 | |
| Внутренний контур диаметра плодного яйца | 10 | 18 | 22 | 24 | 30 | 33 |
| Величина копчико-теменного размера | 2–3 | 4–5 | 7–9 | 11–15 | 16–22 | 23–30 |
На отчетливую видимость плода на мониторе ультразвукового аппарата оказывают влияние многие факторы и, если эмбрион не видно, не стоит паниковать – следует подождать две недели и повторить исследование.
В начале беременности эмбрион напоминает букву «С», по мере его роста внешний вид изменяется – в 8 недель уже можно рассмотреть и голову, и выделенные конечности
Плодные оболочки формирующегося младенца производят особое вещество – хорионический гонадотропин человека, свидетельствующий о состоявшемся зачатии. В I триместре показатели количества этого протеина-гормона в циркулирующей крови женщины растут очень быстро – в первые недели его концентрация удваивается в течение каждых вторых суток.
На каком сроке прослушивается сердцебиение плода на УЗИ?
Контроль динамики роста уровня ХГЧ позволяет акушер-гинекологам сделать точный вывод о развитии беременности.
Если при оценивании количества данного биологически активного вещества, наблюдается возрастание его количества, врач с точной уверенностью подтверждает наступление и благополучное развитие беременности. Каждая женщина хочет узнать о наступлении беременности пораньше, однако точность результатов УЗИ на второй неделе задержки месячных очень невысокая – лучше подождать до пятой недели.
Если при положительных тестах ХГЧ (в случае, когда количественные итоговые данные анализов соответствуют предположительному сроку гестации) на УЗИ беременность не определяется, то нужно прийти на дополнительное обследование. Уровень ХГЧ более 1800 мЕД/мл соответствует третьей неделе беременности и, если ультразвуковой сканер не наблюдает в маточной полости плодное яйцо, врач предполагает развитие эктопической беременности.
Отсутствие роста показателей ХГЧ (отрицательный тест) может указывать на тот факт, что развитие эмбриона не происходит – либо он погиб, либо оплодотворения яйцеклетки в этом цикле не произошло.
Далеко не всем женщинам известно такое явление, как биохимическая беременность или преклинический спонтанный выкидыш.
В этом случае зачатие происходит, плодное яйцо прикрепляется к маточной стенке, однако при наступлении срока очередных месячных – беременность прерывается.
Следует также сделать акцент на тех ситуациях, когда на УЗИ беременность не видно, а тест положительный – особенное значение имеет мониторинг уровня ХГЧ, необходимо сдавать анализ крови несколько раз, с интервалом в несколько дней. Итоговые данные лабораторных исследований позволяют определить соответствие концентрации гормона норме и его повышение.
Практикующие специалисты советуют будущим родителям постараться не форсировать события, исключение возможно лишь тогда, когда необходимо как можно срочно подтвердить или опровергнуть наступившую беременность
В случае возникновения ситуации, когда врач-узист не может увидеть очертания эмбриона, а иногда и самого плодного яйца, необходимо постараться сохранить спокойствие и не поддаться на ложные убеждения! Это возможно в случае отсутствия гестации или ее срок очень мал, чтобы заметить на мониторе. Без наличия абсолютных доказательств прервавшей развитие беременности проводить выскабливание полости матки нельзя!
Следует обратиться в другую клинику и пройти обследование повторно – лучше это сделать на аппаратуре экспертного класса, обладающей высокой разрешающей способностью.
Также необходимо, чтобы УЗИ сопровождалось исследованиями крови на уровень ХГЧ. Возможно, обследование потребуется пройти несколько раз.
Когда наступает долгожданная беременность, оплодотворенная яйцеклетка опускается в маточную полость и прикрепляется к ее стенке. Таким образом, происходит развитие эмбриона, окруженного плодным яйцом.
Первый месяц, с даты произошедшего оплодотворения, эмбрион такой маленький, что визуализировать его очень сложно.
Именно поэтому первое УЗИ делают в 6-7 недель, чтобы можно было рассмотреть эмбрион и подтвердить наступление беременности.
Бывает, что женщина, которая увидела долгожданные две полосочки на тесте, приходит к врачу и слышит: «Плодное яйцо пустое, на УЗИ не видно эмбриона». Это явление имеет название анэмбриональная беременность.
Если беременной женщине ставят анэмбрионию, это означает что при росте уровня ХГЧ в составе крови в плодном яйце отсутствует эмбрион. Точно сказать сложно, на какой именно неделе специалисты смогут увидеть эмбрион на УЗИ. Этот срок колеблется от 5 до 9 недель, в зависимости от определенных факторов:
- Особенности организма каждой конкретной женщины.
- Правильность подсчета срока от даты зачатия.
- Какая именно беременность по счету. С каждой последующей беременностью вероятность выявить эмбрион раньше существенно растет.
Среднестатистически определено, что визуализация эмбриона осуществима в 7 недель от даты зачатия, при активном проходящем росте уровня ХГЧ в крови.
Однако, если даже на таком сроке специалисты не увидели эмбрион в плодном яйце, впадать в панику нужно только если остановился рост уровня ХГЧ или же он пошел на спад. Такая картина свидетельствует о том, что беременность замершая.
Однако, удостовериться в этом лишний раз не помешает, поэтому стоит перепроверить все у другого врача или же сделать УЗИ трансвагинально.
Женщине нужно обратиться к врачу, если через несколько недель после остановки роста уровня ХГЧ эмбрион не видно в плодном яйце даже при исследовании трансвагинально, при этом срок беременности близиться к девяти неделям. Остановка роста эмбриона и начало его разложения может сопровождаться такими сопутствующими симптомами:
- Беспричинный скачек температуры тела.
- Появление тошноты и рвоты.
- Постоянная слабость, мышечная боль.
- Боль внизу живота.
- Появление выделений с кровяными примесями или же открывшегося кровотечения.
Не стоит затягивать с визитом к врачу и откладывать процедуру выскабливания. Разложение эмбриона может грозить женщине появлением серьезных проблем со здоровьем.
В период ожидания появления на свет малыша женщина задается вопросом, на каком сроке эмбрион смогут рассмотреть на УЗИ? Во время диагностики на сроке 5-6 недель плодное яйцо в диаметре около семи миллиметров. На этом сроке в большинстве случаев врач уже визуализирует эмбрион. Примерно в это время также удается услышать, как бьется его сердечко.
При наличии регулярного цикла менструации в конце шестой недели должен быть виден эмбрион. Если на УЗИ не видно эмбриона, рекомендуется пройти повторное исследование через неделю, чтобы исключить все возможные отклонения.
Бывают также случаи, когда плодное яйцо находится за пределами матки. Во время УЗИ яйцо просматривается недостаточно хорошо, или его вовсе не видно. При этом биение сердца прослушивается вне стенок матки.
Бывают ситуации, что в процессе проведения УЗИ эмбрион не визуализируется внутри плодного яйца, а иногда и само плодное яйцо. Нужно, в первую очередь, постараться не паниковать. Может быть беременности и вовсе нет, или же произошла ошибка с подсчетом ее срока, поэтому еще сложно проводить диагностику.
Если замершая беременность точно не подтвердилась, не нужно спешить с проведением чистки. Сначала лучше пройти УЗИ еще раз, в другой клинике. Может быть возникнет необходимость проводить еще одно или несколько исследований. Оптимальный вариант – когда параллельно диагностике контролируют уровень ХГЧ в крови. Если беременность развивается без отклонений, то его уровень растет.
Это помогает специалистам исключить возможную замершую беременность.
Очень часто плодное яйцо без эмбриона диагностируют в полости матки у молодых и здоровых девушек. Почему не видно плод на УЗИ, и можно ли избежать замершей беременности?
Причин такого явления существует огромное множество. К этому могут привести инфекции различной этиологии, воздействие на организм токсических веществ и т.д.
Снизить к минимуму возможность того, что на УЗИ не будет видно эмбриона, можно, заранее планируя свою беременность, чтобы точно рассчитать гестационный срок. Также, нужно проходить обследования и перед тем, как планировать зачатие малыша, вылечить все имеющиеся инфекции.
Это особенно важно для женщин, которые планируют беременность в возрасте старше 35 лет. У этой категории значительно выше риск появления у плода хромосомных аномалий.
Отсутствие эмбриона в плодном яйце зачастую во время беременности не подает женщине никаких признаков. Могут появиться кровяные выделения в том случае, если начался выкидыш.
Даже гинеколог во время осмотра не сможет точно сказать, есть в плодном яйце эмбрион, или же оно пустое. Диагноз анэмбрионии может ставить только врач, который проводил ультразвуковое исследование на сроке не ранее 5-6 недель.
Крайне редко пациентке после УЗИ ставят неверный диагноз, поэтому при отсутствии эмбриона в плодном яйце необходимо проверить результат через неделю на другом оборудовании, если возникли сомнения в профессионализме врача или качестве аппарата УЗИ. Не исключена ошибка и по другим причинам: маленький срок беременности или поздно произошедшая овуляция, лишний вес женщины и гипертонус матки.
Если тест на беременность показывает две полоски, а на УЗИ эмбрион не визуализируется, причиной этому может быть:
- Некорректный расчет срока беременности с момента зачатия. Эмбрион может быть не видно потому, что женщина слишком рано проводит исследование.
- Ультразвуковую диагностику проводили на старом аппарате или же специалист не имел должного уровня квалификации.
- Исследование делали через живот, а не трансвагинально.
- У беременной случился выкидыш, а она не обратила на это внимания (перепутала его с началом месячных), при этом уровень ХГЧ в крови еще не снизился до прежнего значения.
Если на УЗИ не видно эмбриона в плодном яйце, не стоит сразу паниковать. По ряду причин диагноз анэмбрионии может быть ошибочно поставлен, поэтому необходимо контролировать уровень ХГЧ в крови и пройти диагностику еще раз.
10 октября, 2017 by anna
Поделиться:












