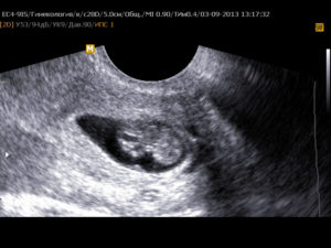
Если врач во время ультразвукового исследования сообщает, что видит в полости матки плодное яйцо — женщину можно поздравить, ведь через 9 месяцев она станет мамой. Установить наличие плодного яйца можно уже на 7-9 день задержки менструации.
Если плодное яйцо в матке – значит беременность нормальная, маточная. Специалист сразу же определит размер плодного яйца, его форму и расположение. Кроме этого, обратит особое внимание, не имеет ли место отслойка или другие патологические состояния.
Плодное яйцо – овальное или круглое тело диаметром в несколько миллиметров. Диаметр плодного яйца замеряется во время первого же УЗИ. Учитывая его размеры, специалист может установить срок беременности. Но в некоторых случаях погрешность в определении составляет 1-1,5 недели. Поэтому врач, пытаясь установить срок, учитывает также показатели копчико-теменного размера.
плодное яйцо выглядит как образование в виде шара или овала. Уже в 5-6 недель желточный мешок, который обеспечивает питание эмбриона и выполняет кроветворную функцию на ранних стадиях развития эмбриона, похож на пузырек внутри полости плодного яйца.
Размер плодного яйца на этой стадии беременности составляет от 1,5 до 2,5 сантиметров. Рассмотреть зародыш в это время уже можно. Он выглядит, как пятимиллиметровая полоска, расположенная рядом с желточным мешком. И хотя определить, где у зародыша какая структура и часть пока невозможно, сердцебиение уже регистрируется.
В это время сердечко крохи бьется с частотой 150-230 ударов в минуту.
К концу 7-й недели зародыш уже приобретает свою характерную форму в виде буквы С. В это время он уже открепился от поверхности плодного яйца. На УЗИ уже можно различить голову, туловище и крохотные зачатки ручек и ножек. В плодном яйце просматривается уже сформированная пуповина.
В норме форма плодного яйца – овальная или округлая. Если же оно приплюснуто с боков и похоже на фасолину, это может свидетельствовать о тонусе матки. Такое состояние должно отслеживаться врачом.
Если женщину ничего не беспокоит, то деформация не представляет угрозы состоявшейся беременности.
В случае повышенного тонуса матки врачи прописывают комплекс мер (постельный режим, прием лекарственных препаратов), чтобы снять гипертонус и вернуть плодному яйцу правильную форму. Этого можно добиться, расслабив мышцы женского детородного органа.
Но, если плодное яйцо имеет неправильную форму, а у женщины наблюдаются боли, выделения или симптомы раскрытия шейки матки, необходимо принятие срочных мер. В таких случаях женщину определяют в стационарное отделение больницы на сохранение.
Отслойкой плодного яйца называют начинающийся аборт. В таком случае наблюдается преждевременное отторжение плодного яйца от маточной стенки.
Важное примечание – при начинающемся самопроизвольном аборте очень большое значение имеет вовремя оказанная помощь, потому что, в большинстве случаев, беременность можно сохранить. Главное, делать все быстро и компетентно.
К причинам, вызывающим отслойку плодного яйца, относят дисфункцию яичников, различные заболевания женщины (опухоли, воспалительные процессы, инфекционные заболевания), недоразвитие половых органов будущей мамы, сильный токсикоз, чрезмерные физические нагрузки, стрессы. Но самой явной причиной отслойки плодного яйца является недостаток прогестерона, который часто называют гормоном беременности.
Если у беременной женщины проявляются признаки отслойки плодного яйца, она (или родственники) должны срочно вызвать скорую и позвонить акушеру-гинекологу, чтобы сообщить ему о случившемся. Пока бригада скорой помощи не приехала, женщина должна лечь, а ноги поднять кверху. Можно упереть их о стену или положить на спинку дивана.
Отслойка плодного яйца опасна тем, что может привести к аборту или замершей беременности. Поэтому при малейшем подозрении на отслойку, нужно обратиться за медицинской помощью.
На очень раннем сроке зародыша в плодном яйце еще не видно, и это норма. А вот с пяти недель эмбрион уже должен визуализироваться. В случае, если эмбриона не видно, через 1-2 недели назначают повторное исследование. Если же и на этот раз нет ни эмбриона, ни сердцебиения, говорят об анэмбрионие. В таком случае женщине необходимо сделать чистку.
Необходимо знать, что даже при пустом плодном яйце тест на определение беременности все-равно будет положительным. Это обусловлено тем, что в организме запустились определенные механизмы, в частности начал вырабатываться особый «беременный гормон» – человеческий хорионический гонадотропин.
Причиной отсутствия зародыша в плодном яйце, в большинстве случаев, является сбой на генетическом уровне. Также анэмбрионию может спровоцировать прием некоторых медицинских препаратов, которые строго-настрого запрещены во время беременности.
Если женщине поставлен диагноз «пустое плодное яйцо», который подтвердился в случае повторного ультразвукового исследования, то шансов на беременность в этот раз нет.
Тогда женщине проводят необходимые манипуляции, назначают лечение и отправляют на реабилитацию.
Многим женщинам необходима не только физическая, но и психологическая реабилитация, чтобы справиться с чувствами и эмоциями, возникшими в результате потери.
Следующую беременность советуют планировать минимум через шесть месяцев.
Специально для beremennost.net Ольга Ризак
Яйцом назвали оплодотворенную яйцеклетку потому, что по форме и структуре она повторяет строение стандартного яйца:
- оболочка;
- амниотическая жидкость;
- желточный мешок;
- зародыш.
Со временем яйцо преобразуется внутри матки. Внешняя оболочка, называемая хорионом, имеет ворсинки, которые служат ей для закрепления на слизистой маточной оболочке. Позже из хориона получается плацента.
Амниотическая жидкость (аналог яичного белка) – это питательная среда, которую вырабатывает амнион, то есть внутренняя оболочка плодного яйца.
Желточный мешок – это тот пищевой питательный запас, которым при наступлении беременности яйцеклетка кормит будущего эмбриона. Он соединяется с зародышем в районе пуповины, и через маленький каналец передает питательные вещества зиготе.
Пока же можно только рассмотреть на УЗИ, как внешне выглядит плодное яйцо.
| Измерение/Способ | Трансабдоминально | Трансвагинально |
| Диагностика маточной беременности, недель | 5–6 | 4–5 |
| Визуализация эмбриона, недель | 6 | 5 |
| Движения эмбриона, недель | 7–8 | 5–6 |
| Сердечная деятельность, недель | 6–7 | 5–6 |
В том случае, если у женщины регулярный менструальный цикл, то при трансвагинальном УЗИ распознавание эмбриона происходит не позднее 6 недель. Если же цикл непостоянный, то определить точный срок по месячным нельзя.
Сердечная мышца эмбриона начинает сокращаться с 3 недель и 4 дней. Уловить стук сердца лучше с помощью вагинального датчика. Иногда бывает, что на этом сроке ничего в яйце не видят, тогда рекомендуют прийти еще одно УЗИ примерно через неделю, а то и две. Частота сердечных сокращений (ЧСС) позволит уточнить срок беременности.
| Недели | ЧСС, уд./мин. |
| 5 | 80–85 |
| 6 | 102–126 |
| 7 | 127–149 |
| 8 | 150–172 |
| 9 | 175 |
Если через неделю, в 6–7 акушерских недель по-прежнемув яйце ничего не будет просматриваться и прослушиваться, то врачи поставят предварительный диагноз — анэмбриония. Однако и в этом случае гинекологи советуют не спешить и пройти дополнительное обследование несколько позже, ещё через неделю, особенно при нерегулярном цикле.
Зарождаясь в фолликуле, созревшая яйцеклетка проходит по трубе матки. Это время называется овуляцией. После того, как ее оплодотворит сперматозоид, она начинает делиться, становясь сначала зиготой, затем морула, а после – зародыш.
На первой неделе плодное яйцо имеет совсем небольшой размер. Оно движется по маточной трубе, чтобы закрепиться на стенке при помощи ворсинок внешней оболочки. В течение первых двух дней яйцо закрепляется, а матка закрывает доступ к нему при помощи слизистой пробки.
Так организм оберегает будущего ребенка от внешних инфекций.
Бывает так, что зародыш не смог прикрепиться по какой-то причине. Тогда с очередной менструацией он выйдет из полости. Очень часто женщине даже невдомек, что она была в шаге от беременности.
Если же зародышу удалось твердо укрепиться, его внешняя оболочка начинает выпускать в кровь будущей мамы хорионический гонадотропный гормон (ХГЧ), останавливающий менструации.
Срок, когда в плодном яйце появляется эмбрион, это третья неделя с момента оплодотворения. В это время он похож еще не на ребенка, а скорее напоминает просто полосочку в центре яйца.
А для того, чтобы рассмотреть само плодное яйцо, должно пройти целых 5 недель. Иначе говоря, если случилась задержка по причине беременности, то через неделю примерно можно отправиться на УЗИ, чтобы попытаться разглядеть зарождающуюся новую жизнь.
Самый ранний срок, когда можно достоверно увидеть беременность на УЗИ, – пятая неделя.
Хороший врач на качественной аппаратуре сможет рассмотреть плодное яйцо, эмбрион в нем (он будет выглядеть как маленькая темная полоска длиной 3-5 мм), околоплодные воды; измерить его, оценить форму и прослушать сердцебиение эмбриона. Многоплодную беременность с уверенностью можно будет увидеть на более поздних сроках – примерно на 8-9 неделе.
Если врач не может увидеть плодное яйцо УЗИ и нет других признаков, например утолщения слизистого слоя стенок матки, это может означать, что либо оплодотворения не произошло, либо срок еще слишком маленький. Но также отсутствие яйца в матке может означать, что оно прикрепилось в маточной трубе или где-либо еще, а внематочная беременность опасна для жизни женщины.
Причин для деформации может быть много. Самая частая – тонус матки. При отсутствии болевых, тянущих ощущений в животе и пояснице, кровянистых выделений и раскрытия шейки матки это состояние не является опасным – при расслаблении мышц плодное яйцо примет правильную форму.
Но если изменение формы сопровождается такими неблагоприятными симптомами, это означает непосредственную угрозу выкидыша и требует немедленного принятия мер.
Во многих случаях своевременная терапия может сохранить беременность и позволит женщине выносить и родить здорового ребенка.
Но может случиться и так, что деформация вызвана гибелью эмбриона (замершая беременность), анэмбрионией (отсутствием эмбриона в яйце) или опухолью, развившейся на хорионическом слое яйца. Такие опухоли бывают доброкачественные и злокачественные и ведут к гибели зародыша. В таких случаях женщине делают чистку и отправляют на реабилитацию.
В случае подозрений на патологию назначается повторное исследование с целью подтвердить или опровергнуть сомнения. Лучше всего пройти обследование у другого врача, так как ошибки на таком раннем сроке беременности случаются часто – по невнимательности врача, из-за некачественного оборудования либо из-за неправильно проведенной диагностики.
Также придется пройти УЗИ еще раз в том случае, если по каким-то причинам на первом обследовании не удалось прослушать сердцебиение эмбриона или срок не позволяет различить зародыш.
Делать УЗИ каждые 2-3 дня нежелательно, достаточно повторного исследования через 1-2 недели. Раньше этого срока ультразвуковое обследование назначают только при обоснованных подозрениях на внематочную беременность.
В начале четвертой недели наступает то время, когда видно плодное яйцо на УЗИ. Правда, оно имеет совсем небольшой размер, всего 1 мм диаметром, зато обладает огромным потенциалом. При таком размере рассмотреть, как происходит развитие будущего ребеночка, никак нельзя, потому что размер эмбриона слишком мал.
Следующее обследование проводят через три недели после первичного. За этот срок происходят интересные метаморфозы с плодным яйцом. Если в начале четвертой недели оно было диаметром 1 мм, то уже через два дня утроит размер. К концу недели диаметр оболочки достигнет 5 мм, а у эмбриона начнут закладываться:
- сердце;
- легкие;
- печень;
- поджелудочная железа.
Сам эмбриончик будет длиной 1 мм.
Если УЗИ показало, что размер плодного яйца 7 мм, определить, какой это срок, несложно. Учитывая, что к первому дню 5-й недели оно вырастает до 6 мм, скорее всего, это будет середина пятой акушерской недели.
Для диагностики беременности традиционно используют два вида УЗИ: трансвагинальное и трансабдоминальное.
В 4-9 недель чаще применяется трансвагинальное (внутреннее) сканирование, оно оказывается более информативным. При таком ультразвуке датчик вводят во влагалище пациентки: поскольку сканер располагается ближе к матке, изображение выходит более четким. В этом случае разглядеть эмбрион в матке будущей мамочки реально уже в 4-5 недель, когда диаметр плодного яйца всего 2-4 мм.
Если ранний ультразвук не видит плодное яйцо, определить беременность можно и по некоторым другим признакам. Прежде всего это изменение строения матки: стенки утолщаются и уплотняются. В такой ситуации врач назначает повторное УЗИ через 7-14 дней.
Молодых мам пугают странные аббревиатуры, которыми пользуются врачи. Кажется, что они что-то скрывают, прячась за непонятными сокращениями, когда общаются между собой. Не всякая женщина решится спросить, что такое СВД на УЗИ при беременности: она больше думает о том, что с ребеночком, чем старается запомнить сочетание букв.
Если врач во время ультразвукового исследования сообщает, что видит в полости матки плодное яйцо — женщину можно поздравить, ведь через 9 месяцев она станет мамой. Установить наличие плодного яйца можно уже на 7-9 день задержки менструации.
Если плодное яйцо в матке – значит беременность нормальная, маточная. Специалист сразу же определит размер плодного яйца, его форму и расположение
Кроме этого, обратит особое внимание, не имеет ли место отслойка или другие патологические состояния
Исходя из прикрепления хориона относительно внутреннего зева предлежание бывает:
- Полным – состояние, при котором хорион полностью перекрывает внутренний зев. В последующем это перейдет в предлежание плаценты.
- Неполным — характеризуется перекрыванием части маточного зева. Если ворсинчатая оболочка выходит до трети, то это называют краевое предлежание.
- Низким – хорион расположен на расстоянии 3 см и менее от зева, но не перекрывает его.
Предлежание хориона на 12 неделе не является окончательным вердиктом. По мере роста матки и плода может происходить его миграция, и состояние придет в норму. Более благоприятный прогноз отмечается для заднего расположения хориона и предлежания по передней стенке.
Полное перекрытие хорионом маточного зева – опасный вид патологии, который угрожает массивными кровотечениями.
Чаще всего патологию обнаруживают во время УЗИ.
Кровянистые выделения также могут быть спровоцированы предлежанием, особенно, если незадолго до этого имели место горячая ванна, сауна, половой акт. В таком случае нужно срочно обратиться к врачу.
Патология опасна:
- преждевременным выкидышем;
- маточным кровотечением;
- внутриутробной гибелью ребенка.
Хронические кровопотери приводят к развитию анемии и гипоксии плода. При сохранении полного перекрытия зева роды естественным путем невозможны.
Частичное предлежание хориона без кровотечения не требует госпитализации. Выделение любого количества крови является показанием для лечения в больнице.
Искусственно изменить расположение ворсинчатой оболочки нельзя, поэтому основная задача, которая стоит перед врачами – это сохранение беременности. В стационаре создается лечебно-охранительный режим:
- Женщина находится в спокойной обстановке, соблюдает постельный режим;
- Ограничиваются физические нагрузки;
- Обеспечивается сбалансированное питание с исключением закрепляющих или расслабляющих стул продуктов.
Медикаментозное лечение заключается в следующем:
- Свечи с Папаверином, таблетки Дротаверина для снятия тонуса матки;
- Витамины;
- Препараты железа, например, Тотема, Мальтофер — для профилактики или лечения анемии.
При наличии кровотечения дополнительно применяют кровоостанавливающий препарат Этамзилат натрия. В начале терапии его вводят внутривенно или внутримышечно. Потом возможен переход к таблеткам.
Массивное кровотечение, не поддающееся лечению консервативными способами, является показанием к прерыванию беременности.
После выписки из стационара в домашних условиях необходимо придерживаться размеренного образа жизни, исключить стрессы и повышенные нагрузки. Запрещено заниматься сексом, т.к. это может вызвать новое кровотечение и выкидыш.
Предлежание хориона на 8-14 неделе может трансформироваться в нормальное расположение плаценты или сохраниться в виде низкой плацентации.
Если предлежание не исчезло, а перешло в аномалии расположения плаценты, то к моменту родов ребенок может находиться в матке поперечно или ягодицами к низу. В таких случаях, чтобы снизить риск, рекомендуется провести роды через кесарево сечение.
Женщинам следует заботиться о своем репродуктивном здоровье как можно раньше:
Следует избегать переохлаждений, своевременно лечить воспалительные заболевания половой сферы. Не прибегать к абортам, это не метод планирования семьи.
Важно правильно и полноценно питаться, вести размеренный образ жизни.
Если соблюдать эти несложные правила, не придется знакомиться с патологиями на личном опыте.
Юлия Шевченко, акушер-гинеколог, специально для Mirmam.pro
Жизнедеятельность эмбриона (плода) в первом триместре оценивается по сердечной и двигательной активности.
В норме при трансвагинальном УЗИ сердечная деятельность у эмбриона регистрируется с 5-6 недель беременности. При этом наблюдается правильный ритм сердечных сокращений.
Частота сердечных сокращений (ЧСС) эмбриона при неосложненном течении беременности постепенно возрастает с 110-130 ударов в минуту в 6-8 недель до 190 ударов в минуту в 9-10 недель, после чего снижается до 140-160 и остается на этом уровне до родов.
Величина ЧСС у эмбриона в первом триместре важна для прогнозирования течения беременности. Так, уменьшение ЧСС до 85-100 ударов в минуту и увеличение свыше 200 являются неблагоприятными прогностическими признаками и указывают на высокую вероятность прерывания беременности.
Отсутствие визуализации сердечных сокращений при КТР эмбриона больше 8 мм является признаком неразвивающейся беременности. Для окончательного подтверждения неразвивающейся беременности обязательно проведение контрольного УЗИ через неделю, по итогам которого ставится окончательный диагноз.
Двигательная активность эмбриона определяется с 7-8 недель беременности. В начале это слабые, единичные, едва различимые движения. Затем — сгибания и разгибания туловища. После этого, по мере роста и развития эмбриона, появляются движения конечностей
Но следует обратить внимание, что эпизоды двигательной активности могут сменяться длительными промежутками покоя, поэтому регистрация сердечных сокращений является более важным критерием оценки жизнедеятельности эмбриона
Список сообщений топика «Толщина хориона в 11-12 недель?Утолщение плохо?» форума Беременность > Беременность
Пришла на прием к своему врачу.Врач говорит,что такая толщина хориона может оказаться воспалением плаценты. Но вероятно,что Воеводин просто описАлся. Сделела узи сама,посмотрела,д «да,он просто описался,14мм (или12,5 забыла) толщина хориона,все в порядке.
Пришла домой,посмотрела двд с узи Воеводина.22 мм толшина совершенно спокойным и ровным голосом сообщает он.
После узи ,он сказал ,что все отлично у меня.
И чего. Я что то в шоке. у меня плацентит? он ошибся? я сошла с ума? прав мой врач?
Может у кого был такой опыт с утолщение хориона?
При проведении УЗИ органов малого таза оцениваются размеры матки и яичников, а также наличие патологических изменений (миомы матки — доброкачественной опухоли матки, кист и опухолевых заболеваний яичников) и врожденных пороков развития (седловидной матки, двурогой матки, удвоения матки, перегородки в полости матки и др.). Наиболее неблагоприятна ситуация, при которой плацента расположена над миоматозным узлом. При этом существует высокий риск преждевременной отслойки плаценты.
В настоящее время все большую популярность приобретает трехмерное ультразвуковое исследование, при котором получается «объемная картинка». Трехмерный ультразвук позволяет на более ранних сроках диагностировать некоторые пороки развития (например, пороки лица: заячью губу и т.п.).
Но ЗD-сканирование — это более длительное исследование, и, к сожалению, не всегда удается получить необходимое изображение. Да и опыта по трехмерному ультразвуковому исследованию накоплено пока недостаточно.
Итак, ультразвуковое исследование плода и органов малого таза в первом триместре беременности является одним из важнейших и незаменимых методов диагностики, позволяющим оценить развитие беременности с самых ранних сроков и выбрать правильную тактику ее ведения.
Возможно, врач не сможет определить фактор, который сыграл решающую роль в неправильном расположении плаценты. Чаще всего причинами предлежания являются:
1 Врожденные аномалии строения матки, рубцы и изъяны ее стенки, которые возникают из-за предшествующих хирургических операций, кесарева сечения или частых воспалительных процессов.
2 Чаще возникает предлежание у женщин, имеющих большое количество детей, или у тех, которые сталкивались с этой проблемой при предыдущей беременности.
3 Возраст женщины более 35 лет также является фактором риска, вероятность предлежания плаценты увеличивается, если женщина имеет вредные привычки (особенно опасно курение).
Будущая мать должна осознавать, что в случае предлежания плаценты она должна быть более осторожной и внимательной. Скорее всего, некоторое время придется провести в стационаре
Врач порекомендует лечь в больницу, если наблюдаются периодические кровотечения, даже незначительные. Также госпитализация нужна на поздних сроках, ближе к моменту родов.
Этот диагноз не может быть устранен путем лечения. Если плацента сама не изменит свое расположение в течение беременности, то никакие внешние факторы не смогут на него повлиять.
Все препараты, которые назначаются женщине при предлежании, призваны устранять осложнения (например, останавливать кровотечение), или поддерживать состояние матери и ее ребенка (часто рекомендуются поливитамины, которые могут снизить риск снижения темпов развития).
Женщина в течение всей беременности должна соблюдать более щадящий режим дня, больше отдыхать, избегать физические и психические нагрузки, которые могут спровоцировать кровотечение. Нередко запрещаются и половые контакты. При появлении кровотечения рекомендован постельный режим.
Если придерживаться рекомендаций врача, риск выкидыша, преждевременных родов и гибели ребенка значительно снижается. Поэтому беременная должна помнить о своей ответственности и стараться сделать все, чтобы малыш родился живым и здоровым.
Прочитано 13674 раз
Статьи из рубрики
- КТР плода по неделям беременности: таблица
- Диета для беременных по триместрам
- Вес плода по неделям беременности: нормы и таблицы
- Как растет живот при беременности: фото по неделям
- Беременность по неделям: от зачатия до родов
- Как определить пол ребенка до УЗИ: лучшие способы
с друзьями
среда, апреля 8, 2015 — 14:08
Иногда на УЗИ обнаруживается, что плодное яйцо имеет деформированную форму.
Не всегда такой диагноз свидетельствует о ненормальном протекании беременности и развитии плода. Только совместно с дополнительными факторами это может стать показанием к аборту. Кроме того, все зависит непосредственно от вида деформации.
Основная причина развития деформации плодного яйца заключается в повышенном тонусе матки. Происходит существенное сокращение стенок по различным причинам: стресс, наличие инфекций или воспалительных процессов, гормональный дисбаланс, заболевания внутренних органов и т.д.
Для устранения патологии применяются средства, способствующие расслаблению мышц матки (магний, магнезия и т.д.). Также важно полностью прекратить половую жизнь, избегать физических нагрузок и стрессовых ситуаций. Пациентке прописывается полупостельный режим и полный покой. Такие меры дают возможность сохранить беременность при условии, если сердцебиение плода прослушивается.
Помимо деформации плодного яйца, возможно развитие каких-либо аномалий. Многие из них способны спровоцировать выкидыш или замирание плода. Наиболее часто встречаемые аномалии представлены ниже.
1. Если в плодном яйце два эмбриона, то это скорее не аномалия, а норма для развития двойни. Размеры эмбрионов могут отличаться друг от друга. Разница в несколько миллиметров чаще всего характерна для монохориальной двойни. Однако на раннем сроке нельзя точно установить будут ли дети близнецами или двойняшкам.
2. Плодное яйцо маленького размера. Данная патология диагностируется методом сравнения срока беременности и величиной плодного яйца. Такие исследования помогают определить правильность развития плода в матке.
В данном случае целесообразно назначить пациентке анализ крови на содержание гормонов.
3. Если плодное яйцо больше эмбриона, то беременность может быть замершей. Также беременность может быть анэмбриональной.
Характерны все признаки наступившей беременности, формируются оболочки плода, но эмбрион отсутствует.
Диагностировать аномалии возможно только на УЗИ исследовании плодного яйца не позднее 6-7 недель после зачатия. В данном случае очень важно установить точный срок беременности.
4. Вытянутая форма плодного яйца. В норме плодное яйцо должно быть округлой формы. Вытянутые контуры могут сигнализировать о возможной потере ребенка. Причина чаще всего кроется в гипертонусе матки. Важно вовремя диагностировать деформацию и принять меры по снижению тонуса с помощью спазмолитиков.
Спасти плод можно, если он продолжает развиваться и прослушивается сердцебиение. Пациентке необходимо прекратить половую жизнь, свести к минимуму физическую активность и избегать эмоциональных потрясений. При наличии данной патологии назначается полный постельный режим.
УЗИ проводят каждые несколько дней для отслеживания изменений в плодном яйце.
6. Смерть плода внутри утробы. Диагностируется методом выслушивания сердцебиения с помощью ультразвука. Причиной могут быть воспалительные процессы в организме матери, наличие инфекций, поздний токсикоз, предлежание или отслойка плаценты, сахарный диабет, пиелонефрит, пневмония, грипп, многоводие или маловодие, интоксикация вредными веществами.
Подобные диагнозы обычно ставят на самых ранних сроках беременности, что дает возможность контролировать процесс. Таким образом, есть много шансов сохранить беременность и родить ребенка.
Отдельного внимания заслуживает аномалия, когда в плодном яйце нет эмбриона. Эта патология возникает достаточно редко.
Сначала подтверждается беременность с помощью теста или анализа, но на УЗИ обнаруживается, что в плодном яйце отсутствует эмбрион. Данное явление называют синдромом пустого яйца. Ситуация схожа с аномалией слишком большого плодного яйца: оболочки формируются, а вот эмбриона нет.
Патология подтверждается только с помощью УЗИ исследования не ранее 6-7 недель. Бывают случаи ошибочного диагноза, так как на раннем сроке эмбрион может не визуализироваться на мониторе аппарата.
При постановке такого диагноза нужно пройти обследование у нескольких специалистов на разных аппаратах. Если все-таки подтверждается отсутствие эмбриона, то назначается выскабливание. Процедура проводится с применением общего наркоза.
Невозможно назвать точные причины отсутствия имплантации эмбриона, но наиболее вероятно, что данная проблема связана с такими факторами:
- генетические нарушения;
- наличие каких-либо инфекций;
- гормональный дисбаланс;
- курение, употребление наркотиков и алкоголя.
Бактериальный или вирусный инфекционный процесс в начале беременности может оказать негативное влияние на эмбрион, в результате чего развивается патология.
Также спровоцировать возникновение патологии способно воздействие токсических веществ или радиации.Чтобы установить точную причину, обоим партнерам необходимо пройти полное обследование. Сдача анализов на наличие ИППП, спермограммы и изучение кариотипа являются обязательными исследованиями в данной ситуации.
Бывают случаи, когда подобная беременность развивается у совершенно здоровой пары. Тогда шансы выносить здорового ребенка в последующую беременность резко повышаются. Однако перед планированием важно сделать перерыв (около шести месяцев) и дать организму возможность отдохнуть и восстановиться.
kurs-na-dvojnyu.ru · 12.10.2019
Каждая будущая мама двойни или тройни ощущает себя особенной. Это невероятное чувство, когда ты знаешь о том, что внутри тебя бьется несколько крохотных сердечек.
Двойня на ранних сроках беременности незаметна постороннему взгляду. Но внутри мамы в это время происходят самые важные процессы. Организм женщины полностью перестаивается под будущих деток. А у зародышей формируются органы и скелет.
Этой статье мы расскажем о том, какие есть симптомы многоплодной беременности до задержки месячных и как выглядит и чувствует себя двойня на ранних сроках беременности.
Внешне двойня на ранних сроках беременности не отличается от одного плода. Но заподозрить, что вы носите под сердцем двух детей, можно уже в первый месяц после зачатия.
Есть ряд симптомов беременности двойней на ранних сроках, которые могут косвенно указать на это. Они связаны с ощущениями мамы при беременности двойней. Симптомы могут появиться у женщин еще до задержки месячных.
Одна из причин тянущих болей внизу живота — тонус матки. При многоплодной беременности это частое явление. Ведь матка растягивается очень быстро, чтобы дать необходимое пространство для эмбрионов. Орган работает на пределе возможностей и женщина ощущает тянущие или покалывающие боли в животе, как при месячных.
Это частое явление у женщин в «интересном положении». Причина запора – прогестерон. Гормон подготавливает женский организм к зачатию. А после создает условия для развития зародышей.
Но тот же гормон нарушает перистальтику кишечника, что приводит к запорам. При естественной многоплодной беременности прогестерон вырабатывается больше (по верхней границе нормы или выше).
Поэтому запоры возникают чаще.
Прогестерон при двойне может быть в пределах нормы, идти по верхней границе или быть повышенным.
Прогестерон заставляет меняться молочные железы, подготавливая их к лактации. Этот процесс начинается с первого месяца беременности. Женщина замечает, что грудь наливается или побаливает.
При здоровой многоплодной беременности прогестерон вырабатывается больше нормы. Поэтому процессы в молочной железе происходят быстрее.
Ощущения в груди будущая мама может заметить уже в первую неделю после зачатия.
Врачи начинают отсчет беременности с первого дня последних месячных. Овуляция и возможность зачатия происходит в середине цикла, то есть примерно на 8-18 день, в зависимости от длины цикла.
Первые 2 недели беременности — женщина не беременна!
Получается, что первые 2, а то и 3 недели женщина вообще не беременна. Хотя формально эти дни тоже приписывают к беременности. Эту систему отсчета называют акушерским сроком.
Реальный возраст зародышей на 2 недели меньше. Но во всем мире за основу принят именно акушерский срок, т.к.
Овуляция — это момент созревания женской яйцеклетки. Только в период овуляции можно забеременеть. Это происходит примерно в середине цикла. Посмотрите на таблицу и отсчитайте нужное количество дней от первого дня вашей последней менструации. Например, при продолжительности цикла 28 дней овуляция наступит на 12-16 день от начала последних месячных.
Во время овуляции полностью созревшая яйцеклетка готова встретиться со сперматозоидом. В некоторых случаях в организме женщины созревает несколько яйцеклеток. Каждая из них потенциально готова в будущем превратится в зародыша.
Природа придумала 2 варианта зарождения двойни
Есть другой вариант. Яйцеклетка одна, но после оплодотворения она расщепляется на две или три идентичные части. Они будут развиваться самостоятельно и станут эмбрионами. Так происходит в организме женщины при естественном зачатии двойни или тройни.
В течение недели после слияния сперматозоида и яйцеклетки, будущие зародыши продвигаются по трубам в полость матки. Там они закрепляются и продолжают свое развитие.
При ЭКО женщина принимает препараты, стимулирующие развитие яйцеклеток. Их извлекают и оплодотворяют искусственно. На 2-3 неделе месячного цикла их подсаживают обратно будущей маме. Проходит еще 2 недели. И, если зародыши закрепились на стенке матки, в этот момент начинается настоящая беременность.
На 2 акушерский месяц происходит активное развитие эмбрионов. У них закладываются все внутренние органы и нервные клетки.
Стук сердца слышен с 5 недели
Одним из первых появляется сердце. В начале 5 акушерской недели оно начинает самопроизвольно сокращаться. У эмбрионов появляется своя группа крови. Развивается мышечная система, малыши уже могут непроизвольно двигаться. К концу 2 месяца (8 акушерская неделя) зародыши еще очень маленькие, около 1,5 см.
Эмбрионы начинают походить на маленьких людей. Голова растет очень быстро и занимает треть длины плода. Активно развивается мозг. За 1 минуту в нем формируется 2,5 миллиона нервных клеток. К моменту рождения их будет 100 миллиардов.
С 12 акушерской недели зародышей называют плодами. К концу 3 месяца малыши выросли до 5-6 см.
Таблица размеров плода в 1 триместре. В первые 12 недель у двойни и тройни обычно нет отставания от показаний по размерам.
В случае разнояйцевой двойни эта борьба не слишком жестокая. У каждого малыша образовалась своя плацента, и питание поступает обособлено.
У однояйцевых близнецов все серьезней. Их объединяет одна плацента, которая является поставщиком питательных веществ. При этом один ребенок может «объедать» другого.
Не редко акушеры ставят разные сроки развития плодов. Например, один малыш развит по норме. А второй отстает на 1-2 недели. На последних сроках разница в развитии у двойни может достигать 4 недель.
При первом осмотре в 4-6 недель гинеколог не сможет определить количество плодов. Это видно на УЗИ только с 8 акушерской недели беременности (при условии хорошего аппарата у врача). До этого срока невозможно точно сказать многоплодная у вас беременность или нет.
Фото УЗИ двойни на ранних сроках беременности, 8 недель
В 8 акушерских недель (или 6 недель от момента зачатия) обычно используют трансвагинальный способ УЗИ. Аппарат вводят внутрь, чтобы лучше разглядеть эмбрионы. На мониторе видны два или три темных пятна. Врач измеряет длину зародышей и фиксирует несколько сердцебиений.
Фото беременности двойней на ранних сроках, 12 недель
УЗИ многоплодная беременность, четверняшки, 12-13 недель
В 12 — 14 недель все беременные проходят первый скрининг. Женщин, ожидающих двойню или тройню, отправляют на исследования как можно раньше. На 10-11 акушерской неделе.
УЗИ проводят скрининговым методом. То есть аппарат водят по животу, чтобы не повредить зародыши. На этом сроке уже видно количество плацент и плодных пузырей.
В 10-12 недель врач может определить вид беременности:
Дихориальная – диамниотическая (ди-ди) — каждый плод находится в своем мешочке (амнионе), у каждого своя отдельная плацента.
Монохориальная – диамниотическа (моно-ди) — у детей одна плацента на всех. Но они разделены друг от друга, так как у каждого зародыша свой плодный пузырь.
Монохориальная – моноамниотическая (моно-моно) — одна плацента и один плодный пузырь на всех. Дети не отделены друг от друга.
Двойня на ранних сроках беременности, 16 недель
Второе скрининговое УЗИ проводят с 18 по 20 неделю. При многоплодной беременности женщине могут назначить исследование уже на 16 акушерской неделе. На этом сроке виден пол будущих детей.
В первом триместре все эмбрионы растут примерно с одинаковой скоростью, без отставания от норм развития. Начиная с 4 месяца плодам может не хватать свободного места в животе матери, а также питательных элементов. Поэтому во 2 и 3 триместрах беременности двойняшки часто отстают от норм развития своих сверстников.
При рождении разнояйцовых двойняшек один ребенок почти всегда весит больше другого. Это зависит от эффективности плаценты, которая помогала питаться каждому из детей.
Близнецы, у которых одна плацента на двоих, также рождаются с разным весом. Это зависит от того, кто смог получить больше питательных веществ от матери во время беременности.
Диагноз пустое плодное яйцо без эмбриона не редкость, он ставится в 5-10% случаев. Самым неприятным является то, что шансы выявить его причины минимальны. Чтобы запланированная беременность увенчалась успехом специалисты рекомендуют принимать мультивитаминные комплексы и вести здоровый образ жизни.
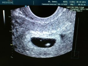
Так на УЗИ выглядит пустое плодное яйцо.
Пустое плодное яйцо – это по сути беременность, которая не начала развиваться. Процесс развития прекратился еще до этапа формирования эмбриона. Причин такого нарушения достаточно много.
Любые негативные изменения в организме женщины могут его спровоцировать.
При постановке диагноза анэмбриония следует немедленно принять необходимые меры, так как это влечет за собой неизбежную гибель плода.
Среди основных причин пустого плодного яйца выделяют:
- Генетические нарушения.
- Инфекционные заболевания.
- Внешние факторы (состояние окружающей среды).
- Неправильный режим питания.
- Недостаток витаминов.
То есть в каждой конкретной ситуации определить причину образования пустого плодного яйца крайне сложно.
Генетические нарушения начинаются на первоначальном этапе деления клеток и влекут за собой последующие ошибки. Это может быть формирование лишних хромосом либо наоборот, их неполного набора.
В таком случае превращение яйца в эмбрион не происходит, организм женщины это понимает и начинает его отторгать.
По статистике из 100 женщин у 5-10 нет эмбриона в плодном яйце.
На первоначальном этапе пустая беременность заметна не будет. Ее невозможно определить даже с помощью гинекологического осмотра.
Нарушения становятся видимыми уже на самой крайней стадии, когда организм начинает отторгать плод.
На данном этапе наблюдаются боли внизу живота, коричневые выделения из влагалища и резкий запах — и это уже признаки плодного яйца без эмбриона который организм начал отвергать.
Контроль динамики показателя ХГЧ – один из способов определения пустого плодного яйца. Значения ХГЧ будут меняться, но значительно меньше, чем при нормальном течении беременности. Также возможен вариант, когда значения показателя ХГЧ стоят на месте – это основной признак существования проблем с развитием плода.
Обязательно посмотрите это полезное видео:
Симптомы пустой беременности не отличаются от обычной: это задержка менструации, проявления токсикоза, постоянное чувство усталости.
На ранних сроках крайне сложно выявить пустое плодное яйцо. Так как размеры эмбриона очень малы и его можно просто не заметить. Только по прошествии 5 недель, появляется возможность определить отсутствие плода.
Только на шестой неделе беременности пустое плодное яйцо можно диагностировать с помощью УЗИ. Оно проводится в любом случае, чтобы определить месторасположение плода, а также исключить внематочную беременность.
Такой страшный диагноз, как анэмбриония женщина может услышать даже если чувствует себя хорошо и у нее нет никаких симптомов.
Первый триместр беременности это наиболее важное время формирования плода, на данном этапе будущей маме стоит особо тщательно следить за своим здоровьем, так как угроза выкидыша очень высока.
Если у женщины обнаружено пустое плодное яйцо без эмбриона потребуется сделать медицинскую коррекцию (очищение матки).
Если был поставлен такой неутешительный диагноз, нужно будет сделать коррекцию. Медицинская коррекция возможна с помощью двух способов.
Это наиболее распространенный вариант коррекции. Такой способ позволяет почистить полость матки без последствий. При хирургическом вмешательстве используется общая анестезия. Операция проходит очень быстро от 10 до 25 минут. Доктор должен выскоблить маточный слой и пустое плодное яйцо. Уже через пару часов женщина может отправляться домой.
Аборт с применением специальных препаратов может быть использован, если срок беременности составляет меньше 6 недель. Женщина принимает лекарство и ждет когда начнутся схватки. Это больно. Вся процедура происходит в больнице под контролем врача. После того, как из матки выйдет все лишнее, женщина должна провести в больнице пару дней до того, как закончится кровотечение.
Чтобы уточнить причину нарушения развития беременности материал, полученный из матки в процессе чистки, отправляют на гистологическое исследование. Такое исследование должно выяснить причины прекращения развития эмбриона и когда именно он прекратил свое развитие.
https://youtube.com/watch?v=a1tn40cT5js
После аборта нужно делать УЗИ.
При завершении любого из двух методов аборта нужно сделать УЗИ. Таким образом, можно удостовериться, что матка чистая и в ней не остались частички плодного яйца.
Стоит заранее договориться с акушером-гинекологом, который будет вас консультировать на протяжении всей беременности. Важно понимать, что единичный случай пустого плодного яйца – это еще не приговор.
Это абсолютно не означает, что у кого-то из партнеров существуют нарушения в репродуктивной системе.
Главное не расстраиваться и продолжать попытки забеременеть (после анэмбрионии за продолжение рода можно браться через полгода), тогда все обязательно получится.
Не забывайте писать комментарии. Расскажите о своем опыте, задавайте вопросы. Делитесь этой статьей в своих социальных сетях. Не забывайте ставить оценку. Спасибо за посещение.
Поделиться:















