
Люди всегда относились к кошкам с особой нежностью. Эти животные очень милые, и играть с ними одно удовольствие. И у каждой кошки наступает момент, когда она готовится произвести на свет потомство.
Период вынашивания проходит спокойно, и кошке не требуется помощь хозяев. Однако, чтобы владелец не был удивлен при появлении котят в доме, нужно знать, как определить беременность кошки.
Некоторым кошкам все же понадобиться помощь, да и при беременности следует уделять более тщательное внимание домашнему питомцу, чтобы роды и послеродовой период прошли легко, без проблем.
Люди, у которых впервые в доме появилось животное, не смогут самостоятельно распознать, как определить беременность кошки. Признаки беременности имеют некоторые особенности. Помимо различных рекомендаций владельцу следует стать внимательнее к своему питомцу, чтобы как можно раньше выявить беременность или другие изменения в здоровье кошки для оказания своевременной помощи.
Чтобы владелец не был удивлен при появлении котят в доме, нужно знать, как определить беременность кошки
Как известно, после случки кошки с котом, наступление беременности отмечается не всегда. Иногда признаки наступившего оплодотворения могут быть ложными вследствие гормональных изменений в организме животного. Поэтому необходимо разобраться, как определить беременность кошки на ранних сроках.
Иногда признаки наступившего оплодотворения могут быть ложными вследствие гормональных изменений
Признаки изменения поведения кошки:
- в первую очередь следует проследить за животным внимательно: если после полового акта у питомца не наблюдается течка, это может означать наступление беременности, если в течение 24 часов течка не прекращается – оплодотворения нет;
- в период вынашивания котят у кошки изменяется характер поведения, некоторые постоянно просятся на руки, хотят, чтобы их гладили, очень любят спать около хозяев, у некоторых кошек, отмечается внезапное ухудшение аппетита, они становятся слишком спокойными, возможна рвота;
Такое поведение домашней любимицы проявляется в самом начале, однако говорить наверняка о беременности еще рано. Можно только предположить о том, что с организмом кошки происходят изменения.
В период вынашивания котят у кошки может измениться аппетит
В домашних условиях хозяевам в основном удается определить беременность кошки не ранее, как через 3-4 недели после оплодотворения. В данный период необходимо прощупать живот, но только очень осторожно, без чрезмерного давления, иначе при наличии беременности можно принести вред будущему потомству. Проводят самостоятельный осмотр только с помощью подушечек пальцев.
Если после полового акта у питомца не наблюдается течка, это может означать наступление беременности
Через месяц после случки у кошки начинают происходить изменения в сосках –их оттенок становится выраженно розовым, значительно увеличиваются в размерах. При кормлении кошка также будет вести себя иначе – аппетит возрастает, продукты, которые любила ранее, может не воспринимать, появляется охота питаться определенной едой.
[/attention][/attention][/attention]
В начале шестой недели периода беременности у кошки можно прощупать котят. Если беременность первая, количество потомства обычно меньше, чем у повторнородящей.
При наступлении 7 – 8 недели становится видно шевеление котят в животе кошки. В этот период можно ощупать котят и определить их головку и тело, а также ощутить стук их сердечка.
Укромный уголок для родов кошки
Перед окотом за 4 – 5 дней кошка становится более беспокойной в своем поведении, связано это с поиском удобного места для родов. Обычно животное редко попадается на глаза, потому что, для предстоящих родов ей понадобиться наиболее укромный уголок в доме.
Важно! Желательно в этот период подыскать хорошее место, иначе все может произойти на вашей кровати, либо даже в шкафу с одеждой.
Наиболее явными признаками скорого приплода (за 2-3 дня) являются чрезмерно набухшие соски и выделение молозива из них, появляется скудная слизистая жидкость из вульвы.
Ультразвуковое обследование – самое точное подтверждение наличия беременности у кошки
На заметку! За один день перед появлением на свет котят кошка сидит в своем уголке, а это значит начало подготовки к родам. В это время не следует мешать кошке или доставать ее и брать на руки.
Самое точное подтверждение наличия беременности у кошки – это ультразвуковая диагностика, но даже этот метод эффективен только через 1-2 недели после случки животного. Однако начало изменений в поведении домашнего питомца – это повод показать его ветеринару, чтобы удостовериться в отсутствии болезней либо в присутствующей беременности.
У кошек возможность к оплодотворению появляется после наступления половой зрелости. Первые 6 месяцев кошка считается котенком, о беременности которого можно еще не задумываться. Но чтобы в дальнейшем определить беременность у кошки, ее сроки, нужно ознакомиться с таким понятием, как течка у животного.
Течка у кошки – это начало половой зрелости
Течка у кошки – это начало половой зрелости, следовательно, период, когда кошка впервые может забеременеть. Для владельца это станет сигналом о способности животного к оплодотворению, после спаривания с котом.
Некоторые особенности наступления и течения беременности:
- в течение года течка у кошки может возникать 2-3 раза;
- в период течки домашняя любимица очень сильно меняется в поведении: падает на пол и начинает тереться животом, спиной, при этом мяукает, не переставая, может тереться об людей, иногда делает метки по дому;
В период течки домашняя любимица очень сильно меняется в поведении
- в начале течки, 1 и 2 день, у кошки теряется аппетит, мяуканье становится громким и интенсивным, однако при встрече с котом в эти дни кошка может его не подпускать к себе, а вот после первых дней течки кошка будет к случке;
- довольно редко встречается беременная кошка после начала первой течки, обычно оплодотворение наступает вследствие нескольких встреч с противоположным полом;
Если у владельца возникает потребность стерилизовать питомицу, то следует помнить, что данную процедуру лучше проводить у кошки после беременности, первой или вторичной, не имеет значения, главное, знать, как правильно определить момент половой зрелости и только затем обращаться к специалисту.
Первое, о чем стоит помнить, так это время, с которого начинается отсчет беременности – с момента случки и оплодотворения и по завершению этого периода родами. Средняя продолжительность периода вынашивания котят занимает от 62 до 68 дней. В случаях преждевременных родов котята появляются мертвыми.
Но это относится не ко всем породам кошек, так отмечены случаи, когда сиамские представители производили на свет потомство на 71 день беременности, и котята были живыми и вполне здоровыми.
Для исключения различных инфекционных болезней животное лучше не выпускать из дома на весь срок беременности. Следует исключить общение с котами, чтобы не произошло новой случки, иначе котята могут умереть в утробе.
В дневной рацион следует включить полезные продукты с усиленным питанием, например, гречку
Если нет острой необходимости, не кормить кошку медикаментозными препаратами. В дневной рацион следует включить полезные продукты с усиленным питанием, например, гречку, рис, желток куриного яйца. Это будет полезно как для кошки, так и для будущих котят.
Включите рис в рационе кошки перед родами
Подобрать уютный угол для будущих родов желательно в теплом месте, без сквозняков и холода.
Важно! Если у кошки начались признаки, не характерные для беременности, следует незамедлительно обратиться в ветеринарную клинику для обследования животного.
Если начальный период беременности упущен по невнимательности владельца, следует знать, как определить начало родовой деятельности у кошки.
Большинство кошек не требует помощи при появлении котят
Животное за несколько дней перед окотом может полностью перестать питаться, поведение становится довольно нервное. В этот период можно заметить, как опускается живот, вытекают воды, оттенок которых серый с красной примесью. Родовая деятельность может длиться около суток.
Большинство кошек не требует помощи при появлении котят, они способны сами с помощью зубов перегрызть пуповину. Однако не все животные одинаковы, поэтому некоторые кошки просят помощи у хозяев.
Некоторым кошкам все же понадобиться помощь, да и при беременности следует уделять более тщательное внимание домашнему питомцу
В послеродовой период животному следует помочь восстановиться, проявляя заботу. Стоит обрабатывать молочные железы во избежание попадания бактерий.
фото с сайта: zayvesta.ru
Продолжительность беременности у кошек индивидуальна – срок вынашивания новой жизни зависит от породы вашей питомицы или особенностей ее организма, его готовности к серьезным переменам. В этой статье мы подробно рассмотрим каждый этап формирования и развития плода и дадим календарь, который поможет определить, что необходимо для будущей мамы в определенный период.
Определить «интересное» положение можно уже на третьей неделе – именно в это время у самки набухают и меняют свой цвет соски, а также может начаться токсикоз. Среди других признаков зарождения и постепенного развития эмбриона – улучшившийся аппетит будущей кормилицы, сонливость и отказ от активных игр.
Точно ответить на этот вопрос очень трудно – на срок влияют многие факторы. Это и родословная кошечки, и количество котят, которых она вынашивает в себе. Чем их больше, тем меньше вам придется ждать – малыши появятся на свет уже через 58 дней.
Как правило, кошачья беременность длится от 58 до 72 дней. При этом:
- У короткошерстных пород сроки чуть меньше, чем у длинношерстных – от 58 до 68 суток.
- Самки персов, бирманцев и британцев, от природы щедро одаренных густой шерсткой, носят детенышей 62-72 дня.
фото с сайта: puzyatka.ru
Чересчур короткий срок, как и слишком долгий – повод для беспокойства. О патологии можно говорить, если беременность кошки длится гораздо меньше 58 дней. Задержка родов на неделю допустима, однако если котята не появляются на свет спустя несколько недель после возможной даты, следует обратиться к врачу.
В эту пору волнений для роженицы и ее хозяев важно оградить кошку от стрессов и внимательно следить за ее самочувствием. Необходимо полностью исключить риск выкидыша.
Его возможные причины:
- Вирусные инфекции – такие как панлейкопения или ринотрахеит.
- Бактериальные заболевания – вызванные сальмонеллой или кишечной палочкой.
- Неправильное положение плода в материнской утробе, его деформация или патологические изменения в размерах.
- Недоразвитость таза по причине незрелости кошки.
- Сильные боли и общее ослабление организма.
- Генетические патологии плода.
- Отсутствие или недостаток таурина, поступающего в организм с пищей.
фото с сайта: www.syl.ru
О произошедшем выкидыше говорят следующие признаки:
- Живот кошки не увеличивается, в некоторых случаях резко уменьшается в объемах (на поздних сроках).
- Животное отказывается от еды и питья.
- Хозяин может обнаружить следы плода или плаценты.
- Возникают гнойные или кровянистые выделения из половых органов.
- Температура тела роженицы увеличивается, начинается лихорадка.
Чтобы не допустить такого развития событий, необходимо ограничить активность кошки в период вынашивания плода. Многие беременные питомицы продолжают бурную деятельность: прыгают и играют с прежним азартом даже на поздних сроках.
Следите за тем, чтобы подобная активность не нанесла вреда здоровью животного.
Показывать самочку ветеринарному врачу нужно регулярно – его осмотры и проведенные анализы помогут выявить инфекции или заболевания (если они есть), влияющие на правильное развитие детеныша.
фото с сайта: ladyzest.com
Кошка вынашивает плод около 2 месяцев. Важно окружить ее вниманием и заботой, ведь этот непростой для нее период – еще и время необычайной чувствительности животного к внешним раздражителям и болезням.
https://youtube.com/watch?v=GHVGU1r60uw
Для того чтобы беременность прошла без проблем, и на свет появились здоровые котята, необходимо:
- Не давать кошке запрыгивать на высокие предметы – это повышает риск выкидыша.
- Обеспечить полноценное питание 4-5 раз в сутки (при этом не позволяя животному переедать). В рационе должны быть продукты, содержащие кальций, белок, витамины и микроэлементы в полном объеме. С четвертой недели надо увеличить количество протеиновой пищи в меню будущей мамы.
- Исключить из рациона мясо в сыром виде – оно может послужить источником глистов.
- При запорах предложить животному свекольное пюре.
- Окружить питомицу теплом и заботой и найти ей укромное место для отдыха – подальше от источников шума.
Важно
В случае истощения кошки после перенесенной болезни необходимо добавить к корму (натуральному или сухому) витаминно-минеральные добавки. Делать это следует, предварительно посоветовавшись с врачом.
фото с сайта: www.syl.ru
Срок, в течение которого происходит вынашивание плода – около 9 недель или 63 дней. У представительниц некоторых пород он увеличивается и составляет до 72 суток. Как правило, это длинношерстные кошки – персидские, бирманские, британские и т. д.
Процесс развития новой жизни отражается на поведении домашней любимицы. Она становится более спокойной, больше отдыхает и спит. Нередко у нее проявляется токсикоз – явление индивидуальное и не указывающее на произошедшие нарушения. На третьей неделе соски меняют свой цвет, а на шестой из них может выделяться молозиво – знак того, что кошка готова выкармливать своих детенышей.
Еще одна характерная особенность – увеличение живота, связанное с постепенным растяжением матки. Течка может прекратиться, а может и продолжаться.
[/attention][/attention][/attention]
Это объясняется повышением внутрибрюшного давления, вызванного появлением плода (часто не одного, а нескольких котят).
- Нулевая – отсчитывается с момента зачатия. Овуляция происходит через 20-30 часов после успешной вязки. Первые признаки «интересного» положения можно наблюдать чуть позже.
фото с сайта: kotyata.net
- 1-3 – активность будущей мамы снижается, зато возрастает аппетит. Может появиться рвота – она возникает из-за растяжения матки и изменений в гормональном фоне. Соски становятся ярко-розовыми и заметно увеличиваются.
фото с сайта: vashipitomcy.ru
- 4-6 – на этом сроке плод прибавляет в размерах, эмбрионы становятся ощутимы при пальпации, производимой ветеринарным врачом. Живот начинает расти (особенно если в нем развиваются не один, а несколько котят). К 35-м суткам матку начинает постепенно наполнять жидкость. Определить количество малышей можно, проведя УЗИ.
фото с сайта: kot-pes.com
- 7-9 – котята начинают шевелиться. Поведение их мамы меняется – она заметно беспокоится, ищет тихое, укромное место для обустройства уютного и теплого гнезда. В этот период у вульвы могут скапливаться незначительные выделения белого цвета. За 3-4 дня до появления детенышей на свет кошка начинает волноваться больше обычного, всюду следует за своим хозяином. Температура тела может упасть, появляется предродовая слабость.
фото с сайта: kot-pes.com
Для того чтобы понять, на каком сроке ваша питомица, необходимо знать дату зачатия. Ответить на этот вопрос точно может только ветеринар на 21 день после оплодотворения.
В это же время возможно проведение первых исследований – ультразвуковой диагностики – и пальпации.
Трогать живот роженицы самостоятельно не рекомендуется – вы можете по неосторожности причинить вред эмбриону и будущей маме.
Многих владельцев беспокоит вопрос беременности кошек. Некоторые боятся этого периода и предстоящих родов. На самом деле беспокоиться не о чем. В данной статье будут рассмотрены все необходимые моменты интересного положения питомца.
Если хозяева сознательно занялись разведением, то у них не возникнет проблем с определением беременности на ранних сроках. На что стоит обратить внимание:
- по прошествии двух недель после вязки у кошки повышается аппетит;
- происходит постепенный набор веса;
- соски становятся более темными и увеличиваются в размерах;
- токсикоз встречается редко, но тоже бывает. Питомца может начать рвать, появляется понос;
- более агрессивное поведение.
Беременность — ответственный период в жизни животного
К сведению! Если кот и беременная кошка живут вместе, самец может начать проявлять дополнительные знаки внимания к своей избраннице, постоянно охранять ее.
Беременность кошки по неделям в среднем длится от 10 до 17. Однако данные показатели являются относительными, поскольку животные, так же, как и люди, могут вынашивать плод дольше или, наоборот, меньше.
Сколько длится беременность у кошек: продолжительность
Однако недоношенность и поздние роды могут привести к неприятным последствиям. Если котята родятся раньше, чем на 10-ой неделе, с большой долей вероятности они окажутся нежизнеспособными. Если же срок вынашивания превышает 17 недель, это уже может грозить здоровью самой кошки. В данном случае ей может потребоваться медицинская помощь, чтобы благополучно родить.
Следует помнить, что будущей пушистой маме в период беременности также требуется врачебное обследование:
- чтобы оценить общее физическое состояние животного;
- рассчитать календарь беременности кошки;
- выяснить количество котят;
- определить, есть ли необходимость во врачебной помощи при родах. В редких случаях даже назначается кесарево.
Важно! Если у хозяина есть возможность, то будет лучше, если весь период беременности будет проходить под наблюдением специалиста, так же, как и у людей.
УЗИ
Постепенно увеличивающийся животик многих владельцев заставляет нервничать и беспокоиться. Для большего спокойствия можно вести календарь до родов кошки. Однако данный метод подходит для тех, кто приблизительно или точно знает момент зачатия.
Выделения у беременной у кошки: кровяные, желтого цвета
Беременность определяется и существенно проявляется уже на 16-18 день. Животик постепенно растет, соски набухают и становятся более темными. У будущей мамы увеличивается аппетит, что несомненно сказывается и на весе.
Однако это лишь визуальные признаки, которые мало что могут сказать владельцу. Определить, когда родит кошка, может помочь калькулятор беременности. Такие программы имеются в Интернете и достаточно просты в использовании. Однако хозяину также потребуется информация о дне вязки.
Важно! Более точный срок, если отсутствует информация о зачатии, сможет подсказать только врач ветеринар.
Как передается токсоплазмоз от кошки к человеку
Развитие плода, стадии чаще всего обозначаются в неделях, а на ранних сроках используются дни. Ниже более подробно рассматривается внутриутробное развитие с самых первых дней.
Развитие по неделям
Клетки эмбриона делятся, но свободно перемещаются по матке. Прикрепление к стенке происходит только спустя 7-10 дней после зачатия. Данный процесс называется имплантацией и с него начинается отсчет. Интернет-калькулятор родов кошки данный период также учитывает.
Происходит формирование плаценты. Уже на 15-е сутки ее формирование завершается, и она способна питать и защищать эмбрион. Размеры будущего котенка еще очень малы. Внешне он похож букву С, но даже в таком виде можно найти очертания будущих головы и хвостика.
К сведению! В это время появляются первые признаки беременности у кошки. Будущая мама становится более капризной, привередливой, может подолгу прятаться в тихом темном месте.
Плодное яйцо увеличивается до размера 15-20 мм. В данный момент эмбрион кошки с трудом отличается от других млекопитающих. Начинается постепенное развитие внутренних органов, в том числе мозга и сердца.
Важно! УЗИ на данном этапе показывает биение сердца порядка 230 уд./мин.
К концу 28 дня у малыша начинают формироваться лапки, подушечки, коготки. Поведение кошки в этот период не меняется. Возможно появление токсикоза.
На 5-6 неделе постепенно формируются органы чувств. Как известно, у кошачьих хорошо развиты слух и чувство равновесия. Также на этом этапе происходит постепенная подготовка к отращиванию усов, появляются еще мягкие когти.
На этом же этапе развиваются нервная система и мышцы. Ребенок начинает активно шевелиться и толкать маму-кошку. Большинство специалистов склонно считать, что в это время заканчивается формироваться психика, поэтому стоит уделить большое внимание психологическому комфорту беременной кошки.
На рентгене хорошо просматриваются кости и позвоночник. Шерсть уже полностью сформирована. В целом на 50-й день котята уже готовы к рождению, но данный момент также зависит от породы.
Так, например, прямоухий британский кот, бенгальский, мейн-кун, шотландский вислоухий растут чуть медленнее, чем другие представители семейства кошачьих и, соответственно, живут дольше. По этой причине не стоит подгонять под единые рамки сроки беременности сфинксов и «британок».
Мать-кошка постепенно начинает готовиться к родам. Организм проявляет первые симптомы, вроде пробных схваток. Хозяину следует внимательно следить за поведением, так как в предродовом состоянии питомец ищет укромное место. Важно также не создавать питомцу стрессовых ситуаций и хорошо кормить.
https://youtube.com/watch?v=SnwchGBy5ws
Развитый плод
К этому времени появляются на свет уже те котята, которые относятся к поздним породам. Поведение кошки в указанный период становится более спокойным. Будущая мама ожидает рождение малышей в определенном месте, почти не покидая своей лежанки.
Хозяева могут приобрести или смастерить для кошки специальный домик. Главное, чтобы он был теплым и закрытым от посторонних глаз.
Для большинства кошек, которые не относятся к определенным породам, 13-я неделя — это уже превышение нормы. Дальнейшее вынашивание может привести к развитию чрезмерно крупного плода, что при родах способно нанести вред.
Важно! Если срок уже явно превышает установленный, лучше обратиться за помощью к врачу.
Специалист может назначить УЗИ почти в любой момент беременности, если состояние животного вызывает сомнения. На ранних сроках владелец может обратиться к ветеринару, чтобы подтвердить или опровергнуть наличие беременности.
Дальше отслеживается развитие плода, устанавливается количество будущих котят. В любом случае посещение ветеринарной клиники рекомендовано как в профилактических целях, так и при возникновении ощущений тревоги за состояние своего любимца.
Плановое УЗИ
При беременности у кошечек могут наблюдаться следующие патологии:
- маточная грыжа;
- отслоение плаценты, которое выявляется только на УЗИ;
- многоводие;
- гибель плодов в утробе матери.
После родов кошка не требует какого-то специального ухода. Убедившись, что с питомцем и новорожденными котятами все в порядке, человеку стоит оставить их в покое и тишине. Самка в состоянии самостоятельно отгрызть пуповину и вылизать своих малышей.
Единственным важным нюансом, касающимся ухода, является то, что в последующем лежанку необходимо будет периодически менять. А на протяжении определенного времени рядом с молодой мамой должны стоять вода и корм (влажный или легко усваиваемый).
Для человека кошачьи роды не являются чем-то сложным или страшным. В большинстве случаев животное само знает, что делать и как себя вести. Главное, беременную кошку хорошо кормить и обеспечить ей покой.
Хозяевам, которые обладают пушистой дамой, необходимо решить вопрос, будут ли они разводить её потомство. Этот вопрос очень серьёзный, поскольку кошки – это живые существа, и если котята окажутся никому не нужными, то за их жизнь будут отвечать именно владельцы.
И это не единственный трудный вопрос. Да, в первую очередь, необходимо найти новое жильё для маленьких питомцев, но на этом не всё.
Стоит рассмотреть ещё другие вопросы: в состоянии ли ваша пушистая дама рождать здоровых детей? Каков её возраст? Подходящее ли у неё здоровье? Какой образ жизни она ведёт? Сможете ли вы заботиться и обеспечивать свою кошку на протяжении всей беременности и после родов?
Если всё же вопрос решён и хозяева питомца, будут разводить очаровательных малышей, тогда перед преступлением к вязке, необходимо хорошенько изучить историю беременности.
Обычно беременность от самого оплодотворения до родов, длится у кошек примерно 62 дня. Но это также зависит и от породы, например, сиамская кошка, вынашивает малышей немного дольше.
Точно так же, как и у людей, у животных нет определённой даты родов. По этой причине владельцы должны рассчитывать, что рождение котят может произойти как раньше назначенного срока, так и позже.
Смотрите точный срок беременности у кошек.
Кликабельно Таблица продолжительности беременности кошки, в основном это 65 дней
Ниже, вы узнаете, что происходит в каждом периоде беременности кошки.
Первая неделя после спаривания самки с самцом проходит бесследно. Оплодотворённая яйцеклетка никак себя не выдаёт, поэтому хозяева не сразу смогут понять получилось ли забеременеть кошке или нет.
Но именно в эту первую неделю, если сперма доходит до яйцеклетки, то оплодотворяет её. Далее, начинает движение оплодотворённая яйцеклетка, двигаться она будет в свой дом на ближайшее время – матку.
Удивительно, но если кошку в одинаковый период зачатия, спаривать с разными котами, то она может вынашивать детей от разных котов.
На второй неделе (от восьмого и до четырнадцатого дня) движущиеся яйцеклетки достигают матки. После чего они погружаются в неё, и начинается процесс формирования котят.
Следующие две недели (от четырнадцатого дня и до двадцати седьмого) зачатые эмбрионы вступают в процесс развития органов.
По этим причинам у кошки резко меняется гормональный фон, что может сказаться на её настроении, аппетите и сне. Также по внешнему виду уже можно будет распознать, что кошка беременна.
Поскольку её соски опускаются ниже (опухают) и могут быть как тёмного, так и розового цвета.
Именно в эту третью и четвёртую неделю беременности кошка может почувствовать рвотные рефлексы, поэтому будет отказываться даже от самой любимой пищи. Может быть и рвота, поэтому необходимо очень тщательно наблюдать за животным, ведь если она очень частая и кошка себя совсем плохо чувствует, то необходимо показать её ветеринару.
Примерно на 4 месяце беременности опытный врач может уже прощупать в брюхе питомца малышей, однако, это лучше всего сделать с помощью УЗИ. Именно в этот период кошечку следует тщательно оберегать и хорошо заботиться о ней. Ни в коем случае не поднимайте кошку, поскольку вы можете придавить котят. Особенно в этом вопросе необходимо проконсультировать своих детей.
На пятой неделе, если вы не узнали, что ваша кошка беременна самое время показать её врачу. С помощью пальпации или УЗИ доктор скажет вам, есть ли беременность, как она протекает и сколько котят вынашивает будущая мама.
Начиная с шестой недели беременности (от тридцати пяти дней до сорока двух) можно увидеть шевеление котят, которые в утробе, конечно, если ваша самка не слишком пушистая.
Именно в этот период её самочувствие должно налаживаться, поэтому может проснуться хороший аппетит.
Не отказывайте беременной ни в чём! Сколько она хочет есть, столько и давайте, помня о том, что она кормит не только себя, но и будущее потомство. При этом пища должна быть качественная и сбалансированная.
В период следующей недели даже посторонним невозможно будет не заметить, что ваша дама беременна. Поскольку кругленький животик вряд ли спрячешь.
С наступлением пятидесятого дня после зачатия (восьмая неделя) кошка начинает тщательно ухаживать за собой. Её соски становятся ещё больше, выпуклее и розовее. В этот период кошка может сильно линять, во время вынашивания детёнышей – это нормально. Таким образом, кошка как бы готовится к родам. После рождения котят, шерсть обязательно отрастёт.
С наступлением этой недели, аппетит кошки может уменьшиться, поскольку быстрорастущие котята заслоняют всё пространство в животике своей мамы (и сильно не перекармливайте кошку, так как котята могут перерасти и кошке будет тяжело рожать). Чем ближе к родам, тем больше вероятности, что самка начинает искать место для родов. Заметив, что-то странное в её поведении, попробуйте поставить коробку или корзинку, в которую поместите стерильную мягкую ткань.
В этот период можно очень легко прощупать наличие малышей в утробе кошки. А также выделение молока из сосков кошки, свидетельствует о том, что организм уже готовиться к рождению нового потомства. Вы легко сможете увидеть это, поскольку очень часто оно подсыхает на кончиках сосков.
Начинаются ответственные моменты! Приближаясь к девятой неделе (от 56 до 62 дней) у вашей кошки могут наблюдаться красноватые выделения из влагалища. В этом нет ничего страшного. Поскольку котята становятся всё больше и больше, то роды могут начаться в любой момент. Смотрите также беременность и роды британской кошки.
В принципе, по поведению будущей мамы, можно заметить начало родов, поскольку она:
- может чувствовать беспокойство;
- не отходить от своих хозяев;
- без причины мяукать;
- затаиваться в своём гнёздышке для родов.
Есть некоторые породы, которые донашивают детей до десятой недели. Если же она наступила, а кошка не порадовала вас ещё своими котятами, тогда будьте начеку, роды вот-вот начнутся. Но, если же время идёт, а роды не наступают, то следует срочно проконсультироваться со специалистом!
Как самостоятельно определить беременность кошки, видео инструкция

Люди всегда относились к кошкам с особой нежностью. Эти животные очень милые, и играть с ними одно удовольствие. И у каждой кошки наступает момент, когда она готовится произвести на свет потомство.
Период вынашивания проходит спокойно, и кошке не требуется помощь хозяев. Однако, чтобы владелец не был удивлен при появлении котят в доме, нужно знать, как определить беременность кошки.
Некоторым кошкам все же понадобиться помощь, да и при беременности следует уделять более тщательное внимание домашнему питомцу, чтобы роды и послеродовой период прошли легко, без проблем.
Люди, у которых впервые в доме появилось животное, не смогут самостоятельно распознать, как определить беременность кошки. Признаки беременности имеют некоторые особенности. Помимо различных рекомендаций владельцу следует стать внимательнее к своему питомцу, чтобы как можно раньше выявить беременность или другие изменения в здоровье кошки для оказания своевременной помощи.
Чтобы владелец не был удивлен при появлении котят в доме, нужно знать, как определить беременность кошки
Как изменяется состояние кошки во время беременности?
Как известно, после случки кошки с котом, наступление беременности отмечается не всегда. Иногда признаки наступившего оплодотворения могут быть ложными вследствие гормональных изменений в организме животного. Поэтому необходимо разобраться, как определить беременность кошки на ранних сроках.
Иногда признаки наступившего оплодотворения могут быть ложными вследствие гормональных изменений
Признаки изменения поведения кошки:
- в первую очередь следует проследить за животным внимательно: если после полового акта у питомца не наблюдается течка, это может означать наступление беременности, если в течение 24 часов течка не прекращается – оплодотворения нет;
- в период вынашивания котят у кошки изменяется характер поведения, некоторые постоянно просятся на руки, хотят, чтобы их гладили, очень любят спать около хозяев, у некоторых кошек, отмечается внезапное ухудшение аппетита, они становятся слишком спокойными, возможна рвота;
Такое поведение домашней любимицы проявляется в самом начале, однако говорить наверняка о беременности еще рано. Можно только предположить о том, что с организмом кошки происходят изменения.
В период вынашивания котят у кошки может измениться аппетит
В домашних условиях хозяевам в основном удается определить беременность кошки не ранее, как через 3-4 недели после оплодотворения. В данный период необходимо прощупать живот, но только очень осторожно, без чрезмерного давления, иначе при наличии беременности можно принести вред будущему потомству. Проводят самостоятельный осмотр только с помощью подушечек пальцев.
Если после полового акта у питомца не наблюдается течка, это может означать наступление беременности
Через месяц после случки у кошки начинают происходить изменения в сосках –их оттенок становится выраженно розовым, значительно увеличиваются в размерах. При кормлении кошка также будет вести себя иначе – аппетит возрастает, продукты, которые любила ранее, может не воспринимать, появляется охота питаться определенной едой.
[/attention][/attention][/attention]
В начале шестой недели периода беременности у кошки можно прощупать котят. Если беременность первая, количество потомства обычно меньше, чем у повторнородящей.
При наступлении 7 – 8 недели становится видно шевеление котят в животе кошки. В этот период можно ощупать котят и определить их головку и тело, а также ощутить стук их сердечка.
Укромный уголок для родов кошки
Перед окотом за 4 – 5 дней кошка становится более беспокойной в своем поведении, связано это с поиском удобного места для родов. Обычно животное редко попадается на глаза, потому что, для предстоящих родов ей понадобиться наиболее укромный уголок в доме.
Важно! Желательно в этот период подыскать хорошее место, иначе все может произойти на вашей кровати, либо даже в шкафу с одеждой.
Наиболее явными признаками скорого приплода (за 2-3 дня) являются чрезмерно набухшие соски и выделение молозива из них, появляется скудная слизистая жидкость из вульвы.
Ультразвуковое обследование – самое точное подтверждение наличия беременности у кошки
На заметку! За один день перед появлением на свет котят кошка сидит в своем уголке, а это значит начало подготовки к родам. В это время не следует мешать кошке или доставать ее и брать на руки.
Самое точное подтверждение наличия беременности у кошки – это ультразвуковая диагностика, но даже этот метод эффективен только через 1-2 недели после случки животного. Однако начало изменений в поведении домашнего питомца – это повод показать его ветеринару, чтобы удостовериться в отсутствии болезней либо в присутствующей беременности.
Особенности течения беременности
У кошек возможность к оплодотворению появляется после наступления половой зрелости. Первые 6 месяцев кошка считается котенком, о беременности которого можно еще не задумываться. Но чтобы в дальнейшем определить беременность у кошки, ее сроки, нужно ознакомиться с таким понятием, как течка у животного.
Течка у кошки – это начало половой зрелости
Течка у кошки – это начало половой зрелости, следовательно, период, когда кошка впервые может забеременеть. Для владельца это станет сигналом о способности животного к оплодотворению, после спаривания с котом.
Некоторые особенности наступления и течения беременности:
- в течение года течка у кошки может возникать 2-3 раза;
- в период течки домашняя любимица очень сильно меняется в поведении: падает на пол и начинает тереться животом, спиной, при этом мяукает, не переставая, может тереться об людей, иногда делает метки по дому;
В период течки домашняя любимица очень сильно меняется в поведении
- в начале течки, 1 и 2 день, у кошки теряется аппетит, мяуканье становится громким и интенсивным, однако при встрече с котом в эти дни кошка может его не подпускать к себе, а вот после первых дней течки кошка будет к случке;
- довольно редко встречается беременная кошка после начала первой течки, обычно оплодотворение наступает вследствие нескольких встреч с противоположным полом;
Если у владельца возникает потребность стерилизовать питомицу, то следует помнить, что данную процедуру лучше проводить у кошки после беременности, первой или вторичной, не имеет значения, главное, знать, как правильно определить момент половой зрелости и только затем обращаться к специалисту.
Сколько длится период беременности у кошек?
Первое, о чем стоит помнить, так это время, с которого начинается отсчет беременности – с момента случки и оплодотворения и по завершению этого периода родами. Средняя продолжительность периода вынашивания котят занимает от 62 до 68 дней. В случаях преждевременных родов котята появляются мертвыми.
Но это относится не ко всем породам кошек, так отмечены случаи, когда сиамские представители производили на свет потомство на 71 день беременности, и котята были живыми и вполне здоровыми.
Как нужно обращаться с кошкой во время беременности?
Для исключения различных инфекционных болезней животное лучше не выпускать из дома на весь срок беременности. Следует исключить общение с котами, чтобы не произошло новой случки, иначе котята могут умереть в утробе.
В дневной рацион следует включить полезные продукты с усиленным питанием, например, гречку
Если нет острой необходимости, не кормить кошку медикаментозными препаратами. В дневной рацион следует включить полезные продукты с усиленным питанием, например, гречку, рис, желток куриного яйца. Это будет полезно как для кошки, так и для будущих котят.
Включите рис в рационе кошки перед родами
Подобрать уютный угол для будущих родов желательно в теплом месте, без сквозняков и холода.
Важно! Если у кошки начались признаки, не характерные для беременности, следует незамедлительно обратиться в ветеринарную клинику для обследования животного.
Поведение кошки перед самым началом родов
Если начальный период беременности упущен по невнимательности владельца, следует знать, как определить начало родовой деятельности у кошки.
Большинство кошек не требует помощи при появлении котят
Животное за несколько дней перед окотом может полностью перестать питаться, поведение становится довольно нервное. В этот период можно заметить, как опускается живот, вытекают воды, оттенок которых серый с красной примесью. Родовая деятельность может длиться около суток.
Большинство кошек не требует помощи при появлении котят, они способны сами с помощью зубов перегрызть пуповину. Однако не все животные одинаковы, поэтому некоторые кошки просят помощи у хозяев.
Некоторым кошкам все же понадобиться помощь, да и при беременности следует уделять более тщательное внимание домашнему питомцу
В послеродовой период животному следует помочь восстановиться, проявляя заботу. Стоит обрабатывать молочные железы во избежание попадания бактерий.
Продолжительность беременности у кошек
фото с сайта: zayvesta.ru
Продолжительность беременности у кошек индивидуальна – срок вынашивания новой жизни зависит от породы вашей питомицы или особенностей ее организма, его готовности к серьезным переменам. В этой статье мы подробно рассмотрим каждый этап формирования и развития плода и дадим календарь, который поможет определить, что необходимо для будущей мамы в определенный период.
Определить «интересное» положение можно уже на третьей неделе – именно в это время у самки набухают и меняют свой цвет соски, а также может начаться токсикоз. Среди других признаков зарождения и постепенного развития эмбриона – улучшившийся аппетит будущей кормилицы, сонливость и отказ от активных игр.
Длительность беременности у кошек: сколько дней эти животные носят своих детенышей
Точно ответить на этот вопрос очень трудно – на срок влияют многие факторы. Это и родословная кошечки, и количество котят, которых она вынашивает в себе. Чем их больше, тем меньше вам придется ждать – малыши появятся на свет уже через 58 дней.
Как правило, кошачья беременность длится от 58 до 72 дней. При этом:
- У короткошерстных пород сроки чуть меньше, чем у длинношерстных – от 58 до 68 суток.
- Самки персов, бирманцев и британцев, от природы щедро одаренных густой шерсткой, носят детенышей 62-72 дня.
фото с сайта: puzyatka.ru
Какой срок беременности у кошек оптимальный: разбираемся в особенностях важного периода
Чересчур короткий срок, как и слишком долгий – повод для беспокойства. О патологии можно говорить, если беременность кошки длится гораздо меньше 58 дней. Задержка родов на неделю допустима, однако если котята не появляются на свет спустя несколько недель после возможной даты, следует обратиться к врачу.
В эту пору волнений для роженицы и ее хозяев важно оградить кошку от стрессов и внимательно следить за ее самочувствием. Необходимо полностью исключить риск выкидыша.
Его возможные причины:
- Вирусные инфекции – такие как панлейкопения или ринотрахеит.
- Бактериальные заболевания – вызванные сальмонеллой или кишечной палочкой.
- Неправильное положение плода в материнской утробе, его деформация или патологические изменения в размерах.
- Недоразвитость таза по причине незрелости кошки.
- Сильные боли и общее ослабление организма.
- Генетические патологии плода.
- Отсутствие или недостаток таурина, поступающего в организм с пищей.
фото с сайта: www.syl.ru
О произошедшем выкидыше говорят следующие признаки:
- Живот кошки не увеличивается, в некоторых случаях резко уменьшается в объемах (на поздних сроках).
- Животное отказывается от еды и питья.
- Хозяин может обнаружить следы плода или плаценты.
- Возникают гнойные или кровянистые выделения из половых органов.
- Температура тела роженицы увеличивается, начинается лихорадка.
Чтобы не допустить такого развития событий, необходимо ограничить активность кошки в период вынашивания плода. Многие беременные питомицы продолжают бурную деятельность: прыгают и играют с прежним азартом даже на поздних сроках.
Следите за тем, чтобы подобная активность не нанесла вреда здоровью животного.
Показывать самочку ветеринарному врачу нужно регулярно – его осмотры и проведенные анализы помогут выявить инфекции или заболевания (если они есть), влияющие на правильное развитие детеныша.
Сколько времени длится беременность у кошек (в месяцах)
фото с сайта: ladyzest.com
Кошка вынашивает плод около 2 месяцев. Важно окружить ее вниманием и заботой, ведь этот непростой для нее период – еще и время необычайной чувствительности животного к внешним раздражителям и болезням.
https://youtube.com/watch?v=GHVGU1r60uw
Для того чтобы беременность прошла без проблем, и на свет появились здоровые котята, необходимо:
- Не давать кошке запрыгивать на высокие предметы – это повышает риск выкидыша.
- Обеспечить полноценное питание 4-5 раз в сутки (при этом не позволяя животному переедать). В рационе должны быть продукты, содержащие кальций, белок, витамины и микроэлементы в полном объеме. С четвертой недели надо увеличить количество протеиновой пищи в меню будущей мамы.
- Исключить из рациона мясо в сыром виде – оно может послужить источником глистов.
- При запорах предложить животному свекольное пюре.
- Окружить питомицу теплом и заботой и найти ей укромное место для отдыха – подальше от источников шума.
Важно
В случае истощения кошки после перенесенной болезни необходимо добавить к корму (натуральному или сухому) витаминно-минеральные добавки. Делать это следует, предварительно посоветовавшись с врачом.
Сколько недель и дней длится беременность у кошки и как она протекает?
фото с сайта: www.syl.ru
Срок, в течение которого происходит вынашивание плода – около 9 недель или 63 дней. У представительниц некоторых пород он увеличивается и составляет до 72 суток. Как правило, это длинношерстные кошки – персидские, бирманские, британские и т. д.
Процесс развития новой жизни отражается на поведении домашней любимицы. Она становится более спокойной, больше отдыхает и спит. Нередко у нее проявляется токсикоз – явление индивидуальное и не указывающее на произошедшие нарушения. На третьей неделе соски меняют свой цвет, а на шестой из них может выделяться молозиво – знак того, что кошка готова выкармливать своих детенышей.
Еще одна характерная особенность – увеличение живота, связанное с постепенным растяжением матки. Течка может прекратиться, а может и продолжаться.
[/attention][/attention][/attention]
Это объясняется повышением внутрибрюшного давления, вызванного появлением плода (часто не одного, а нескольких котят).
- Нулевая – отсчитывается с момента зачатия. Овуляция происходит через 20-30 часов после успешной вязки. Первые признаки «интересного» положения можно наблюдать чуть позже.
фото с сайта: kotyata.net
- 1-3 – активность будущей мамы снижается, зато возрастает аппетит. Может появиться рвота – она возникает из-за растяжения матки и изменений в гормональном фоне. Соски становятся ярко-розовыми и заметно увеличиваются.
фото с сайта: vashipitomcy.ru
- 4-6 – на этом сроке плод прибавляет в размерах, эмбрионы становятся ощутимы при пальпации, производимой ветеринарным врачом. Живот начинает расти (особенно если в нем развиваются не один, а несколько котят). К 35-м суткам матку начинает постепенно наполнять жидкость. Определить количество малышей можно, проведя УЗИ.
фото с сайта: kot-pes.com
- 7-9 – котята начинают шевелиться. Поведение их мамы меняется – она заметно беспокоится, ищет тихое, укромное место для обустройства уютного и теплого гнезда. В этот период у вульвы могут скапливаться незначительные выделения белого цвета. За 3-4 дня до появления детенышей на свет кошка начинает волноваться больше обычного, всюду следует за своим хозяином. Температура тела может упасть, появляется предродовая слабость.
фото с сайта: kot-pes.com
Как определить срок беременности у кошки
Для того чтобы понять, на каком сроке ваша питомица, необходимо знать дату зачатия. Ответить на этот вопрос точно может только ветеринар на 21 день после оплодотворения.
В это же время возможно проведение первых исследований – ультразвуковой диагностики – и пальпации.
Трогать живот роженицы самостоятельно не рекомендуется – вы можете по неосторожности причинить вред эмбриону и будущей маме.
Описание понедельного календаря беременности для кошек: развитие плода
Многих владельцев беспокоит вопрос беременности кошек. Некоторые боятся этого периода и предстоящих родов. На самом деле беспокоиться не о чем. В данной статье будут рассмотрены все необходимые моменты интересного положения питомца.
Как определить беременность кошки
Если хозяева сознательно занялись разведением, то у них не возникнет проблем с определением беременности на ранних сроках. На что стоит обратить внимание:
- по прошествии двух недель после вязки у кошки повышается аппетит;
- происходит постепенный набор веса;
- соски становятся более темными и увеличиваются в размерах;
- токсикоз встречается редко, но тоже бывает. Питомца может начать рвать, появляется понос;
- более агрессивное поведение.
Беременность — ответственный период в жизни животного
К сведению! Если кот и беременная кошка живут вместе, самец может начать проявлять дополнительные знаки внимания к своей избраннице, постоянно охранять ее.
Сколько длится беременность у кошки
Беременность кошки по неделям в среднем длится от 10 до 17. Однако данные показатели являются относительными, поскольку животные, так же, как и люди, могут вынашивать плод дольше или, наоборот, меньше.
Сколько длится беременность у кошек: продолжительность
Однако недоношенность и поздние роды могут привести к неприятным последствиям. Если котята родятся раньше, чем на 10-ой неделе, с большой долей вероятности они окажутся нежизнеспособными. Если же срок вынашивания превышает 17 недель, это уже может грозить здоровью самой кошки. В данном случае ей может потребоваться медицинская помощь, чтобы благополучно родить.
Следует помнить, что будущей пушистой маме в период беременности также требуется врачебное обследование:
- чтобы оценить общее физическое состояние животного;
- рассчитать календарь беременности кошки;
- выяснить количество котят;
- определить, есть ли необходимость во врачебной помощи при родах. В редких случаях даже назначается кесарево.
Важно! Если у хозяина есть возможность, то будет лучше, если весь период беременности будет проходить под наблюдением специалиста, так же, как и у людей.
УЗИ
Как определить срок беременности у кошки
Постепенно увеличивающийся животик многих владельцев заставляет нервничать и беспокоиться. Для большего спокойствия можно вести календарь до родов кошки. Однако данный метод подходит для тех, кто приблизительно или точно знает момент зачатия.
Выделения у беременной у кошки: кровяные, желтого цвета
Беременность определяется и существенно проявляется уже на 16-18 день. Животик постепенно растет, соски набухают и становятся более темными. У будущей мамы увеличивается аппетит, что несомненно сказывается и на весе.
Однако это лишь визуальные признаки, которые мало что могут сказать владельцу. Определить, когда родит кошка, может помочь калькулятор беременности. Такие программы имеются в Интернете и достаточно просты в использовании. Однако хозяину также потребуется информация о дне вязки.
Важно! Более точный срок, если отсутствует информация о зачатии, сможет подсказать только врач ветеринар.
Календарь беременности кошек по неделям
Как передается токсоплазмоз от кошки к человеку
Развитие плода, стадии чаще всего обозначаются в неделях, а на ранних сроках используются дни. Ниже более подробно рассматривается внутриутробное развитие с самых первых дней.
Развитие по неделям
Первая неделя (0-7 дней)
Клетки эмбриона делятся, но свободно перемещаются по матке. Прикрепление к стенке происходит только спустя 7-10 дней после зачатия. Данный процесс называется имплантацией и с него начинается отсчет. Интернет-калькулятор родов кошки данный период также учитывает.
Вторая-третья неделя (8-21 день)
Происходит формирование плаценты. Уже на 15-е сутки ее формирование завершается, и она способна питать и защищать эмбрион. Размеры будущего котенка еще очень малы. Внешне он похож букву С, но даже в таком виде можно найти очертания будущих головы и хвостика.
К сведению! В это время появляются первые признаки беременности у кошки. Будущая мама становится более капризной, привередливой, может подолгу прятаться в тихом темном месте.
Четвертая неделя (22-28 дней)
Плодное яйцо увеличивается до размера 15-20 мм. В данный момент эмбрион кошки с трудом отличается от других млекопитающих. Начинается постепенное развитие внутренних органов, в том числе мозга и сердца.
Важно! УЗИ на данном этапе показывает биение сердца порядка 230 уд./мин.
К концу 28 дня у малыша начинают формироваться лапки, подушечки, коготки. Поведение кошки в этот период не меняется. Возможно появление токсикоза.
Пятая-шестая неделя (29-42 дня)
На 5-6 неделе постепенно формируются органы чувств. Как известно, у кошачьих хорошо развиты слух и чувство равновесия. Также на этом этапе происходит постепенная подготовка к отращиванию усов, появляются еще мягкие когти.
На этом же этапе развиваются нервная система и мышцы. Ребенок начинает активно шевелиться и толкать маму-кошку. Большинство специалистов склонно считать, что в это время заканчивается формироваться психика, поэтому стоит уделить большое внимание психологическому комфорту беременной кошки.
Седьмая-восьмая неделя (43-56 дней)
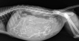
На рентгене хорошо просматриваются кости и позвоночник. Шерсть уже полностью сформирована. В целом на 50-й день котята уже готовы к рождению, но данный момент также зависит от породы.
Так, например, прямоухий британский кот, бенгальский, мейн-кун, шотландский вислоухий растут чуть медленнее, чем другие представители семейства кошачьих и, соответственно, живут дольше. По этой причине не стоит подгонять под единые рамки сроки беременности сфинксов и «британок».
Девятая неделя — предвестник родов
Мать-кошка постепенно начинает готовиться к родам. Организм проявляет первые симптомы, вроде пробных схваток. Хозяину следует внимательно следить за поведением, так как в предродовом состоянии питомец ищет укромное место. Важно также не создавать питомцу стрессовых ситуаций и хорошо кормить.
https://youtube.com/watch?v=SnwchGBy5ws
Развитый плод
10 неделя (64-й день и далее)
К этому времени появляются на свет уже те котята, которые относятся к поздним породам. Поведение кошки в указанный период становится более спокойным. Будущая мама ожидает рождение малышей в определенном месте, почти не покидая своей лежанки.
Хозяева могут приобрести или смастерить для кошки специальный домик. Главное, чтобы он был теплым и закрытым от посторонних глаз.
Плод на 13 неделе беременности
Для большинства кошек, которые не относятся к определенным породам, 13-я неделя — это уже превышение нормы. Дальнейшее вынашивание может привести к развитию чрезмерно крупного плода, что при родах способно нанести вред.
Важно! Если срок уже явно превышает установленный, лучше обратиться за помощью к врачу.
Плановые УЗИ при беременности
Специалист может назначить УЗИ почти в любой момент беременности, если состояние животного вызывает сомнения. На ранних сроках владелец может обратиться к ветеринару, чтобы подтвердить или опровергнуть наличие беременности.
Дальше отслеживается развитие плода, устанавливается количество будущих котят. В любом случае посещение ветеринарной клиники рекомендовано как в профилактических целях, так и при возникновении ощущений тревоги за состояние своего любимца.
Плановое УЗИ
Возможные патологии
При беременности у кошечек могут наблюдаться следующие патологии:
- маточная грыжа;
- отслоение плаценты, которое выявляется только на УЗИ;
- многоводие;
- гибель плодов в утробе матери.
Уход за беременной кошкой
После родов кошка не требует какого-то специального ухода. Убедившись, что с питомцем и новорожденными котятами все в порядке, человеку стоит оставить их в покое и тишине. Самка в состоянии самостоятельно отгрызть пуповину и вылизать своих малышей.
Единственным важным нюансом, касающимся ухода, является то, что в последующем лежанку необходимо будет периодически менять. А на протяжении определенного времени рядом с молодой мамой должны стоять вода и корм (влажный или легко усваиваемый).
Для человека кошачьи роды не являются чем-то сложным или страшным. В большинстве случаев животное само знает, что делать и как себя вести. Главное, беременную кошку хорошо кормить и обеспечить ей покой.
Протекание беременности у кошки по неделям в картинках
Хозяевам, которые обладают пушистой дамой, необходимо решить вопрос, будут ли они разводить её потомство. Этот вопрос очень серьёзный, поскольку кошки – это живые существа, и если котята окажутся никому не нужными, то за их жизнь будут отвечать именно владельцы.
И это не единственный трудный вопрос. Да, в первую очередь, необходимо найти новое жильё для маленьких питомцев, но на этом не всё.
Стоит рассмотреть ещё другие вопросы: в состоянии ли ваша пушистая дама рождать здоровых детей? Каков её возраст? Подходящее ли у неё здоровье? Какой образ жизни она ведёт? Сможете ли вы заботиться и обеспечивать свою кошку на протяжении всей беременности и после родов?
Если всё же вопрос решён и хозяева питомца, будут разводить очаровательных малышей, тогда перед преступлением к вязке, необходимо хорошенько изучить историю беременности.
Обычно беременность от самого оплодотворения до родов, длится у кошек примерно 62 дня. Но это также зависит и от породы, например, сиамская кошка, вынашивает малышей немного дольше.
Точно так же, как и у людей, у животных нет определённой даты родов. По этой причине владельцы должны рассчитывать, что рождение котят может произойти как раньше назначенного срока, так и позже.
Смотрите точный срок беременности у кошек.
Кликабельно Таблица продолжительности беременности кошки, в основном это 65 дней
Ниже, вы узнаете, что происходит в каждом периоде беременности кошки.
Первая неделя
Первая неделя после спаривания самки с самцом проходит бесследно. Оплодотворённая яйцеклетка никак себя не выдаёт, поэтому хозяева не сразу смогут понять получилось ли забеременеть кошке или нет.
Но именно в эту первую неделю, если сперма доходит до яйцеклетки, то оплодотворяет её. Далее, начинает движение оплодотворённая яйцеклетка, двигаться она будет в свой дом на ближайшее время – матку.
Удивительно, но если кошку в одинаковый период зачатия, спаривать с разными котами, то она может вынашивать детей от разных котов.
Вторая неделя
На второй неделе (от восьмого и до четырнадцатого дня) движущиеся яйцеклетки достигают матки. После чего они погружаются в неё, и начинается процесс формирования котят.
Третья — четвертая неделя
Следующие две недели (от четырнадцатого дня и до двадцати седьмого) зачатые эмбрионы вступают в процесс развития органов.
По этим причинам у кошки резко меняется гормональный фон, что может сказаться на её настроении, аппетите и сне. Также по внешнему виду уже можно будет распознать, что кошка беременна.
Поскольку её соски опускаются ниже (опухают) и могут быть как тёмного, так и розового цвета.
Именно в эту третью и четвёртую неделю беременности кошка может почувствовать рвотные рефлексы, поэтому будет отказываться даже от самой любимой пищи. Может быть и рвота, поэтому необходимо очень тщательно наблюдать за животным, ведь если она очень частая и кошка себя совсем плохо чувствует, то необходимо показать её ветеринару.
Примерно на 4 месяце беременности опытный врач может уже прощупать в брюхе питомца малышей, однако, это лучше всего сделать с помощью УЗИ. Именно в этот период кошечку следует тщательно оберегать и хорошо заботиться о ней. Ни в коем случае не поднимайте кошку, поскольку вы можете придавить котят. Особенно в этом вопросе необходимо проконсультировать своих детей.
Пятая неделя
На пятой неделе, если вы не узнали, что ваша кошка беременна самое время показать её врачу. С помощью пальпации или УЗИ доктор скажет вам, есть ли беременность, как она протекает и сколько котят вынашивает будущая мама.
Шестая — седьмая неделя
Начиная с шестой недели беременности (от тридцати пяти дней до сорока двух) можно увидеть шевеление котят, которые в утробе, конечно, если ваша самка не слишком пушистая.
Именно в этот период её самочувствие должно налаживаться, поэтому может проснуться хороший аппетит.
Не отказывайте беременной ни в чём! Сколько она хочет есть, столько и давайте, помня о том, что она кормит не только себя, но и будущее потомство. При этом пища должна быть качественная и сбалансированная.
В период следующей недели даже посторонним невозможно будет не заметить, что ваша дама беременна. Поскольку кругленький животик вряд ли спрячешь.
Восьмая неделя
С наступлением пятидесятого дня после зачатия (восьмая неделя) кошка начинает тщательно ухаживать за собой. Её соски становятся ещё больше, выпуклее и розовее. В этот период кошка может сильно линять, во время вынашивания детёнышей – это нормально. Таким образом, кошка как бы готовится к родам. После рождения котят, шерсть обязательно отрастёт.
С наступлением этой недели, аппетит кошки может уменьшиться, поскольку быстрорастущие котята заслоняют всё пространство в животике своей мамы (и сильно не перекармливайте кошку, так как котята могут перерасти и кошке будет тяжело рожать). Чем ближе к родам, тем больше вероятности, что самка начинает искать место для родов. Заметив, что-то странное в её поведении, попробуйте поставить коробку или корзинку, в которую поместите стерильную мягкую ткань.
В этот период можно очень легко прощупать наличие малышей в утробе кошки. А также выделение молока из сосков кошки, свидетельствует о том, что организм уже готовиться к рождению нового потомства. Вы легко сможете увидеть это, поскольку очень часто оно подсыхает на кончиках сосков.
Девятая неделя — предвестник родов
Начинаются ответственные моменты! Приближаясь к девятой неделе (от 56 до 62 дней) у вашей кошки могут наблюдаться красноватые выделения из влагалища. В этом нет ничего страшного. Поскольку котята становятся всё больше и больше, то роды могут начаться в любой момент. Смотрите также беременность и роды британской кошки.
В принципе, по поведению будущей мамы, можно заметить начало родов, поскольку она:
- может чувствовать беспокойство;
- не отходить от своих хозяев;
- без причины мяукать;
- затаиваться в своём гнёздышке для родов.
Все эти факторы предвестники скорых родов!
Есть некоторые породы, которые донашивают детей до десятой недели. Если же она наступила, а кошка не порадовала вас ещё своими котятами, тогда будьте начеку, роды вот-вот начнутся. Но, если же время идёт, а роды не наступают, то следует срочно проконсультироваться со специалистом!
Как самостоятельно определить беременность кошки, видео инструкция

Люди всегда относились к кошкам с особой нежностью. Эти животные очень милые, и играть с ними одно удовольствие. И у каждой кошки наступает момент, когда она готовится произвести на свет потомство.
Период вынашивания проходит спокойно, и кошке не требуется помощь хозяев. Однако, чтобы владелец не был удивлен при появлении котят в доме, нужно знать, как определить беременность кошки.
Некоторым кошкам все же понадобиться помощь, да и при беременности следует уделять более тщательное внимание домашнему питомцу, чтобы роды и послеродовой период прошли легко, без проблем.
Люди, у которых впервые в доме появилось животное, не смогут самостоятельно распознать, как определить беременность кошки. Признаки беременности имеют некоторые особенности. Помимо различных рекомендаций владельцу следует стать внимательнее к своему питомцу, чтобы как можно раньше выявить беременность или другие изменения в здоровье кошки для оказания своевременной помощи.
Чтобы владелец не был удивлен при появлении котят в доме, нужно знать, как определить беременность кошки
Как изменяется состояние кошки во время беременности?
Как известно, после случки кошки с котом, наступление беременности отмечается не всегда. Иногда признаки наступившего оплодотворения могут быть ложными вследствие гормональных изменений в организме животного. Поэтому необходимо разобраться, как определить беременность кошки на ранних сроках.
Иногда признаки наступившего оплодотворения могут быть ложными вследствие гормональных изменений
Признаки изменения поведения кошки:
- в первую очередь следует проследить за животным внимательно: если после полового акта у питомца не наблюдается течка, это может означать наступление беременности, если в течение 24 часов течка не прекращается – оплодотворения нет;
- в период вынашивания котят у кошки изменяется характер поведения, некоторые постоянно просятся на руки, хотят, чтобы их гладили, очень любят спать около хозяев, у некоторых кошек, отмечается внезапное ухудшение аппетита, они становятся слишком спокойными, возможна рвота;
Такое поведение домашней любимицы проявляется в самом начале, однако говорить наверняка о беременности еще рано. Можно только предположить о том, что с организмом кошки происходят изменения.
В период вынашивания котят у кошки может измениться аппетит
В домашних условиях хозяевам в основном удается определить беременность кошки не ранее, как через 3-4 недели после оплодотворения. В данный период необходимо прощупать живот, но только очень осторожно, без чрезмерного давления, иначе при наличии беременности можно принести вред будущему потомству. Проводят самостоятельный осмотр только с помощью подушечек пальцев.
Если после полового акта у питомца не наблюдается течка, это может означать наступление беременности
Через месяц после случки у кошки начинают происходить изменения в сосках –их оттенок становится выраженно розовым, значительно увеличиваются в размерах. При кормлении кошка также будет вести себя иначе – аппетит возрастает, продукты, которые любила ранее, может не воспринимать, появляется охота питаться определенной едой.
[/attention][/attention][/attention]
В начале шестой недели периода беременности у кошки можно прощупать котят. Если беременность первая, количество потомства обычно меньше, чем у повторнородящей.
При наступлении 7 – 8 недели становится видно шевеление котят в животе кошки. В этот период можно ощупать котят и определить их головку и тело, а также ощутить стук их сердечка.
Укромный уголок для родов кошки
Перед окотом за 4 – 5 дней кошка становится более беспокойной в своем поведении, связано это с поиском удобного места для родов. Обычно животное редко попадается на глаза, потому что, для предстоящих родов ей понадобиться наиболее укромный уголок в доме.
Важно! Желательно в этот период подыскать хорошее место, иначе все может произойти на вашей кровати, либо даже в шкафу с одеждой.
Наиболее явными признаками скорого приплода (за 2-3 дня) являются чрезмерно набухшие соски и выделение молозива из них, появляется скудная слизистая жидкость из вульвы.
Ультразвуковое обследование – самое точное подтверждение наличия беременности у кошки
На заметку! За один день перед появлением на свет котят кошка сидит в своем уголке, а это значит начало подготовки к родам. В это время не следует мешать кошке или доставать ее и брать на руки.
Самое точное подтверждение наличия беременности у кошки – это ультразвуковая диагностика, но даже этот метод эффективен только через 1-2 недели после случки животного. Однако начало изменений в поведении домашнего питомца – это повод показать его ветеринару, чтобы удостовериться в отсутствии болезней либо в присутствующей беременности.
Особенности течения беременности
У кошек возможность к оплодотворению появляется после наступления половой зрелости. Первые 6 месяцев кошка считается котенком, о беременности которого можно еще не задумываться. Но чтобы в дальнейшем определить беременность у кошки, ее сроки, нужно ознакомиться с таким понятием, как течка у животного.
Течка у кошки – это начало половой зрелости
Течка у кошки – это начало половой зрелости, следовательно, период, когда кошка впервые может забеременеть. Для владельца это станет сигналом о способности животного к оплодотворению, после спаривания с котом.
Некоторые особенности наступления и течения беременности:
- в течение года течка у кошки может возникать 2-3 раза;
- в период течки домашняя любимица очень сильно меняется в поведении: падает на пол и начинает тереться животом, спиной, при этом мяукает, не переставая, может тереться об людей, иногда делает метки по дому;
В период течки домашняя любимица очень сильно меняется в поведении
- в начале течки, 1 и 2 день, у кошки теряется аппетит, мяуканье становится громким и интенсивным, однако при встрече с котом в эти дни кошка может его не подпускать к себе, а вот после первых дней течки кошка будет к случке;
- довольно редко встречается беременная кошка после начала первой течки, обычно оплодотворение наступает вследствие нескольких встреч с противоположным полом;
Если у владельца возникает потребность стерилизовать питомицу, то следует помнить, что данную процедуру лучше проводить у кошки после беременности, первой или вторичной, не имеет значения, главное, знать, как правильно определить момент половой зрелости и только затем обращаться к специалисту.
Сколько длится период беременности у кошек?
Первое, о чем стоит помнить, так это время, с которого начинается отсчет беременности – с момента случки и оплодотворения и по завершению этого периода родами. Средняя продолжительность периода вынашивания котят занимает от 62 до 68 дней. В случаях преждевременных родов котята появляются мертвыми.
Но это относится не ко всем породам кошек, так отмечены случаи, когда сиамские представители производили на свет потомство на 71 день беременности, и котята были живыми и вполне здоровыми.
Как нужно обращаться с кошкой во время беременности?
Для исключения различных инфекционных болезней животное лучше не выпускать из дома на весь срок беременности. Следует исключить общение с котами, чтобы не произошло новой случки, иначе котята могут умереть в утробе.
В дневной рацион следует включить полезные продукты с усиленным питанием, например, гречку
Если нет острой необходимости, не кормить кошку медикаментозными препаратами. В дневной рацион следует включить полезные продукты с усиленным питанием, например, гречку, рис, желток куриного яйца. Это будет полезно как для кошки, так и для будущих котят.
Включите рис в рационе кошки перед родами
Подобрать уютный угол для будущих родов желательно в теплом месте, без сквозняков и холода.
Важно! Если у кошки начались признаки, не характерные для беременности, следует незамедлительно обратиться в ветеринарную клинику для обследования животного.
Поведение кошки перед самым началом родов
Если начальный период беременности упущен по невнимательности владельца, следует знать, как определить начало родовой деятельности у кошки.
Большинство кошек не требует помощи при появлении котят
Животное за несколько дней перед окотом может полностью перестать питаться, поведение становится довольно нервное. В этот период можно заметить, как опускается живот, вытекают воды, оттенок которых серый с красной примесью. Родовая деятельность может длиться около суток.
Большинство кошек не требует помощи при появлении котят, они способны сами с помощью зубов перегрызть пуповину. Однако не все животные одинаковы, поэтому некоторые кошки просят помощи у хозяев.
Некоторым кошкам все же понадобиться помощь, да и при беременности следует уделять более тщательное внимание домашнему питомцу
В послеродовой период животному следует помочь восстановиться, проявляя заботу. Стоит обрабатывать молочные железы во избежание попадания бактерий.
Продолжительность беременности у кошек
фото с сайта: zayvesta.ru
Продолжительность беременности у кошек индивидуальна – срок вынашивания новой жизни зависит от породы вашей питомицы или особенностей ее организма, его готовности к серьезным переменам. В этой статье мы подробно рассмотрим каждый этап формирования и развития плода и дадим календарь, который поможет определить, что необходимо для будущей мамы в определенный период.
Определить «интересное» положение можно уже на третьей неделе – именно в это время у самки набухают и меняют свой цвет соски, а также может начаться токсикоз. Среди других признаков зарождения и постепенного развития эмбриона – улучшившийся аппетит будущей кормилицы, сонливость и отказ от активных игр.
Длительность беременности у кошек: сколько дней эти животные носят своих детенышей
Точно ответить на этот вопрос очень трудно – на срок влияют многие факторы. Это и родословная кошечки, и количество котят, которых она вынашивает в себе. Чем их больше, тем меньше вам придется ждать – малыши появятся на свет уже через 58 дней.
Как правило, кошачья беременность длится от 58 до 72 дней. При этом:
- У короткошерстных пород сроки чуть меньше, чем у длинношерстных – от 58 до 68 суток.
- Самки персов, бирманцев и британцев, от природы щедро одаренных густой шерсткой, носят детенышей 62-72 дня.
фото с сайта: puzyatka.ru
Какой срок беременности у кошек оптимальный: разбираемся в особенностях важного периода
Чересчур короткий срок, как и слишком долгий – повод для беспокойства. О патологии можно говорить, если беременность кошки длится гораздо меньше 58 дней. Задержка родов на неделю допустима, однако если котята не появляются на свет спустя несколько недель после возможной даты, следует обратиться к врачу.
В эту пору волнений для роженицы и ее хозяев важно оградить кошку от стрессов и внимательно следить за ее самочувствием. Необходимо полностью исключить риск выкидыша.
Его возможные причины:
- Вирусные инфекции – такие как панлейкопения или ринотрахеит.
- Бактериальные заболевания – вызванные сальмонеллой или кишечной палочкой.
- Неправильное положение плода в материнской утробе, его деформация или патологические изменения в размерах.
- Недоразвитость таза по причине незрелости кошки.
- Сильные боли и общее ослабление организма.
- Генетические патологии плода.
- Отсутствие или недостаток таурина, поступающего в организм с пищей.
фото с сайта: www.syl.ru
О произошедшем выкидыше говорят следующие признаки:
- Живот кошки не увеличивается, в некоторых случаях резко уменьшается в объемах (на поздних сроках).
- Животное отказывается от еды и питья.
- Хозяин может обнаружить следы плода или плаценты.
- Возникают гнойные или кровянистые выделения из половых органов.
- Температура тела роженицы увеличивается, начинается лихорадка.
Чтобы не допустить такого развития событий, необходимо ограничить активность кошки в период вынашивания плода. Многие беременные питомицы продолжают бурную деятельность: прыгают и играют с прежним азартом даже на поздних сроках.
Следите за тем, чтобы подобная активность не нанесла вреда здоровью животного.
Показывать самочку ветеринарному врачу нужно регулярно – его осмотры и проведенные анализы помогут выявить инфекции или заболевания (если они есть), влияющие на правильное развитие детеныша.
Сколько времени длится беременность у кошек (в месяцах)
фото с сайта: ladyzest.com
Кошка вынашивает плод около 2 месяцев. Важно окружить ее вниманием и заботой, ведь этот непростой для нее период – еще и время необычайной чувствительности животного к внешним раздражителям и болезням.
https://youtube.com/watch?v=GHVGU1r60uw
Для того чтобы беременность прошла без проблем, и на свет появились здоровые котята, необходимо:
- Не давать кошке запрыгивать на высокие предметы – это повышает риск выкидыша.
- Обеспечить полноценное питание 4-5 раз в сутки (при этом не позволяя животному переедать). В рационе должны быть продукты, содержащие кальций, белок, витамины и микроэлементы в полном объеме. С четвертой недели надо увеличить количество протеиновой пищи в меню будущей мамы.
- Исключить из рациона мясо в сыром виде – оно может послужить источником глистов.
- При запорах предложить животному свекольное пюре.
- Окружить питомицу теплом и заботой и найти ей укромное место для отдыха – подальше от источников шума.
Важно
В случае истощения кошки после перенесенной болезни необходимо добавить к корму (натуральному или сухому) витаминно-минеральные добавки. Делать это следует, предварительно посоветовавшись с врачом.
Сколько недель и дней длится беременность у кошки и как она протекает?
фото с сайта: www.syl.ru
Срок, в течение которого происходит вынашивание плода – около 9 недель или 63 дней. У представительниц некоторых пород он увеличивается и составляет до 72 суток. Как правило, это длинношерстные кошки – персидские, бирманские, британские и т. д.
Процесс развития новой жизни отражается на поведении домашней любимицы. Она становится более спокойной, больше отдыхает и спит. Нередко у нее проявляется токсикоз – явление индивидуальное и не указывающее на произошедшие нарушения. На третьей неделе соски меняют свой цвет, а на шестой из них может выделяться молозиво – знак того, что кошка готова выкармливать своих детенышей.
Еще одна характерная особенность – увеличение живота, связанное с постепенным растяжением матки. Течка может прекратиться, а может и продолжаться.
[/attention][/attention][/attention]
Это объясняется повышением внутрибрюшного давления, вызванного появлением плода (часто не одного, а нескольких котят).
- Нулевая – отсчитывается с момента зачатия. Овуляция происходит через 20-30 часов после успешной вязки. Первые признаки «интересного» положения можно наблюдать чуть позже.
фото с сайта: kotyata.net
- 1-3 – активность будущей мамы снижается, зато возрастает аппетит. Может появиться рвота – она возникает из-за растяжения матки и изменений в гормональном фоне. Соски становятся ярко-розовыми и заметно увеличиваются.
фото с сайта: vashipitomcy.ru
- 4-6 – на этом сроке плод прибавляет в размерах, эмбрионы становятся ощутимы при пальпации, производимой ветеринарным врачом. Живот начинает расти (особенно если в нем развиваются не один, а несколько котят). К 35-м суткам матку начинает постепенно наполнять жидкость. Определить количество малышей можно, проведя УЗИ.
фото с сайта: kot-pes.com
- 7-9 – котята начинают шевелиться. Поведение их мамы меняется – она заметно беспокоится, ищет тихое, укромное место для обустройства уютного и теплого гнезда. В этот период у вульвы могут скапливаться незначительные выделения белого цвета. За 3-4 дня до появления детенышей на свет кошка начинает волноваться больше обычного, всюду следует за своим хозяином. Температура тела может упасть, появляется предродовая слабость.
фото с сайта: kot-pes.com
Как определить срок беременности у кошки
Для того чтобы понять, на каком сроке ваша питомица, необходимо знать дату зачатия. Ответить на этот вопрос точно может только ветеринар на 21 день после оплодотворения.
В это же время возможно проведение первых исследований – ультразвуковой диагностики – и пальпации.
Трогать живот роженицы самостоятельно не рекомендуется – вы можете по неосторожности причинить вред эмбриону и будущей маме.
Описание понедельного календаря беременности для кошек: развитие плода
Многих владельцев беспокоит вопрос беременности кошек. Некоторые боятся этого периода и предстоящих родов. На самом деле беспокоиться не о чем. В данной статье будут рассмотрены все необходимые моменты интересного положения питомца.
Как определить беременность кошки
Если хозяева сознательно занялись разведением, то у них не возникнет проблем с определением беременности на ранних сроках. На что стоит обратить внимание:
- по прошествии двух недель после вязки у кошки повышается аппетит;
- происходит постепенный набор веса;
- соски становятся более темными и увеличиваются в размерах;
- токсикоз встречается редко, но тоже бывает. Питомца может начать рвать, появляется понос;
- более агрессивное поведение.
Беременность — ответственный период в жизни животного
К сведению! Если кот и беременная кошка живут вместе, самец может начать проявлять дополнительные знаки внимания к своей избраннице, постоянно охранять ее.
Сколько длится беременность у кошки
Беременность кошки по неделям в среднем длится от 10 до 17. Однако данные показатели являются относительными, поскольку животные, так же, как и люди, могут вынашивать плод дольше или, наоборот, меньше.
Сколько длится беременность у кошек: продолжительность
Однако недоношенность и поздние роды могут привести к неприятным последствиям. Если котята родятся раньше, чем на 10-ой неделе, с большой долей вероятности они окажутся нежизнеспособными. Если же срок вынашивания превышает 17 недель, это уже может грозить здоровью самой кошки. В данном случае ей может потребоваться медицинская помощь, чтобы благополучно родить.
Следует помнить, что будущей пушистой маме в период беременности также требуется врачебное обследование:
- чтобы оценить общее физическое состояние животного;
- рассчитать календарь беременности кошки;
- выяснить количество котят;
- определить, есть ли необходимость во врачебной помощи при родах. В редких случаях даже назначается кесарево.
Важно! Если у хозяина есть возможность, то будет лучше, если весь период беременности будет проходить под наблюдением специалиста, так же, как и у людей.
УЗИ
Как определить срок беременности у кошки
Постепенно увеличивающийся животик многих владельцев заставляет нервничать и беспокоиться. Для большего спокойствия можно вести календарь до родов кошки. Однако данный метод подходит для тех, кто приблизительно или точно знает момент зачатия.
Выделения у беременной у кошки: кровяные, желтого цвета
Беременность определяется и существенно проявляется уже на 16-18 день. Животик постепенно растет, соски набухают и становятся более темными. У будущей мамы увеличивается аппетит, что несомненно сказывается и на весе.
Однако это лишь визуальные признаки, которые мало что могут сказать владельцу. Определить, когда родит кошка, может помочь калькулятор беременности. Такие программы имеются в Интернете и достаточно просты в использовании. Однако хозяину также потребуется информация о дне вязки.
Важно! Более точный срок, если отсутствует информация о зачатии, сможет подсказать только врач ветеринар.
Календарь беременности кошек по неделям
Как передается токсоплазмоз от кошки к человеку
Развитие плода, стадии чаще всего обозначаются в неделях, а на ранних сроках используются дни. Ниже более подробно рассматривается внутриутробное развитие с самых первых дней.
Развитие по неделям
Первая неделя (0-7 дней)
Клетки эмбриона делятся, но свободно перемещаются по матке. Прикрепление к стенке происходит только спустя 7-10 дней после зачатия. Данный процесс называется имплантацией и с него начинается отсчет. Интернет-калькулятор родов кошки данный период также учитывает.
Вторая-третья неделя (8-21 день)
Происходит формирование плаценты. Уже на 15-е сутки ее формирование завершается, и она способна питать и защищать эмбрион. Размеры будущего котенка еще очень малы. Внешне он похож букву С, но даже в таком виде можно найти очертания будущих головы и хвостика.
К сведению! В это время появляются первые признаки беременности у кошки. Будущая мама становится более капризной, привередливой, может подолгу прятаться в тихом темном месте.
Четвертая неделя (22-28 дней)
Плодное яйцо увеличивается до размера 15-20 мм. В данный момент эмбрион кошки с трудом отличается от других млекопитающих. Начинается постепенное развитие внутренних органов, в том числе мозга и сердца.
Важно! УЗИ на данном этапе показывает биение сердца порядка 230 уд./мин.
К концу 28 дня у малыша начинают формироваться лапки, подушечки, коготки. Поведение кошки в этот период не меняется. Возможно появление токсикоза.
Пятая-шестая неделя (29-42 дня)
На 5-6 неделе постепенно формируются органы чувств. Как известно, у кошачьих хорошо развиты слух и чувство равновесия. Также на этом этапе происходит постепенная подготовка к отращиванию усов, появляются еще мягкие когти.
На этом же этапе развиваются нервная система и мышцы. Ребенок начинает активно шевелиться и толкать маму-кошку. Большинство специалистов склонно считать, что в это время заканчивается формироваться психика, поэтому стоит уделить большое внимание психологическому комфорту беременной кошки.
Седьмая-восьмая неделя (43-56 дней)
На рентгене хорошо просматриваются кости и позвоночник. Шерсть уже полностью сформирована. В целом на 50-й день котята уже готовы к рождению, но данный момент также зависит от породы.
Так, например, прямоухий британский кот, бенгальский, мейн-кун, шотландский вислоухий растут чуть медленнее, чем другие представители семейства кошачьих и, соответственно, живут дольше. По этой причине не стоит подгонять под единые рамки сроки беременности сфинксов и «британок».
Девятая неделя — предвестник родов
Мать-кошка постепенно начинает готовиться к родам. Организм проявляет первые симптомы, вроде пробных схваток. Хозяину следует внимательно следить за поведением, так как в предродовом состоянии питомец ищет укромное место. Важно также не создавать питомцу стрессовых ситуаций и хорошо кормить.
https://youtube.com/watch?v=SnwchGBy5ws
Развитый плод
10 неделя (64-й день и далее)
К этому времени появляются на свет уже те котята, которые относятся к поздним породам. Поведение кошки в указанный период становится более спокойным. Будущая мама ожидает рождение малышей в определенном месте, почти не покидая своей лежанки.
Хозяева могут приобрести или смастерить для кошки специальный домик. Главное, чтобы он был теплым и закрытым от посторонних глаз.
Плод на 13 неделе беременности
Для большинства кошек, которые не относятся к определенным породам, 13-я неделя — это уже превышение нормы. Дальнейшее вынашивание может привести к развитию чрезмерно крупного плода, что при родах способно нанести вред.
Важно! Если срок уже явно превышает установленный, лучше обратиться за помощью к врачу.
Плановые УЗИ при беременности
Специалист может назначить УЗИ почти в любой момент беременности, если состояние животного вызывает сомнения. На ранних сроках владелец может обратиться к ветеринару, чтобы подтвердить или опровергнуть наличие беременности.
Дальше отслеживается развитие плода, устанавливается количество будущих котят. В любом случае посещение ветеринарной клиники рекомендовано как в профилактических целях, так и при возникновении ощущений тревоги за состояние своего любимца.
Плановое УЗИ
Возможные патологии
При беременности у кошечек могут наблюдаться следующие патологии:
- маточная грыжа;
- отслоение плаценты, которое выявляется только на УЗИ;
- многоводие;
- гибель плодов в утробе матери.
Уход за беременной кошкой
После родов кошка не требует какого-то специального ухода. Убедившись, что с питомцем и новорожденными котятами все в порядке, человеку стоит оставить их в покое и тишине. Самка в состоянии самостоятельно отгрызть пуповину и вылизать своих малышей.
Единственным важным нюансом, касающимся ухода, является то, что в последующем лежанку необходимо будет периодически менять. А на протяжении определенного времени рядом с молодой мамой должны стоять вода и корм (влажный или легко усваиваемый).
Для человека кошачьи роды не являются чем-то сложным или страшным. В большинстве случаев животное само знает, что делать и как себя вести. Главное, беременную кошку хорошо кормить и обеспечить ей покой.
Протекание беременности у кошки по неделям в картинках
Хозяевам, которые обладают пушистой дамой, необходимо решить вопрос, будут ли они разводить её потомство. Этот вопрос очень серьёзный, поскольку кошки – это живые существа, и если котята окажутся никому не нужными, то за их жизнь будут отвечать именно владельцы.
И это не единственный трудный вопрос. Да, в первую очередь, необходимо найти новое жильё для маленьких питомцев, но на этом не всё.
Стоит рассмотреть ещё другие вопросы: в состоянии ли ваша пушистая дама рождать здоровых детей? Каков её возраст? Подходящее ли у неё здоровье? Какой образ жизни она ведёт? Сможете ли вы заботиться и обеспечивать свою кошку на протяжении всей беременности и после родов?
Если всё же вопрос решён и хозяева питомца, будут разводить очаровательных малышей, тогда перед преступлением к вязке, необходимо хорошенько изучить историю беременности.
Обычно беременность от самого оплодотворения до родов, длится у кошек примерно 62 дня. Но это также зависит и от породы, например, сиамская кошка, вынашивает малышей немного дольше.
Точно так же, как и у людей, у животных нет определённой даты родов. По этой причине владельцы должны рассчитывать, что рождение котят может произойти как раньше назначенного срока, так и позже.
Смотрите точный срок беременности у кошек.
Кликабельно Таблица продолжительности беременности кошки, в основном это 65 дней
Ниже, вы узнаете, что происходит в каждом периоде беременности кошки.
Первая неделя
Первая неделя после спаривания самки с самцом проходит бесследно. Оплодотворённая яйцеклетка никак себя не выдаёт, поэтому хозяева не сразу смогут понять получилось ли забеременеть кошке или нет.
Но именно в эту первую неделю, если сперма доходит до яйцеклетки, то оплодотворяет её. Далее, начинает движение оплодотворённая яйцеклетка, двигаться она будет в свой дом на ближайшее время – матку.
Удивительно, но если кошку в одинаковый период зачатия, спаривать с разными котами, то она может вынашивать детей от разных котов.
Вторая неделя
На второй неделе (от восьмого и до четырнадцатого дня) движущиеся яйцеклетки достигают матки. После чего они погружаются в неё, и начинается процесс формирования котят.
Третья — четвертая неделя
Следующие две недели (от четырнадцатого дня и до двадцати седьмого) зачатые эмбрионы вступают в процесс развития органов.
По этим причинам у кошки резко меняется гормональный фон, что может сказаться на её настроении, аппетите и сне. Также по внешнему виду уже можно будет распознать, что кошка беременна.
Поскольку её соски опускаются ниже (опухают) и могут быть как тёмного, так и розового цвета.
Именно в эту третью и четвёртую неделю беременности кошка может почувствовать рвотные рефлексы, поэтому будет отказываться даже от самой любимой пищи. Может быть и рвота, поэтому необходимо очень тщательно наблюдать за животным, ведь если она очень частая и кошка себя совсем плохо чувствует, то необходимо показать её ветеринару.
Примерно на 4 месяце беременности опытный врач может уже прощупать в брюхе питомца малышей, однако, это лучше всего сделать с помощью УЗИ. Именно в этот период кошечку следует тщательно оберегать и хорошо заботиться о ней. Ни в коем случае не поднимайте кошку, поскольку вы можете придавить котят. Особенно в этом вопросе необходимо проконсультировать своих детей.
Пятая неделя
На пятой неделе, если вы не узнали, что ваша кошка беременна самое время показать её врачу. С помощью пальпации или УЗИ доктор скажет вам, есть ли беременность, как она протекает и сколько котят вынашивает будущая мама.
Шестая — седьмая неделя
Начиная с шестой недели беременности (от тридцати пяти дней до сорока двух) можно увидеть шевеление котят, которые в утробе, конечно, если ваша самка не слишком пушистая.
Именно в этот период её самочувствие должно налаживаться, поэтому может проснуться хороший аппетит.
Не отказывайте беременной ни в чём! Сколько она хочет есть, столько и давайте, помня о том, что она кормит не только себя, но и будущее потомство. При этом пища должна быть качественная и сбалансированная.
В период следующей недели даже посторонним невозможно будет не заметить, что ваша дама беременна. Поскольку кругленький животик вряд ли спрячешь.
Восьмая неделя
С наступлением пятидесятого дня после зачатия (восьмая неделя) кошка начинает тщательно ухаживать за собой. Её соски становятся ещё больше, выпуклее и розовее. В этот период кошка может сильно линять, во время вынашивания детёнышей – это нормально. Таким образом, кошка как бы готовится к родам. После рождения котят, шерсть обязательно отрастёт.
С наступлением этой недели, аппетит кошки может уменьшиться, поскольку быстрорастущие котята заслоняют всё пространство в животике своей мамы (и сильно не перекармливайте кошку, так как котята могут перерасти и кошке будет тяжело рожать). Чем ближе к родам, тем больше вероятности, что самка начинает искать место для родов. Заметив, что-то странное в её поведении, попробуйте поставить коробку или корзинку, в которую поместите стерильную мягкую ткань.
В этот период можно очень легко прощупать наличие малышей в утробе кошки. А также выделение молока из сосков кошки, свидетельствует о том, что организм уже готовиться к рождению нового потомства. Вы легко сможете увидеть это, поскольку очень часто оно подсыхает на кончиках сосков.
Девятая неделя — предвестник родов
Начинаются ответственные моменты! Приближаясь к девятой неделе (от 56 до 62 дней) у вашей кошки могут наблюдаться красноватые выделения из влагалища. В этом нет ничего страшного. Поскольку котята становятся всё больше и больше, то роды могут начаться в любой момент. Смотрите также беременность и роды британской кошки.
В принципе, по поведению будущей мамы, можно заметить начало родов, поскольку она:
- может чувствовать беспокойство;
- не отходить от своих хозяев;
- без причины мяукать;
- затаиваться в своём гнёздышке для родов.
Все эти факторы предвестники скорых родов!
Есть некоторые породы, которые донашивают детей до десятой недели. Если же она наступила, а кошка не порадовала вас ещё своими котятами, тогда будьте начеку, роды вот-вот начнутся. Но, если же время идёт, а роды не наступают, то следует срочно проконсультироваться со специалистом!
Как самостоятельно определить беременность кошки, видео инструкция

Люди всегда относились к кошкам с особой нежностью. Эти животные очень милые, и играть с ними одно удовольствие. И у каждой кошки наступает момент, когда она готовится произвести на свет потомство.
Период вынашивания проходит спокойно, и кошке не требуется помощь хозяев. Однако, чтобы владелец не был удивлен при появлении котят в доме, нужно знать, как определить беременность кошки.
Некоторым кошкам все же понадобиться помощь, да и при беременности следует уделять более тщательное внимание домашнему питомцу, чтобы роды и послеродовой период прошли легко, без проблем.
Люди, у которых впервые в доме появилось животное, не смогут самостоятельно распознать, как определить беременность кошки. Признаки беременности имеют некоторые особенности. Помимо различных рекомендаций владельцу следует стать внимательнее к своему питомцу, чтобы как можно раньше выявить беременность или другие изменения в здоровье кошки для оказания своевременной помощи.
Чтобы владелец не был удивлен при появлении котят в доме, нужно знать, как определить беременность кошки
Как изменяется состояние кошки во время беременности?
Как известно, после случки кошки с котом, наступление беременности отмечается не всегда. Иногда признаки наступившего оплодотворения могут быть ложными вследствие гормональных изменений в организме животного. Поэтому необходимо разобраться, как определить беременность кошки на ранних сроках.
Иногда признаки наступившего оплодотворения могут быть ложными вследствие гормональных изменений
Признаки изменения поведения кошки:
- в первую очередь следует проследить за животным внимательно: если после полового акта у питомца не наблюдается течка, это может означать наступление беременности, если в течение 24 часов течка не прекращается – оплодотворения нет;
- в период вынашивания котят у кошки изменяется характер поведения, некоторые постоянно просятся на руки, хотят, чтобы их гладили, очень любят спать около хозяев, у некоторых кошек, отмечается внезапное ухудшение аппетита, они становятся слишком спокойными, возможна рвота;
Такое поведение домашней любимицы проявляется в самом начале, однако говорить наверняка о беременности еще рано. Можно только предположить о том, что с организмом кошки происходят изменения.
В период вынашивания котят у кошки может измениться аппетит
В домашних условиях хозяевам в основном удается определить беременность кошки не ранее, как через 3-4 недели после оплодотворения. В данный период необходимо прощупать живот, но только очень осторожно, без чрезмерного давления, иначе при наличии беременности можно принести вред будущему потомству. Проводят самостоятельный осмотр только с помощью подушечек пальцев.
Если после полового акта у питомца не наблюдается течка, это может означать наступление беременности
Через месяц после случки у кошки начинают происходить изменения в сосках –их оттенок становится выраженно розовым, значительно увеличиваются в размерах. При кормлении кошка также будет вести себя иначе – аппетит возрастает, продукты, которые любила ранее, может не воспринимать, появляется охота питаться определенной едой.
[/attention][/attention][/attention]
В начале шестой недели периода беременности у кошки можно прощупать котят. Если беременность первая, количество потомства обычно меньше, чем у повторнородящей.
При наступлении 7 – 8 недели становится видно шевеление котят в животе кошки. В этот период можно ощупать котят и определить их головку и тело, а также ощутить стук их сердечка.
Укромный уголок для родов кошки
Перед окотом за 4 – 5 дней кошка становится более беспокойной в своем поведении, связано это с поиском удобного места для родов. Обычно животное редко попадается на глаза, потому что, для предстоящих родов ей понадобиться наиболее укромный уголок в доме.
Важно! Желательно в этот период подыскать хорошее место, иначе все может произойти на вашей кровати, либо даже в шкафу с одеждой.
Наиболее явными признаками скорого приплода (за 2-3 дня) являются чрезмерно набухшие соски и выделение молозива из них, появляется скудная слизистая жидкость из вульвы.
Ультразвуковое обследование – самое точное подтверждение наличия беременности у кошки
На заметку! За один день перед появлением на свет котят кошка сидит в своем уголке, а это значит начало подготовки к родам. В это время не следует мешать кошке или доставать ее и брать на руки.
Самое точное подтверждение наличия беременности у кошки – это ультразвуковая диагностика, но даже этот метод эффективен только через 1-2 недели после случки животного. Однако начало изменений в поведении домашнего питомца – это повод показать его ветеринару, чтобы удостовериться в отсутствии болезней либо в присутствующей беременности.
Особенности течения беременности
У кошек возможность к оплодотворению появляется после наступления половой зрелости. Первые 6 месяцев кошка считается котенком, о беременности которого можно еще не задумываться. Но чтобы в дальнейшем определить беременность у кошки, ее сроки, нужно ознакомиться с таким понятием, как течка у животного.
Течка у кошки – это начало половой зрелости
Течка у кошки – это начало половой зрелости, следовательно, период, когда кошка впервые может забеременеть. Для владельца это станет сигналом о способности животного к оплодотворению, после спаривания с котом.
Некоторые особенности наступления и течения беременности:
- в течение года течка у кошки может возникать 2-3 раза;
- в период течки домашняя любимица очень сильно меняется в поведении: падает на пол и начинает тереться животом, спиной, при этом мяукает, не переставая, может тереться об людей, иногда делает метки по дому;
В период течки домашняя любимица очень сильно меняется в поведении
- в начале течки, 1 и 2 день, у кошки теряется аппетит, мяуканье становится громким и интенсивным, однако при встрече с котом в эти дни кошка может его не подпускать к себе, а вот после первых дней течки кошка будет к случке;
- довольно редко встречается беременная кошка после начала первой течки, обычно оплодотворение наступает вследствие нескольких встреч с противоположным полом;
Если у владельца возникает потребность стерилизовать питомицу, то следует помнить, что данную процедуру лучше проводить у кошки после беременности, первой или вторичной, не имеет значения, главное, знать, как правильно определить момент половой зрелости и только затем обращаться к специалисту.
Сколько длится период беременности у кошек?
Первое, о чем стоит помнить, так это время, с которого начинается отсчет беременности – с момента случки и оплодотворения и по завершению этого периода родами. Средняя продолжительность периода вынашивания котят занимает от 62 до 68 дней. В случаях преждевременных родов котята появляются мертвыми.
Но это относится не ко всем породам кошек, так отмечены случаи, когда сиамские представители производили на свет потомство на 71 день беременности, и котята были живыми и вполне здоровыми.
Как нужно обращаться с кошкой во время беременности?
Для исключения различных инфекционных болезней животное лучше не выпускать из дома на весь срок беременности. Следует исключить общение с котами, чтобы не произошло новой случки, иначе котята могут умереть в утробе.
В дневной рацион следует включить полезные продукты с усиленным питанием, например, гречку
Если нет острой необходимости, не кормить кошку медикаментозными препаратами. В дневной рацион следует включить полезные продукты с усиленным питанием, например, гречку, рис, желток куриного яйца. Это будет полезно как для кошки, так и для будущих котят.
Включите рис в рационе кошки перед родами
Подобрать уютный угол для будущих родов желательно в теплом месте, без сквозняков и холода.
Важно! Если у кошки начались признаки, не характерные для беременности, следует незамедлительно обратиться в ветеринарную клинику для обследования животного.
Поведение кошки перед самым началом родов
Если начальный период беременности упущен по невнимательности владельца, следует знать, как определить начало родовой деятельности у кошки.
Большинство кошек не требует помощи при появлении котят
Животное за несколько дней перед окотом может полностью перестать питаться, поведение становится довольно нервное. В этот период можно заметить, как опускается живот, вытекают воды, оттенок которых серый с красной примесью. Родовая деятельность может длиться около суток.
Большинство кошек не требует помощи при появлении котят, они способны сами с помощью зубов перегрызть пуповину. Однако не все животные одинаковы, поэтому некоторые кошки просят помощи у хозяев.
Некоторым кошкам все же понадобиться помощь, да и при беременности следует уделять более тщательное внимание домашнему питомцу
В послеродовой период животному следует помочь восстановиться, проявляя заботу. Стоит обрабатывать молочные железы во избежание попадания бактерий.
Продолжительность беременности у кошек
фото с сайта: zayvesta.ru
Продолжительность беременности у кошек индивидуальна – срок вынашивания новой жизни зависит от породы вашей питомицы или особенностей ее организма, его готовности к серьезным переменам. В этой статье мы подробно рассмотрим каждый этап формирования и развития плода и дадим календарь, который поможет определить, что необходимо для будущей мамы в определенный период.
Определить «интересное» положение можно уже на третьей неделе – именно в это время у самки набухают и меняют свой цвет соски, а также может начаться токсикоз. Среди других признаков зарождения и постепенного развития эмбриона – улучшившийся аппетит будущей кормилицы, сонливость и отказ от активных игр.
Длительность беременности у кошек: сколько дней эти животные носят своих детенышей
Точно ответить на этот вопрос очень трудно – на срок влияют многие факторы. Это и родословная кошечки, и количество котят, которых она вынашивает в себе. Чем их больше, тем меньше вам придется ждать – малыши появятся на свет уже через 58 дней.
Как правило, кошачья беременность длится от 58 до 72 дней. При этом:
- У короткошерстных пород сроки чуть меньше, чем у длинношерстных – от 58 до 68 суток.
- Самки персов, бирманцев и британцев, от природы щедро одаренных густой шерсткой, носят детенышей 62-72 дня.
фото с сайта: puzyatka.ru
Какой срок беременности у кошек оптимальный: разбираемся в особенностях важного периода
Чересчур короткий срок, как и слишком долгий – повод для беспокойства. О патологии можно говорить, если беременность кошки длится гораздо меньше 58 дней. Задержка родов на неделю допустима, однако если котята не появляются на свет спустя несколько недель после возможной даты, следует обратиться к врачу.
В эту пору волнений для роженицы и ее хозяев важно оградить кошку от стрессов и внимательно следить за ее самочувствием. Необходимо полностью исключить риск выкидыша.
Его возможные причины:
- Вирусные инфекции – такие как панлейкопения или ринотрахеит.
- Бактериальные заболевания – вызванные сальмонеллой или кишечной палочкой.
- Неправильное положение плода в материнской утробе, его деформация или патологические изменения в размерах.
- Недоразвитость таза по причине незрелости кошки.
- Сильные боли и общее ослабление организма.
- Генетические патологии плода.
- Отсутствие или недостаток таурина, поступающего в организм с пищей.
фото с сайта: www.syl.ru
О произошедшем выкидыше говорят следующие признаки:
- Живот кошки не увеличивается, в некоторых случаях резко уменьшается в объемах (на поздних сроках).
- Животное отказывается от еды и питья.
- Хозяин может обнаружить следы плода или плаценты.
- Возникают гнойные или кровянистые выделения из половых органов.
- Температура тела роженицы увеличивается, начинается лихорадка.
Чтобы не допустить такого развития событий, необходимо ограничить активность кошки в период вынашивания плода. Многие беременные питомицы продолжают бурную деятельность: прыгают и играют с прежним азартом даже на поздних сроках.
Следите за тем, чтобы подобная активность не нанесла вреда здоровью животного.
Показывать самочку ветеринарному врачу нужно регулярно – его осмотры и проведенные анализы помогут выявить инфекции или заболевания (если они есть), влияющие на правильное развитие детеныша.
Сколько времени длится беременность у кошек (в месяцах)
фото с сайта: ladyzest.com
Кошка вынашивает плод около 2 месяцев. Важно окружить ее вниманием и заботой, ведь этот непростой для нее период – еще и время необычайной чувствительности животного к внешним раздражителям и болезням.
https://youtube.com/watch?v=GHVGU1r60uw
Для того чтобы беременность прошла без проблем, и на свет появились здоровые котята, необходимо:
- Не давать кошке запрыгивать на высокие предметы – это повышает риск выкидыша.
- Обеспечить полноценное питание 4-5 раз в сутки (при этом не позволяя животному переедать). В рационе должны быть продукты, содержащие кальций, белок, витамины и микроэлементы в полном объеме. С четвертой недели надо увеличить количество протеиновой пищи в меню будущей мамы.
- Исключить из рациона мясо в сыром виде – оно может послужить источником глистов.
- При запорах предложить животному свекольное пюре.
- Окружить питомицу теплом и заботой и найти ей укромное место для отдыха – подальше от источников шума.
Важно
В случае истощения кошки после перенесенной болезни необходимо добавить к корму (натуральному или сухому) витаминно-минеральные добавки. Делать это следует, предварительно посоветовавшись с врачом.
Сколько недель и дней длится беременность у кошки и как она протекает?
фото с сайта: www.syl.ru
Срок, в течение которого происходит вынашивание плода – около 9 недель или 63 дней. У представительниц некоторых пород он увеличивается и составляет до 72 суток. Как правило, это длинношерстные кошки – персидские, бирманские, британские и т. д.
Процесс развития новой жизни отражается на поведении домашней любимицы. Она становится более спокойной, больше отдыхает и спит. Нередко у нее проявляется токсикоз – явление индивидуальное и не указывающее на произошедшие нарушения. На третьей неделе соски меняют свой цвет, а на шестой из них может выделяться молозиво – знак того, что кошка готова выкармливать своих детенышей.
Еще одна характерная особенность – увеличение живота, связанное с постепенным растяжением матки. Течка может прекратиться, а может и продолжаться.
[/attention][/attention][/attention]
Это объясняется повышением внутрибрюшного давления, вызванного появлением плода (часто не одного, а нескольких котят).
- Нулевая – отсчитывается с момента зачатия. Овуляция происходит через 20-30 часов после успешной вязки. Первые признаки «интересного» положения можно наблюдать чуть позже.
фото с сайта: kotyata.net
- 1-3 – активность будущей мамы снижается, зато возрастает аппетит. Может появиться рвота – она возникает из-за растяжения матки и изменений в гормональном фоне. Соски становятся ярко-розовыми и заметно увеличиваются.
фото с сайта: vashipitomcy.ru
- 4-6 – на этом сроке плод прибавляет в размерах, эмбрионы становятся ощутимы при пальпации, производимой ветеринарным врачом. Живот начинает расти (особенно если в нем развиваются не один, а несколько котят). К 35-м суткам матку начинает постепенно наполнять жидкость. Определить количество малышей можно, проведя УЗИ.
фото с сайта: kot-pes.com
- 7-9 – котята начинают шевелиться. Поведение их мамы меняется – она заметно беспокоится, ищет тихое, укромное место для обустройства уютного и теплого гнезда. В этот период у вульвы могут скапливаться незначительные выделения белого цвета. За 3-4 дня до появления детенышей на свет кошка начинает волноваться больше обычного, всюду следует за своим хозяином. Температура тела может упасть, появляется предродовая слабость.
фото с сайта: kot-pes.com
Как определить срок беременности у кошки
Для того чтобы понять, на каком сроке ваша питомица, необходимо знать дату зачатия. Ответить на этот вопрос точно может только ветеринар на 21 день после оплодотворения.
В это же время возможно проведение первых исследований – ультразвуковой диагностики – и пальпации.
Трогать живот роженицы самостоятельно не рекомендуется – вы можете по неосторожности причинить вред эмбриону и будущей маме.
Описание понедельного календаря беременности для кошек: развитие плода
Многих владельцев беспокоит вопрос беременности кошек. Некоторые боятся этого периода и предстоящих родов. На самом деле беспокоиться не о чем. В данной статье будут рассмотрены все необходимые моменты интересного положения питомца.
Как определить беременность кошки
Если хозяева сознательно занялись разведением, то у них не возникнет проблем с определением беременности на ранних сроках. На что стоит обратить внимание:
- по прошествии двух недель после вязки у кошки повышается аппетит;
- происходит постепенный набор веса;
- соски становятся более темными и увеличиваются в размерах;
- токсикоз встречается редко, но тоже бывает. Питомца может начать рвать, появляется понос;
- более агрессивное поведение.
Беременность — ответственный период в жизни животного
К сведению! Если кот и беременная кошка живут вместе, самец может начать проявлять дополнительные знаки внимания к своей избраннице, постоянно охранять ее.
Сколько длится беременность у кошки
Беременность кошки по неделям в среднем длится от 10 до 17. Однако данные показатели являются относительными, поскольку животные, так же, как и люди, могут вынашивать плод дольше или, наоборот, меньше.
Сколько длится беременность у кошек: продолжительность
Однако недоношенность и поздние роды могут привести к неприятным последствиям. Если котята родятся раньше, чем на 10-ой неделе, с большой долей вероятности они окажутся нежизнеспособными. Если же срок вынашивания превышает 17 недель, это уже может грозить здоровью самой кошки. В данном случае ей может потребоваться медицинская помощь, чтобы благополучно родить.
Следует помнить, что будущей пушистой маме в период беременности также требуется врачебное обследование:
- чтобы оценить общее физическое состояние животного;
- рассчитать календарь беременности кошки;
- выяснить количество котят;
- определить, есть ли необходимость во врачебной помощи при родах. В редких случаях даже назначается кесарево.
Важно! Если у хозяина есть возможность, то будет лучше, если весь период беременности будет проходить под наблюдением специалиста, так же, как и у людей.
УЗИ
Как определить срок беременности у кошки
Постепенно увеличивающийся животик многих владельцев заставляет нервничать и беспокоиться. Для большего спокойствия можно вести календарь до родов кошки. Однако данный метод подходит для тех, кто приблизительно или точно знает момент зачатия.
Выделения у беременной у кошки: кровяные, желтого цвета
Беременность определяется и существенно проявляется уже на 16-18 день. Животик постепенно растет, соски набухают и становятся более темными. У будущей мамы увеличивается аппетит, что несомненно сказывается и на весе.
Однако это лишь визуальные признаки, которые мало что могут сказать владельцу. Определить, когда родит кошка, может помочь калькулятор беременности. Такие программы имеются в Интернете и достаточно просты в использовании. Однако хозяину также потребуется информация о дне вязки.
Важно! Более точный срок, если отсутствует информация о зачатии, сможет подсказать только врач ветеринар.
Календарь беременности кошек по неделям
Как передается токсоплазмоз от кошки к человеку
Развитие плода, стадии чаще всего обозначаются в неделях, а на ранних сроках используются дни. Ниже более подробно рассматривается внутриутробное развитие с самых первых дней.
Развитие по неделям
Первая неделя (0-7 дней)
Клетки эмбриона делятся, но свободно перемещаются по матке. Прикрепление к стенке происходит только спустя 7-10 дней после зачатия. Данный процесс называется имплантацией и с него начинается отсчет. Интернет-калькулятор родов кошки данный период также учитывает.
Вторая-третья неделя (8-21 день)
Происходит формирование плаценты. Уже на 15-е сутки ее формирование завершается, и она способна питать и защищать эмбрион. Размеры будущего котенка еще очень малы. Внешне он похож букву С, но даже в таком виде можно найти очертания будущих головы и хвостика.
К сведению! В это время появляются первые признаки беременности у кошки. Будущая мама становится более капризной, привередливой, может подолгу прятаться в тихом темном месте.
Четвертая неделя (22-28 дней)
Плодное яйцо увеличивается до размера 15-20 мм. В данный момент эмбрион кошки с трудом отличается от других млекопитающих. Начинается постепенное развитие внутренних органов, в том числе мозга и сердца.
Важно! УЗИ на данном этапе показывает биение сердца порядка 230 уд./мин.
К концу 28 дня у малыша начинают формироваться лапки, подушечки, коготки. Поведение кошки в этот период не меняется. Возможно появление токсикоза.
Пятая-шестая неделя (29-42 дня)
На 5-6 неделе постепенно формируются органы чувств. Как известно, у кошачьих хорошо развиты слух и чувство равновесия. Также на этом этапе происходит постепенная подготовка к отращиванию усов, появляются еще мягкие когти.
На этом же этапе развиваются нервная система и мышцы. Ребенок начинает активно шевелиться и толкать маму-кошку. Большинство специалистов склонно считать, что в это время заканчивается формироваться психика, поэтому стоит уделить большое внимание психологическому комфорту беременной кошки.
Седьмая-восьмая неделя (43-56 дней)
На рентгене хорошо просматриваются кости и позвоночник. Шерсть уже полностью сформирована. В целом на 50-й день котята уже готовы к рождению, но данный момент также зависит от породы.
Так, например, прямоухий британский кот, бенгальский, мейн-кун, шотландский вислоухий растут чуть медленнее, чем другие представители семейства кошачьих и, соответственно, живут дольше. По этой причине не стоит подгонять под единые рамки сроки беременности сфинксов и «британок».
Девятая неделя — предвестник родов
Мать-кошка постепенно начинает готовиться к родам. Организм проявляет первые симптомы, вроде пробных схваток. Хозяину следует внимательно следить за поведением, так как в предродовом состоянии питомец ищет укромное место. Важно также не создавать питомцу стрессовых ситуаций и хорошо кормить.
https://youtube.com/watch?v=SnwchGBy5ws
Развитый плод
10 неделя (64-й день и далее)
К этому времени появляются на свет уже те котята, которые относятся к поздним породам. Поведение кошки в указанный период становится более спокойным. Будущая мама ожидает рождение малышей в определенном месте, почти не покидая своей лежанки.
Хозяева могут приобрести или смастерить для кошки специальный домик. Главное, чтобы он был теплым и закрытым от посторонних глаз.
Плод на 13 неделе беременности
Для большинства кошек, которые не относятся к определенным породам, 13-я неделя — это уже превышение нормы. Дальнейшее вынашивание может привести к развитию чрезмерно крупного плода, что при родах способно нанести вред.
Важно! Если срок уже явно превышает установленный, лучше обратиться за помощью к врачу.
Плановые УЗИ при беременности
Специалист может назначить УЗИ почти в любой момент беременности, если состояние животного вызывает сомнения. На ранних сроках владелец может обратиться к ветеринару, чтобы подтвердить или опровергнуть наличие беременности.
Дальше отслеживается развитие плода, устанавливается количество будущих котят. В любом случае посещение ветеринарной клиники рекомендовано как в профилактических целях, так и при возникновении ощущений тревоги за состояние своего любимца.
Плановое УЗИ
Возможные патологии
При беременности у кошечек могут наблюдаться следующие патологии:
- маточная грыжа;
- отслоение плаценты, которое выявляется только на УЗИ;
- многоводие;
- гибель плодов в утробе матери.
Уход за беременной кошкой
После родов кошка не требует какого-то специального ухода. Убедившись, что с питомцем и новорожденными котятами все в порядке, человеку стоит оставить их в покое и тишине. Самка в состоянии самостоятельно отгрызть пуповину и вылизать своих малышей.
Единственным важным нюансом, касающимся ухода, является то, что в последующем лежанку необходимо будет периодически менять. А на протяжении определенного времени рядом с молодой мамой должны стоять вода и корм (влажный или легко усваиваемый).
Для человека кошачьи роды не являются чем-то сложным или страшным. В большинстве случаев животное само знает, что делать и как себя вести. Главное, беременную кошку хорошо кормить и обеспечить ей покой.
Протекание беременности у кошки по неделям в картинках
Хозяевам, которые обладают пушистой дамой, необходимо решить вопрос, будут ли они разводить её потомство. Этот вопрос очень серьёзный, поскольку кошки – это живые существа, и если котята окажутся никому не нужными, то за их жизнь будут отвечать именно владельцы.
И это не единственный трудный вопрос. Да, в первую очередь, необходимо найти новое жильё для маленьких питомцев, но на этом не всё.
Стоит рассмотреть ещё другие вопросы: в состоянии ли ваша пушистая дама рождать здоровых детей? Каков её возраст? Подходящее ли у неё здоровье? Какой образ жизни она ведёт? Сможете ли вы заботиться и обеспечивать свою кошку на протяжении всей беременности и после родов?
Если всё же вопрос решён и хозяева питомца, будут разводить очаровательных малышей, тогда перед преступлением к вязке, необходимо хорошенько изучить историю беременности.
Обычно беременность от самого оплодотворения до родов, длится у кошек примерно 62 дня. Но это также зависит и от породы, например, сиамская кошка, вынашивает малышей немного дольше.
Точно так же, как и у людей, у животных нет определённой даты родов. По этой причине владельцы должны рассчитывать, что рождение котят может произойти как раньше назначенного срока, так и позже.
Смотрите точный срок беременности у кошек.
Кликабельно Таблица продолжительности беременности кошки, в основном это 65 дней
Ниже, вы узнаете, что происходит в каждом периоде беременности кошки.
Календарь по считанным дням
Первая неделя
Первая неделя после спаривания самки с самцом проходит бесследно. Оплодотворённая яйцеклетка никак себя не выдаёт, поэтому хозяева не сразу смогут понять получилось ли забеременеть кошке или нет.
Но именно в эту первую неделю, если сперма доходит до яйцеклетки, то оплодотворяет её. Далее, начинает движение оплодотворённая яйцеклетка, двигаться она будет в свой дом на ближайшее время – матку.
Удивительно, но если кошку в одинаковый период зачатия, спаривать с разными котами, то она может вынашивать детей от разных котов.
Вторая неделя
На второй неделе (от восьмого и до четырнадцатого дня) движущиеся яйцеклетки достигают матки. После чего они погружаются в неё, и начинается процесс формирования котят.
Третья — четвертая неделя
Следующие две недели (от четырнадцатого дня и до двадцати седьмого) зачатые эмбрионы вступают в процесс развития органов.
По этим причинам у кошки резко меняется гормональный фон, что может сказаться на её настроении, аппетите и сне. Также по внешнему виду уже можно будет распознать, что кошка беременна.
Поскольку её соски опускаются ниже (опухают) и могут быть как тёмного, так и розового цвета.
Именно в эту третью и четвёртую неделю беременности кошка может почувствовать рвотные рефлексы, поэтому будет отказываться даже от самой любимой пищи. Может быть и рвота, поэтому необходимо очень тщательно наблюдать за животным, ведь если она очень частая и кошка себя совсем плохо чувствует, то необходимо показать её ветеринару.
Примерно на 4 месяце беременности опытный врач может уже прощупать в брюхе питомца малышей, однако, это лучше всего сделать с помощью УЗИ. Именно в этот период кошечку следует тщательно оберегать и хорошо заботиться о ней. Ни в коем случае не поднимайте кошку, поскольку вы можете придавить котят. Особенно в этом вопросе необходимо проконсультировать своих детей.
Пятая неделя
На пятой неделе, если вы не узнали, что ваша кошка беременна самое время показать её врачу. С помощью пальпации или УЗИ доктор скажет вам, есть ли беременность, как она протекает и сколько котят вынашивает будущая мама.
Шестая — седьмая неделя
Начиная с шестой недели беременности (от тридцати пяти дней до сорока двух) можно увидеть шевеление котят, которые в утробе, конечно, если ваша самка не слишком пушистая.
Именно в этот период её самочувствие должно налаживаться, поэтому может проснуться хороший аппетит.
Не отказывайте беременной ни в чём! Сколько она хочет есть, столько и давайте, помня о том, что она кормит не только себя, но и будущее потомство. При этом пища должна быть качественная и сбалансированная.
В период следующей недели даже посторонним невозможно будет не заметить, что ваша дама беременна. Поскольку кругленький животик вряд ли спрячешь.
Восьмая неделя
С наступлением пятидесятого дня после зачатия (восьмая неделя) кошка начинает тщательно ухаживать за собой. Её соски становятся ещё больше, выпуклее и розовее. В этот период кошка может сильно линять, во время вынашивания детёнышей – это нормально. Таким образом, кошка как бы готовится к родам. После рождения котят, шерсть обязательно отрастёт.
С наступлением этой недели, аппетит кошки может уменьшиться, поскольку быстрорастущие котята заслоняют всё пространство в животике своей мамы (и сильно не перекармливайте кошку, так как котята могут перерасти и кошке будет тяжело рожать). Чем ближе к родам, тем больше вероятности, что самка начинает искать место для родов. Заметив, что-то странное в её поведении, попробуйте поставить коробку или корзинку, в которую поместите стерильную мягкую ткань.
В этот период можно очень легко прощупать наличие малышей в утробе кошки. А также выделение молока из сосков кошки, свидетельствует о том, что организм уже готовиться к рождению нового потомства. Вы легко сможете увидеть это, поскольку очень часто оно подсыхает на кончиках сосков.
Девятая неделя — предвестник родов
Начинаются ответственные моменты! Приближаясь к девятой неделе (от 56 до 62 дней) у вашей кошки могут наблюдаться красноватые выделения из влагалища. В этом нет ничего страшного. Поскольку котята становятся всё больше и больше, то роды могут начаться в любой момент. Смотрите также беременность и роды британской кошки.
В принципе, по поведению будущей мамы, можно заметить начало родов, поскольку она:
- может чувствовать беспокойство;
- не отходить от своих хозяев;
- без причины мяукать;
- затаиваться в своём гнёздышке для родов.
Все эти факторы предвестники скорых родов!
Есть некоторые породы, которые донашивают детей до десятой недели. Если же она наступила, а кошка не порадовала вас ещё своими котятами, тогда будьте начеку, роды вот-вот начнутся. Но, если же время идёт, а роды не наступают, то следует срочно проконсультироваться со специалистом!
Беременность кошки:
Поделиться:







