Опытные мамочки знают, что наиболее опасный период беременности – это её начало. Организм женщины и ребёнка особенно сильно подвергается риску на ранних сроках.
Врачи-гинекологи утверждают, что на первом триместре беременности самая большая вероятность потери плода. Исходя из этого, будущим мамам необходимо отнестись со всей ответственностью к ситуации и принять все необходимые меры.
Эта статья расскажет вам о том, как распознать угрозу и избежать неприятных последствий, сохранив своё здоровье и здоровье вашего малыша.
На сегодняшний день ни одна женщина, ожидающая ребёнка, не может получить гарантий о благополучной беременности. Даже если вы сильная и полностью здоровая мама, всегда нужно быть начеку. Самая распространённая причина выкидыша – это отслаивание плодного яйца. По этой причине происходит самопроизвольный аборт.
Когда начинается отслаивание яйца от хориона, повреждаются сосуды, вследствие чего появляется рана. Это приводит к тому, что кровь накапливается за оболочкой плода и образуется ретрохориальная гематома. Её размеры могут увеличиваться, увеличивая риск выкидыша. Если не лечить это явление, то это может закончиться абортом.
Вовремя обратившись к специалисту, можно предотвратить опасность и спасти своего малыша. Нельзя однозначно сказать, почему происходит отслаивание плодного яйца. Однако есть основные причины, на которые стоит обратить внимание:
- организм часто подвергается стрессам;
- употребления алкоголя в больших количествах;
- если вы ранее делали аборты;
- недостаток гормона (прогестерон);
- большие нагрузки на организм (физические);
- если есть болезни в области гинекологии;
- негативное влияние экологии;
- факторы бытового и производственного характера.
К сожалению, заранее знать, случится это с вами или нет, невозможно. Такая ситуация может возникнуть при любых условиях. Именно поэтому необходимо быть внимательной к своему организму, чтобы вовремя обнаружить наличие проблемы.
Чаще всего у женщины может болеть внизу живота. При этом боли можно назвать тянущими, ощущения такие же, как во время менструации. Возможны выделения (немного кровянистые). Обнаружив такой симптом, нужно немедленно ехать к врачу.
Когда яйцо начинает отслаиваться, можно заметить следы на белье жёлтого или коричневого цвета. Иногда выделения тёмного цвета говорят о том, что происходит рассасывание гематомы, однако, процесс надрыва может повториться.
В некоторых случаях отслоение может происходить без выделений.
Советуем также почитать: Газообразование при беременности
Для того чтобы обнаружить проблему, врачу необходимо будет использовать ультразвук. Некоторые считают, что отслойка яйца – это вполне естественное явление. При здоровом и сильном плоде есть большая вероятность того, что он сохранится, и будет развиваться дальше.
Но если вы хотите родить своего ребёнка, ни в коем случае не стоит пренебрегать врачебным осмотром и лечением, так как это может негативно сказаться на вашей беременности.
Если вы заметили боли внизу живота и обратились в хорошую клинику, тогда вы должны знать, как именно будет обнаружена или не обнаружена отслойка яйца.
Прежде всего, вас должен осмотреть гинеколог и с помощью ультразвука определить состояние хориона, а также наличие гематомы.
Врач прослушает сердцебиение ребёнка (это можно осуществить только по истечении шестой недели беременности, а обнаружить плод – на третьей или четвёртой неделе).
Этот опасный процесс может происходить абсолютно по-разному. Рассмотрим возможные варианты:
Бывают случаи, когда женщина не подозревает о своей беременности, так как сроки слишком маленькие, чтобы её обнаружить. Ещё до задержки менструации (первая или вторая неделя) беременность может прерваться.
Конечно, ультразвук ничего показать в этом случае не сможет, но вот сдав анализ крови, вы можете узнать о зачатии. Такие ситуации возникают всё чаще. При этом на таких ранних сроках могут быть выделения, что ошибочно можно принять за менструацию.
Причина отслойки – нарушения, возникшие, когда зародыш только начался формироваться. Сбившийся гормональный фон также может послужить основой для возникновения отслойки плодного яйца.
Советуем также почитать: Защемление седалищного нерва при беременности
Происходит частичное отслоение от матки, что приводит к гематоме. Возникают болевые ощущения внизу живота и выделения. Но если вовремя начать лечение, то можно сохранить плод.
Плодное яйцо полностью отслаивается от матки, которая впоследствии пытается освободиться от зародыша. Возникают сильные боли, схватки в области живота. Также может открыться кровотечение, что очень опасно для жизни женщины. При полном отслоении необходимо прервать беременность.
В таких условиях зародыш умирает ещё до того, как происходит отслоение плодного яйца. При этом на обследовании ультразвуком невозможно определить сердцебиение плода.
Матка начинает уменьшаться в размерах, исчезают все признаки, свидетельствовавшие о беременности. Внизу живота появляются боли, а за ними и выделения.
Процесс отслоения плодного яйца происходит только спустя одну-две недели после гибели зародыша. Плод необходимо удалить с помощью хирургического вмешательства.
Если была обнаружена угроза выкидыша, то необходимо положить будущую маму на сохранение в клинику. Вы имеете полное право подписать отказ, но лучше пройти полное лечение под точным контролем доктора во избежание последствий.
Нужно понимать, что при обнаружении проблемы вы постоянно должны находиться в состоянии покоя, избегать каких-либо нагрузок (стрессовых или физических), соблюдать постельный режим.
Ваш животик должен находиться в спокойном состоянии. Это означает, что малейшее движение создаёт внутренние вибрации, что приводит к повышенному внутрибрюшному давлению.
Врачи вам могут посоветовать класть под ягодицы мягкую подушку, чтобы обеспечить отток крови.
В данном случае будущей маме могут назначить специальный рацион питания, который включает в себя лёгкие продукты. Это поможет избежать газообразования. От чая или кофе необходимо отказаться, отдавая предпочтение другим полезным напиткам. В это время кишечная перистальтика вам не пойдёт на пользу.
Советуем также почитать: Симфизит при беременности
Для того чтобы обезопасить ваше здоровье и состояние плода, лучше избегать половых отношений, если был обнаружен риск прерывания беременности. Большую роль играет позитивный настрой мамы и наличие радостной атмосферы. Никаких стрессов, волнений, переживаний быть не должно.
Многие беременные женщины не хотят лишний раз принимать таблетки, но в этом случае без них никак не обойтись. Эти лекарства не смогут вам навредить, а наоборот, помогут сохранить ребёнка.
- лекарства, способные остановить кровотечение;
- гормональные препараты;
- витамины;
- медикаменты, останавливающие боли в области живота.
Отзывы о таких препаратах вы можете прочитать в интернете или обратиться к своему доктору. Каждый случай является индивидуальным, поэтому стоит прислушаться к врачу и выполнять все его предписания.
Ответить на этот вопрос сложно, так как все ситуации отличаются, и лечение у всех проходит по-разному.
Однако можно с уверенностью сказать, что большую роль играет ответственность беременной и строгое выполнение всех врачебных рекомендаций.
Обычно на то, чтобы остановить отслоение плодного яйца уходит от двух недель и больше. Поэтому если вы желаете поскорее выздороветь, отнеситесь ко всему серьёзно.
После выздоровления вам необходимо будет находиться под врачебным наблюдением, пока вы не родите своего здорового малыша. Учитывая это нужно обязательно посещать все плановые осмотры и обследования, не пропуская ни одного визита к врачу. Гинекологи говорят, что риск повторного отслоения плодного яйца будет присутствовать до тех пор, пока полностью не закончится формирование плаценты.
Итак, мы разобрались, что такое отслойка плодного яйца, почему она происходит и какой бывает. Мы узнали, в каких случаях можно спасти беременность и родить здорового ребёнка. Если ответственно относится к своему здоровью, то есть большие шансы на выздоровление. Будьте внимательны к себе и не забывайте, что жизнь малыша напрямую зависит от вас.
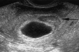
Плодное яйцо обнаруживают на УЗИ в виде небольшого пузырька, обычно на 4-6 неделях беременности, а его размеры считаются главной характеристикой. Нормальное развитие может замедлиться из-за различных патологий. Чаще всего встречается отслойка, сопровождаемая гематомой и, возможно, деформацией.
Вести разговоры о том, что размеры плодного яйца не соответствуют срокам беременности, по меньшей мере некорректно. Этот параметр очень индивидуален для каждой женщины, кроме того, многое зависит от срока овуляции.
Ведь акушерский срок считают от даты последних месячных.
А овуляция может наступить через неделю – тогда плод будет крупнее, или через три недели, прямо перед предполагаемыми месячными, и плод окажется намного меньше среднестатистического значения.
Хотя, конечно, за десятилетия наблюдений были выведены некие усредненные параметры, на которые ориентируются врачи.
Но только с учетом того, что овуляция у женщины прошла ровно в середине цикла, на этом основываются расчеты медиков. Иначе он вполне может составлять две-три недели или даже почти шесть.
Маленький зародыш
Обычно же такой маленький пузырек может не просматриваться на аппарате, и это вполне нормально. Также трудно определить, какой срок, если размеры составляют всего 4 мм.
Это может быть и шесть недель, и семь, или три-четыре-пять недель. И такой размер далеко не всегда удается увидеть на экране при прохождении первого обследования.
Его назначают, если женщина обращается к гинекологу с задержкой месячных.
Для определения беременности учитывают результаты теста на ХГЧ. Могут назначить анализы мочи, крови. Уточняют диагноз повторным УЗИ спустя 6–14 суток. Никаких реальных причин для волнения пока нет при условии обычного самочувствия и отсутствия любых других симптомов.
Плодное яйцо диаметром в 6 мм, причем это не указывает, какой реально срок беременности, удается увидеть практически на любой аппаратуре. Вообще диаметр зародыша может быть очень разным у женщин на одной и той же неделе.
Принято считать, что расхождение может достигать полутора недель как в сторону уменьшения, так и увеличения. То есть, определяя, какой срок беременности у женщины с плодным яйцом 5 мм, можно говорить о приблизительном периоде от трех до шести недель.
Разрешена ли флюорография на ранних сроках беременности.
Учитывая это, в качестве ориентира можно использовать данную таблицу. В ней указан диаметр зародыша и среднее количество недель, к нему можно прибавить или вычесть одну неделю и три дня.
Диаметр учитывается внутренний, поскольку именно его очень четко видно на УЗИ. Врач записывает средний показатель, поскольку зародыш имеет не строго сферическую форму.
Этот показатель называется СВД – средний внутренний диаметр.
| Срок беременности, недель | СВД, мм |
| 5 | 6–10 |
| 6 | 11–18 |
| 7 | 19-26 |
| 8 | 27-34 |
| 9 | 35-43 |
| 10 | 44-50 |
| 11 | 51-61 |
| 12 | 62-68 |
Например, при плодном яйце 7 мм можно примерно узнать, какой срок у женщины. Этот СВД соответствует значению 5 недель в таблице. Отнимаем неделю и три дня, добавляем неделю и три дня, получаем, что срок составляет от трех с половиной до шести с половиной недель. Конечно, подобный расчет все равно остается приблизительным.
После оплодотворения яйцеклетка движется по маточной трубе в матку. Все это время она делится, сначала надвое, потом на четыре клетки и так далее. Это и есть плодное яйцо. К моменту имплантации его внешняя оболочка преобразуется в хорион со множеством ворсинок-жгутиков, которыми зародыш проникает в стенку матки.
Отслойкой плодного яйца называют процесс, когда оно отделяется от уже закрепившегося хориона, что бывает на ранних сроках беременности. Это один из самых частых диагнозов для лечения угрозы.
Хотя можно говорить о том, что таким образом природа реализует естественный отбор.
Но эта ситуация может наблюдаться несколько раз. Так только-только зародившаяся жизнь борется за свое существование. Очень часто удачно, ведь многие женщины даже не замечают легкой степени патологии и успешно рожают здорового малыша. То, что было отслоение, выясняется при УЗИ на ранних сроках или уже после родов, по рубцам, которые остаются на плаценте.
Как выглядит
Конкретную причину патологии очень сложно определить. Она может быть вызвана:
- недостаточным производством прогестерона, что приводит матку в тонус;
- нервно-психическими потрясениями;
- слишком высокими физическими нагрузками;
- пороками развития матки;
- наличием гинекологических болезней;
- опухолями;
- инфекциями, перенесенными беременной;
- пороками развития зародыша;
- конфликтом резус-факторов у беременной и плода;
- неудовлетворительной обстановкой (в быту, экологии, на работе);
- алкоголизмом, курением;
- абортами в прошлом.
На каком сроке беременности это проявится, важен ли диаметр плодного яйца, например, в 10 мм, – неизвестно. Но будущая мама вполне способна повлиять на развитие зародыша. Исходя из списка, большинство причин зависят именно от нее. Полноценное питание, врачебный контроль, своевременное лечение болезней, правильный образ жизни во многом способны предотвратить серьезные последствия.
Необходимо следить за своим эмоциональным состоянием. Это едва ли не самая частая причина всех проблем современных беременных. Особенно часто они переживают из-за непонятных формулировок. Например, узнав, что в расшифровке УЗИ отмечено «плодное яйцо 8 мм», начинают выяснять, какой это срок беременности и правильно ли она у них развивается.
Признаками угрозы выкидыша являются плохое самочувствие и боли в животе
Обнаруживая какие-то надуманные несоответствия, спешат «проконсультироваться» в интернете, с подружками. Не разобравшись в ситуации, переживают, зарабатывая себе серьезные проблемы. Так поступать нельзя. Не говоря уже о бытовых ситуациях или рабочих моментах, которые вообще должны отойти на второй план.
Но если есть реальная угроза, то нужно четко соблюдать рекомендации врачей. Признаками ее становятся:
- красные кровянистые выделения;
- боли в животе.
Выделения появляются из-за того, что отслойка на ранних сроках приводит к появлению гематомы плода. Так происходит вследствие разрыва кровеносных сосудов. Выделений при этом может не быть. Опаснее всего именно красные, это говорит о том, что процесс находится в стадии развития.
Серьезным поводом для того, чтобы отправиться в больницу, становятся сукровичные выделения. Они сопровождаются тянущими болями в животе. Если же отслойку обнаружили на УЗИ, направили на лечение, после которого появились коричневые выделения, то это говорит о его успешности. Они вызваны процессом рассасывания гематомы, что может подтвердить врач.
В дополнение к этим симптомам узист может указать на деформацию плода на ранних сроках беременности. Обычно она вызвана тонусом матки. При выполнении рекомендаций врача переживать особенно не стоит. Но этот признак может свидетельствовать о замершей беременности, отсутствии эмбриона и других патологиях, требующих дополнительных исследований.
Лечение отслойки может проводиться дома или в стационаре. Если ее степень легкая или средняя, врач назначает препараты, которые женщина должна принимать дома. Более тяжелые случаи требуют стационарного лечения.
Нет никакой зависимости от срока беременности, диаметра плода, который может быть на момент обнаружения патологии любым, например, 11 мм. Но угрозу потери даже такого маленького зародыша уже удается обнаружить на УЗИ, значит, есть возможность сохранить его. Конечно, выполняя рекомендации врача.
Возможно, стоит обратиться еще к нескольким врачам, сходить в платную клинику. Если у беременной нет доверия к собственному врачу, стоит наблюдаться у другого. Когда аппаратура устаревшая, сложно рассмотреть подробности. Женщина, которую ничего не беспокоит, может оказаться здоровой, а диагноз бывает поставлен на основе искаженных данных.
Не пренебрегайте своим плохим самочувствием
Нельзя делать одного – оставлять все на самотек. Даже при малом сроке беременности, когда зародыша составляет всего 11 мм, есть очень серьезные риски не только потерять ребенка, но и получить серьезные осложнения для собственного организма.
- Выкидыш.
- Некротизация эндометрия вследствие наполнения кровью с последующим удалением матки.
- Сильные кровотечения с соответствующими последствиями, вплоть до летальных.
Своевременное лечение – практически гарантированная возможность избежать их.
Какой бы размер ни имело плодное яйцо, хоть до 12 мм, хоть более, на каком бы сроке беременности ни была женщина, где бы ни лечилась – дома или в больнице, первым требованием врача будет соблюдение полного покоя. Нужно только лежать, желательно с приподнятым тазом. Разрешается лишь сходить в туалет или покушать, но некоторые даже это умудряются делать лежа.
Назначается диета, способствующая нормальной перистальтике кишечника. Слишком активные сокращения могут привести к тонусу матки. Нельзя заниматься сексом. Нужно следить за эмоциональным состоянием.
Лекарства, помогающие сохранить плодное яйцо при отслойке, назначаются врачом. Обычно это препараты с магнием, а также кровоостанавливающие при необходимости, расслабляющие гладкие мышцы, успокоительные. Могут использоваться гормональные препараты. Конечно, обязательны специальные витаминные комплексы.
https://youtube.com/watch?v=9MqgGABmbZg
Вся правда: почему не хватает воздуха при беременности и как победить глисты при беременности.
- Коричневые выделения на ранних сроках беременности
- Почему болит желудок при беременности
- Повышенные показатели РФМК при беременности
- Каменный живот при беременности
- Почему болит пупок при беременности
- Кровянистые выделения на ранних сроках беременности
Информация, опубликованная на сайте Sberemennost.ru только для чтения и предназначена лишь для ознакомления. Посетители сайта не должны использовать их в качестве медицинских рекомендаций!
В первые дни беременности женщина должна себя беречь как никогда, потому что именно в этот период она подвергается высокому риску потери ребёнка. Когда в организме есть какие-то отклонения, происходит отслойка плодного яйца. Это начальная стадия самопроизвольного аборта.
В акушерстве и гинекологии существует понятие «ретрохориальная гематома». Применение этого термина уместно тогда, когда плодное яйцо отторгается от хориона.
В этом месте из-за повреждения сосудов образуется рана, а за плодной оболочкой скапливается кровь и получается эта самая гематома. С увеличением кровяного образования увеличивается шанс отслойки плодного яйца.
Современная медицина позволяет сохранить беременность и не допустить наступления выкидыша, если же вовремя не остановить этот процесс, гибель эмбриона будет неизбежна.
Причин самопроизвольного аборта очень много, которые бывает очень сложно определить, но стоит знать их, чтобы уменьшить риск выкидыша. Стрессы и тяжелые физические нагрузки с легкостью могут стать причиной прерванной беременности, но в большинстве случаев женщина может избежать их.
Употребление алкоголя, курение, различные неблагоприятные факторы, а также искусственные аборты в прошлом напрямую влияют на течение беременности. Существует огромное количество заболеваний, способных воздействовать на отслойку плодного яйца: инфекционные, вирусные заболевания, опухоли, патологии матки, гинекологические заболевания, пороки развития плода.
Резус-конфликтная беременность — серьёзная проблема, которая не зависит от женщины, но часто приводит к выкидышу.
Врачи настоятельно рекомендуют будущим мамам внимательно относится к себе, потому что отслойка плодного яйца может произойти у любой из них. К сожалению предвидеть эту ситуацию очень трудно.
Когда же это произошло, появляются первые симптомы в виде тянущих болей внизу живота, которые часто сопровождаются выделениями с кровью и имеют коричневый цвет.
Такие выделения подтверждают тот факт, что ретрохориальная гематома начинает рассасываться, но повторный надрыв всё-таки может произойти, поэтому, почувствовав эти симптомы, женщина должна незамедлительно обратиться к врачу. Окончательный диагноз врач может поставить по результатам
Отслойка плодного яйца может повторятся несколько раз и только, если плод полноценный, он может выдержать, надежно закрепиться и дальше развиваться без проблем. Всё это происходит только на начальном этапе.
Врачи требуют в таких случаях незамедлительно лечь на сохранение и пройти лечение, потому что без этого риск выкидыша очень большой.
Впрочем, каждая беременная вправе отказаться от стационара, но должна помнить, что постоянное наблюдение врача увеличит шанс предотвращения самопроизвольного аборта.
Любые движения, даже самые незначительные, усиливают внутрибрюшное давление, а вместе с ним и тонус матки, что ускоряет процесс отслойки плодного яйца.
Ещё, в период лечения следует обеспечивать отток крови с тазовой области, для этого в лежачем положении под ягодицы можно подкладывать подушку.
Нельзя в это время держать в напряжении кишечник, поэтому женщине стоит соблюдать определённую диету, которая заключается в том, чтобы не есть продукты, способные нарушить нормальный стул. Следует также избегать газообразования и употребления чая и кофе.
Исключить из жизни будущей мамы в этот период также необходимо стрессы, эмоциональные потрясения любого характера и половые контакты.
Помимо этих простых требований, которые женщина без проблем может выполнить сама нужно ещё придерживаться лечения медикаментами. Его должен назначить только врач. Даже самой серьёзной противнице лекарств во время беременности нужно понимать, что без них не обойтись.
Приём лекарственных препаратов реально помогает сохранить беременность.
Во время отслойки плодного яйца назначаются кровоостанавливающие (Этамзилат), спазмолитические (Но-шпа, Папаверин, Магне В6), успокаивающие (Экстракт валерианы) и гормональные (Дюфастон, Утрожестан) препараты, а также витамины (витамин Е и фолиевая кислота).
Лечение длится около двух недель, в индивидуальных случаях это время может увеличится, но чем лучше женщина будет выполнять все требования, тем быстрее наступит восстановление.
После этого, до конца беременности будущая мама должна находиться под строгим наблюдением врача и не пренебрегать тем, что назначает и рекомендует гинеколог.
Женщине, которая перенесла отслойку плодного яйца на раннем сроке беременности, необходимо знать, что риск остаётся реальным до тех пор, пока плацента не будет окончательно сформирована.
Автор публикации: Святослав Ситников
Прежде всего, давайте разберемся, что собой представляет плодное яйцо. Это субстанция, в которой развивается эмбрион, кроме того, здесь же есть желточный мешок, благодаря которому плод получает питательные вещества.
То, что находится внутри яйца, называется амнионом и представляет собой водную оболочку. С наружной части располагается хорион, этот слой является пограничным со стенками матки. Именно из него в дальнейшем образуется плацента.
Как происходит отслойка яйца от слизистой матки? Причин немало, чаще всего неблагоприятные внешние условия. Данная патология – это начальный этап выкидыша. Поскольку в яйце происходит разрыв сосудов, то здесь запекается кровь и появляется гематома.
Патология представлена в трех степенях:
- легкой;
- средней;
- тяжелой.
Если отслойка незначительная, а кровоподтек уменьшается день ото дня, то это не представляет опасности для женщины. Но обязательно лечение и постоянный контроль. В противном случае до рецидива не так далеко.
Об опасности следует говорить, когда отслойка плодного яйца составляет больше 40%. Последствия ˗ самые негативные, в том числе, потеря ребенка.
Врачи всегда затрудняются назвать причину, по которой возникает патология. Единодушны они в одном ˗ почти всегда виноваты хромосомные аномалии, наблюдаемые в эмбрионе.
Но кроме этого, к факторам риска следует отнести:
- недостаток прогестерона;
- гипертония;
- вредные привычки;
- инфекционные недуги.
Всего в этом списке порядка полутора десятка причин. Это и возраст женщины, и негативные факторы, и многие другие. Возможно и отторжение плода женским организмом, что обычно бывает при несовместимости резус факторов у мамочки и ребенка.
Размер отслойки имеет прямое отношение к симптомам. Если на легкой стадии нарушения могут проходить без выделений, то на средней женщина испытывает боль внизу живота, что свидетельствует о тонусе матки. А также могут появиться кровянистые выделения, наблюдаемые после отслойки.
Если они коричневого оттенка, то это свидетельствует, что кровоизлияние уже произошло, но без гематомы. И теперь кровь выходит из матки. А вот ее алый цвет говорит о необходимости срочного обращения к врачу.
К другим симптомам следует отнести:
- падение артериального давления;
- сильный токсикоз.
А вообще в первом триместре любое нарушение в организме женщины следует рассматривать как патологию. Конечно, без паники и излишней нервозности, но бдительность никогда не помешает.
Как только появились недомогания, женщина должна сразу обратиться к гинекологу. Чтобы определить причину частичной отслойки, обязательно назначают ряд исследований.
В первую очередь речь идет об УЗИ, показывающем отслойку плодного яйца и ее степень. Если исследование показывает изменение формы плодного яйца, то это может свидетельствовать об угрозе потери ребенка.
Кроме того, назначают и другие виды исследований:
- традиционные анализы крови и мочи, благодаря которым исключаются воспалительные процессы;
- коагулограмма, устанавливает проблемы с нарушением свертываемости крови;
- мазок, определяющий патогенную микрофлору;
- на гормоны, исследования покажут проблемы гормонального характера.
Большая отслойка, наблюдаемая на раннем сроке, часто завершается потерей плода. Если определить, почему происходит отслоение плодного яйца, врачу не всегда удается, то исследования помогут узнать степень поражения.
Как только диагноз будет поставлен, врач сразу отправляет женщину в больничную палату. Главное условие успешного лечения ˗ полный покой. В этой связи у мамочек возникает вопрос, можно ли ходить, если обнаружена отслойка плодного яйца.
Если случай достаточно тяжелый, то только постельный режим. Все дело в брюшной стенке, которая всегда должна быть расслабленной. При малейшем движении она приходит в тонус, появляется давление внутри брюшной полости, что, в свою очередь, сказывается на тонусе матки.
Последнее провоцирует отслоение плодного яйца. Я бы советовала при постельном режиме еще подложить под ягодицы подушку, это позволит минимизировать кровоток в тазовой зоне. Что делать в это время женщине, кроме постельного режима?
Придерживаться следующих рекомендаций:
- соблюдать диету;
- избегать половых контактов.
Если с последним все понятно: никакого напряжения для матки, то многие недоумевают, почему необходима диета. Все дело в недопустимости активной перистальтики кишечника, что может спровоцировать запор или диарею. И в том и другом случае возможно осложнение.
Помимо этого, не стоит забывать о стабильности эмоционального состояния женщины. Стрессы, волнения, переживания относятся к негативным внешним факторам, которые, как вы помните, вызывают патологию. Все это особенно важно соблюдать в первые недели беременности, часто проблема возникает на 7 неделе.
Патология требует не только внимания женщины к своему поведению, но и медикаментозного лечения. Это особенно важно, если проблема возникла после ЭКО, когда наблюдается многоплодная беременность.
В списке назначений врача:
- кровоостанавливающие — Этамзилат;
- спазмолитики — Но-Шпа, Папаверин, Магне В6;
- успокаивающие — валериана.
Помимо этого, назначают витамины, это Фолиевая кислота и витамин Е, а также гормональные составы, к которым относятся Утрожестан, Дюфастон. Курантил часто назначают при отслойке плодного яйца, если есть угроза рецидива. Препарат усиливает кровообращение в плаценте, причем не проникает в само яйцо, что делает состав безопасным для плода.
Многочисленные отзывы о Курантиле говорят и его высокой эффективности. Курс лечения назначается врачом индивидуально, специалист учитывает степень патологии и общее состояние организма мамочки. Как правило, лечение составляет не меньше двух недель.
Но и после этого, если женщину выписывают из больницы, она должна находиться под пристальным вниманием лечащего врача а также строго следовать всем его рекомендациям. Я уверена, если вы будете следовать всем назначениям, то ваша беременность будет протекать без патологий.
И здесь вам понадобиться для хорошего настроения платье для беременных «BuduMamoy». Выполненное их полиэстера, оно подойдет женщине на любом сроке беременности. Длина до щиколотки, небольшой рукав, отрезное под грудью ˗ все это позволяет женщине чувствовать себя комфортно. А красивая ткань платья ˗ крупные цветы по розовому полю, делают мамочку неотразимой.
Дорогие мои, мамочки!
Отслойка плодного яйца ˗ это не приговор беременности, это предупреждение о том, что вы должны вести себя крайне осторожно. Патология успешно лечится в легкой стадии. Но лучше об этом узнать заблаговременно, чтобы в сложный момент не поддаться панике.
Вот почему вам следует рассказать о статье своим подругам, в том числе, в социальных сетях. Чтобы получать новости и обновления блога, подпишитесь на него. У меня немало тем, которыми я хотела бы поделиться с вами. До свидания!
С уважением, Татьяна Чудутова, мама троих замечательных детишек!
Даже полностью здоровые и сильные женщины, к сожалению, не могут быть застрахованным от такого неприятного процесса. Выкидыш на ранних этапах беременности происходит по причине отслойки плодного яйца. Этот процесс является первой стадией самопроизвольного аборта.
Важно! Когда плодное яйцо отторгается от хориона, то в результате повреждения кровеносных сосудов образуется небольшая ранка. Кровь начинает скапливаться за плодной оболочкой, в результате чего формируется гематома. Медики называют ее ретрохориальной.
Возникшая гематома имеет свойства увеличиваться в размерах. А это еще больше провоцирует отслойку плодного яйца. В итоге, если не предпринимать никаких мер, плодное яйцо полностью отторгается (перерывается беременность).
Однако своевременное докторское вмешательство обычно способствует остановлению этого негативного процесса. Сложно сказать, по какой именно причине отторгается плод. Но существуют общие причины, обеспечивающие начинающийся выкидыш. Среди них:
- Перенесенные в недавнем времени болезни вирусного либо инфекционного происхождения;
- Патологии строения и развития матки;
- Чрезмерные и частые физические нагрузки;
- Частые эмоциональные перенапряжения и стрессы;
- Гормональные нарушения, в большей части случаев – недостаток в организме женщины прогестерона;
- Наличие опухолей, гинекологических болезней;
- Негативные экологические, производственные и бытовые факторы;
- Злоупотребление алкоголем;
- Наличие за плечами абортов;
- Резус-конфликтная беременность.
Предугадать возникновение этого явления, увы, невозможно. Это может произойти к любой женщиной в положении. По этой причине на ранних стадиях беременности следует внимательно отнестись к состоянию своего организма и реагировать на самые незначительные изменения в нем.
В большей части случаев на потенциальное отторжение плода указывает возникновение болей в нижней части живота. По своему характеру они тянущие, напоминают боли, которые возникают во время менструации.
Боли могу сопровождаться кровянистыми мажущими выделениями, отдают они в поясницу. Женщина пи проявлении таких симптомов должна сразу же отправляться в больницу. Следы на белье при отслойке плаценты могут быть желтоватыми, коричневыми. В некоторых случаях коричневый цвет свидетельствует о том, что гематома рассасывается, но не исключено возникновение повторного надрыва.
Внимание! Отслойку плодного яйца, диагностируют с помощью ультразвукового исследования.
Но в конечном результате плодной яйцо, которое здоровое, закрепляется очень крепко в матке и развивается благополучно. Да, не все беременные при проявлении симптомов отслойки плода ложатся на сохранение.
Важно! Гинекологи предупреждают, что риск прерывания беременности без лечения очень и очень высокий.
Плодные оболочки могу по-разному отслаиваться. Есть несколько ситуаций, которые провоцируют самопроизвольный аборт.
Биохимическая беременность. Так называют беременность, которая еще до задержки менструации (срок 1-2 недели) прервалась. Плодное яйцо при этом на УЗИ не может быть определено, и только анализ крови на ХГЧ может свидетельствовать о зачатии. Часто женщины даже не догадываться о наличии своей беременности.
Что происходит когда на сроке близко 2-ух недель плодное яйцо отслаивается? Из половых путей возникают кровянистые выделения, которые женщины принимает за начавшиеся месячные. На таком сроке причиной выкидыша есть дефект плодного яйца, который случается при формировании зародыша. Также причиной могут быть нарушения у женщины гормонального фона.
В таком случае от стенки матки начинает отслаиваться только часть плодных оболочек. Возникает гематома, у женщины внизу живота возникают боли, а из половых путей – кровотечения. Шансы сохранить беременность в таком случае есть.
В этой ситуации плодные оболочки полностью отторгаются от стенок матки, и происходит гибель эмбриона. Матка, пытаясь избавиться от плода, приходит в тонус. Внизу живота возникает схваткообразная сильная боль, которая отдает в крестец и поясницу. Возникает кровотечение, часто угрожающее жизни женщины. В таком случае нельзя сохранить беременность.
Регрессирующая или неразвивающаяся беременность является состоянием, при котором эмбрион погибает до момента отслойки плодного яйца. Сердцебиение плода на УЗИ не определяется.
Исчезают все признаки беременности, размеры матки уменьшаются. Возникают боли в нижней области живота, кровянистые выделения. Плодное яйцо отслаивается не сразу, а только через 1-2 недели после того, как эмбрион погибнет.
Плодные оболочки очень часто самостоятельно не выходят, их удаляют хирургически.
Если есть подозрения на то, что плодное яйцо все же отслаивается, то беременную, кладут на сохранение в больницу. Стационарно отслойку лечат под наблюдением доктором, хотя женщина имеет право отказаться от госпитализации.
Важно! На начальных этапах отслойки самое главное – полный покой женщины. Запрещается выполнять сложную работу, рекомендуется находиться постоянно в лечащем положении.
Брюшная стенка должна быть в состоянии полного покоя, а это может быть лишь в лежачем положении.
При выполнении любых действий брюшная стенка напрягается, а когда женщина ходит, то это создает вибрацию, что провоцирует повышение внутрибрюшного давления. Матку это приводит в тонус и отслоение только ускориться.
Доктор вдобавок ко всему может посоветовать женщине подкладывать валик или подушку под ягодицы, для обеспечения с области таза оттока крови.
В этот период очень активная кишечная перистальтика тоже опасна, из-за чего беременной назначают щадящую диету с исключением из рациона таких продуктов, которые провоцируют газообразование, слабят или крепят. Кроме этого следует отказаться от употребления чая и кофе.
Обязательно в этот период следует отказаться от половых сношений – любой секс категорически запрещается при наличии угрозы беременности. Эмоциональной состояние будущей матери также имеет большое значение. Следует обеспечить полный покой, исключить из жизни женщины любые переживания и стресс.
Без медикаментов, к сожалению, обойтись в такой ситуации нельзя, но врачи утверждают, что они способствуют сохранению беременности. Беременной могу быть назначены:
- спазмолитические препараты (Магне В6, Папаверин, Но-шпа);
- препараты, останавливающие кровь (Этамзилат);
- витамины (витамин Е и фолиевая кислота);
- успокаивающие средства;
- гормональные средства (Утрожестан, Дюфастон) и другие.
Лечащий доктор в каждом индивидуальном случае подбирает нужные для лечения препараты.
Продолжительность терапии будет разной в каждом отдельном случае, но будет не менее 2 недель. Лечение во многом зависит от того, насколько женщина будет придерживаться всех врачебных предписаний. Поэтому если хотите быстрого улучшения состояния, то нужно их в строгости выполнять.
В дальнейшем женщина, у которой была отслойка плодного яйца, должна быть род строгим докторским контролем до самого окончания вынашивания. Не стоит пренебрегать плановыми обследованиями и осмотрами. Доктора утверждают, что высокие риски рецидивов будете сохранены до ого момента, пока плацента окончательно не сформируется.
Поделиться:










