Достижения современной медицины позволяют тщательно наблюдать за беременными и выявлять тех из них, которые находятся в группе риска по возможным хромосомным аномалиям плода. Так, ультразвуковое исследование носовой кости (НК) плода является важным диагностическим инструментом выявления возможной аномалии.
Длина кости носа является показателем определения нормального развития плода. Выделяют два патологических состояния – гипоплазия и аплазия. Гипоплазия — это уменьшение ее длины, а аплазия – это отсутствие данной кости.
Оба эти состояния указывают на наличие у плода патологий, связанных с хромосомными нарушениями. Выявление этого показателя происходит посредством ультразвукового исследования.
Его нормальные значения свидетельствуют о внутриутробном развитии без отклонений.
Если видно, что показатели маленькие, т.е. имеются отклонения в сторону уменьшения, то это состояние является признаком гипоплазии. Явной патологией и отклонением является отсутствие косточек, что указывает на абсолютное недоразвитие этого органа и грубую аномалию. Это происходит редко, в исключительных случаях.
На ранних сроках беременности значение имеет наличие этой кости у плода, а измерение ее размеров в диагностических целях должно производиться не ранее 12-13 недели.
При гиперплазии или аплазии, выявленной на УЗИ, можно заподозрить не только неправильное внутриутробное развитие, но и синдром Дауна.
В этом случае необходимо провести дополнительное обследование через 2 недели для контроля над ситуацией.
На 10-11 неделе врач проверяет наличие носовой кости у плода, а уже к 12-13 неделе можно выявить отклонения в ее развитии. Они косвенно свидетельствуют о хромосомных аномалиях. Исследование проводится методом сравнения полученных данных с показателями нормы
Кроме того, в такой ситуации специалисты сравнивают результаты первого скрининга с имеющимися нормами по специальной таблице.
При расшифровке следует помнить о том, что в первую очередь значение имеет факт наличия у плода кости носа, а показатели измерения на этом сроке не столь информативны, поскольку хромосомные отклонения по этому маркеру проявляются несколько позднее.
Однако не стоит забывать о том, что заключение о хромосомных аномалиях, влекущих за собой рождение ребенка с тяжелыми заболеваниями, является серьезным диагнозом, который нуждается в тщательной проверке и детальном анализе.
Рост и развитие плода происходит в соответствии с определенными закономерностями и стандартами, подтвержденными наукой и жизнью. Это касается и параметров носа у будущего ребенка:
- так, нормой в 12 недель считается длина в 3 мм;
- в 20 недель косточка должна составлять от 5,7 до 8,3 мм;
- в 35 недель – не менее 9 мм.
То, насколько точно будет определен этот показатель, зависит от оборудования УЗИ-аппарата и от профессионализма и квалифицированности врача, проводящего подобную диагностику. Данные показатели нормы являются точкой отправления при расшифровке и изучении результатов пренатального скрининга.
Полученная в ходе обследования информация является основанием для дальнейшего наблюдения за состоянием плода, с целью выявления возможных аномалий развития.
Если в ходе ультразвукового исследования невозможно определить наличие НК и при этом отмечается утолщение воротниковой зоны, то врачи констатируют высокую степень вероятности того, что ребенок родится с врожденными дефектами, либо с болезнью Дауна.
Поэтому важно своевременно пройти соответствующее исследование и удостовериться в том, что будущий малыш здоров, и у него отсутствуют различные нарушения в развитии.
Наличие или отсутствие гипоплазии говорит о нормальном или патологичном внутриутробном развитии ребенка. Только соответствующий специалист может поставить диагноз и определить степень вероятности такого риска.
Для определения гипоплазии применяется следующая таблица, в которой представлены нормы показателя на различных сроках беременности. На основании этой таблицы, в которой указаны средние, минимальные и максимальные значения, врачи обобщают полученные на УЗИ данные и дают соответствующие заключения:
| 12 — 13 | 3,1 | 2 | 4,2 |
| 14 — 15 | 3,8 | 2,9 | 4,7 |
| 16 — 17 | 5,4 | 3,6 | 7,2 |
| 18 — 19 | 6,6 | 5,2 | 8 |
| 20 — 21 | 7 | 5,7 | 8,3 |
| 22 — 23 | 7,6 | 6 | 9,2 |
| 24 — 25 | 8,5 | 6,9 | 10,1 |
| 26 — 27 | 9,4 | 7,5 | 11,3 |
| 28 — 29 | 10,9 | 8,4 | 13,4 |
| 30 — 31 | 11,2 | 8,7 | 13,7 |
| 32 — 33 | 11,4 | 8,9 | 13,9 |
| 34 — 35 | 12,3 | 9 | 15,6 |
У будущих мам может возникнуть закономерный вопрос относительно того, что является причиной появления такой патологии, и как она связана с определением генетических аномалий и пороков.
В результате многочисленных исследований в этой области выяснилось, что такая гипоплазия была обнаружена у 80% детей, рожденных с синдромом Дауна.
Это дало основание для заключения о том, что подобная патология, обнаруженная на УЗИ, является признаком врожденных отклонений у ребенка.
Факторы, способные вызвать такое отклонение, достаточно разнообразны. Ученые генетики выделяют следующие из них:
- прием сильнодействующих медикаментозных средств на ранних сроках беременности, в том числе антибактериальных лекарственных препаратов;
- чрезмерное употребление алкоголя и табачных изделий;
- длительное перегревание беременной;
- наследственная предрасположенность;
- тяжелые заболевания на ранней стадии беременности;
- инфекционные заболевания, такие как краснуха, токсоплазмоз, грипп и др.;
- травмы и ушибы беременной;
- отравление опасными химическими веществами;
- гамма-излучение женщины во время беременности;
- факторы окружающей среды, вредно воздействующие на организм беременной женщины.
Во время беременности курение или даже вдыхание чужого табачного дыма может стать одной из основных причин развития врожденных дефектов плода
Итак, такая врожденная патология может явиться результатом не только наследственной предрасположенности, но и появиться вследствие ведения неправильного образа жизни и влияния неблагоприятных факторов, на которые чаще всего беременные женщины не обращают должного внимания.
Вместе с тем, эти факторы напрямую влияют на развитие будущего ребенка. Диагностические методы современной медицины, применяемые в акушерстве, дают возможность уже на ранних сроках беременности обнаружить такого рода отклонения и поставить родителей в известность о них.
На сроке беременности 10 недель можно проводить УЗИ для измерения различных параметров плода, характеризующих его развития. Несоответствие их показателям нормы является основанием для вынесения предположения о возможных отклонениях в развитии.
Исследование позволит получить объективные данные о внутриутробном развитии и оценить степень наличия хромосомных аномалий. Однако даже если УЗИ показало маленький, не соответствующий норме нос, не стоит отчаиваться раньше времени.
Не всегда достаточно одного данного параметра для выдачи заключения о наличии болезни и тяжелой патологии.
При диагностике патологий нельзя забывать об индивидуальности любого организма, которая свойственна даже на уровне внутриутробного развития.
В силу таких особенностей при измерении важных показателей, в данном случае носовой кости, могут несколько отличаться от приведенных стандартных значений.
Поэтому с высокой степенью уверенности говорить о том, что имеются хромосомные отклонения целесообразно лишь при наличии общей гипоплазии плода.
В этом случае отмечаются уменьшенные размеры всех конечностей и органов. Все это говорит о том, что не всегда отличие показателей от принятой нормы является признаком того или иного порока развития. Это может быть лишь индивидуальной особенностью будущего ребенка, и он родится вполне здоровым малышом. Только врач способен правильно расшифровать результаты обследования и поставить диагноз.
Развитие кости носа у эмбриона является одной из основных оценок состояния плода. Нарушение длины от нормы в меньшую сторону указывает на наличие гипоплазии носовой кости. Обнаружить возможную аномалию на начальных этапах беременности возможно с помощью ультразвукового исследования.
Каждый срок беременности имеет свои нормы, установленные наукой и опытом жизни, на которые опираются врачи, проводя осмотр беременной женщины. Гипоплазия носовой кости, на самом деле, очень серьезная патология. При ее выявлении многие родители принимают решение прервать беременность. Обнаружить можно патологию уже на 11–12 недели.
| Период | Норма (мм) | Мин. Значение (мм) | Макс. Значение (мм) |
| До 13-й недели | 3,1 | 2,0 | 4,2 |
| до 15-й | 3,8 | 2,9 | 4,7 |
| до 17-й | 5,4 | 3,6 | 7,2 |
| до 19-й | 6,6 | 5,2 | 8,0 |
| до 21-й | 7,0 | 5,7 | 8,3 |
| до 23-й | 7,6 | 6,0 | 9,2 |
| до 25-й | 8,5 | 6,9 | 10,1 |
| до 27-й | 9,4 | 7,5 | 11,3 |
| до 29-й | 10,9 | 8,4 | 13,4 |
| до 31-й | 11,2 | 8,7 | 13,7 |
| до 33-й | 11,4 | 8,9 | 13,9 |
| до 35-й | 12,3 | 9,0 | 15,6 |
Точность анализов УЗИ зависит от многих причин. Ошибку может показать неправильно настроенное оборудование или не квалифицированность врача. При обнаружении любых отклонений от нормы назначается повторное УЗИ и целый комплекс мероприятий, которые могут опровергнуть или подтвердить хромосомную патологию в развитии плода.
В результате многих клинических обследований и анализов ученые генетики выявили, что гипоплазия костей носа оказывается у 80 процентов малышей с врожденным синдромом Дауна. Поэтому чрезвычайно важно обнаружить физиологическую патологию плода до 20-й недели беременности. Факторы, которые обуславливают гипоплазию костей носа, довольно многочисленны и разнообразны.
К самым распространенным можно отнести:
- прием фармацевтических средств в первом периоде беременности, которые влияют на развитие эмбриона, а также противомикробных и антибактериальных средств;
- получение травм от ушибов и падений;
- чрезмерный перегрев под солнечными лучами или в сауне;
- перенесение вирусных инфекций, таких как герпес, краснуха, гепатит, ветряная оспа, ОРВИ;
- возраст беременной, после 40 лет у женщины поднимается риск рождения больного малыша;
- брак между кровными родственниками;
- злоупотребление вредными привычками;
- интоксикация ядовитыми веществами;
- электромагнитное излучение, испускаемое радиоактивными веществами, направленное на беременную.
Важно! Гипоплазия носовых костей формируется в основном от негативного влияния факторов окружающего мира.
Женщина в период беременности, употребляющая алкоголь и никотин, наносит серьезный вред развитию своего будущего малыша
При выявлении патологии у плода на начальных сроках существуют клинические показания на искусственное прерывание беременности. Однако если родители готовы принять ребенка таковым, какой он есть, то женщина сохраняет эмбрион. Главное, прислушаться к советам специалистов и принять правильное решение.
Значимым диагностическим критерием внутриутробного развития эмбриона является кость носа. Длина этого органа позволяет на ранних стадиях обнаружить большое количество болезней, связанных с хромосомами:
- синдром Дауна;
- Корнели де Ланге;
- трисомии хромосомы 13 Патау;
- Шерешевского-Тернера;
- трисомии 18 пары Эдвардса.
Существует две аномалии в состоянии носовой кости – это гипоплазия костей носа, где кость меньше нормы и где она полностью отсутствует, что является признаком аплазии. В обоих случаях фактор наличие хромосомного отклонения могут подтвердить повторные диагностические мероприятия.
Обнаружить гипоплазию носовой кости на начальных стадиях беременности могут помочь снимки, сделанные на ультразвуковом исследовании. Для изучения размеров эмбриона УЗИ начинают проводить на 10 неделе. Исследования позволяют увидеть объективное состояние развивающегося плода и наличие хромосомных аномалий.
Важно! Ранние выявления любых патологий у эмбриона влияют на последующее состояние малыша.
На этом сроке очень важно присутствие самой носовой кости, размер которой можно определить дождавшись 12 недель. Последние модели аппаратов показывают повышенную точность данных. Полученные результаты помогают следить за развитием плода и дают возможность выявить какие-либо патологии.
Женщинам не стоит преждевременно волноваться, поскольку это негативно отражается на малыше
Как правило, если анализы показали, что размер носовой кости не соответствует норме, назначают дополнительную диагностику. Каждый ребенок индивидуален, поэтому различия могут отразиться на внутриутробном его состоянии. Это указывает на то, что длина частей тела вполне может ненамного расходиться от нормативных значений.
Повторное УЗИ проводят с целью изучения не только носовых косточек, но и всех частей тела. Если эти размеры, кроме спинки носа, соответствуют возрасту плода, то волноваться рано, так как риск генетических патологий ничтожно мал. Чаще всего второе УЗИ опровергает показания первого.
Далее рассмотрены методы диагностики, которые применяются при определении патологии или появлении спорного вопроса на УЗИ.
При наличии двух ультразвуковых исследований, которые указывают на присутствие гипоплазии носовой кости, назначают амниоцентез. Это исследование околоплодной жидкости, в ходе которого берется ее образец с помощью микроскопического прокола в зародышевой оболочке.
Проведение анализа амниотических вод позволяет определить присутствующую патологию. При этом эти выявленные нарушения еще не всегда свидетельствуют о том, что у плода развивается хромосомное заболевание.
Современная медицина стремительно двигается вперед. И вовремя сделанная диагностика позволяет выявить группу риска среди беременных женщин, у которых присутствует наследственная патология. Пренатальный скрининг может обнаружить не только генетические отклонения, но и совершенно разные патологии.
Пренатальный скрининг эффективно выявляет аномалии в развитии плода на самых ранних сроках беременности
Скрининг имеет несколько форм:
- изучение маркерных белков проводит биохимическое исследование;
- ультразвуковую, которую женщины проходят как минимум три раза за весь период;
- инфекционные заболевания, которые влияют на развитие плода, выявляет иммунологический скрининг;
- анализ ДНК проводится при молекулярном исследовании;
- вероятность наличия заболеваний у эмбриона высчитывает специалист-генетик, изучая цитогенетическую форму пренатального скрининга.
Проведение исследований является наилучшей стратегией здравоохранения на обнаружение патологий у беременных женщин.
Проведение генетических тестов помогает обнаружить симптомы наследственных заболеваний, взятых из крови, слюны или из кожных тканей. Проводят их у женщин, которые имеют риск родить ребенка с хромосомной патологией. Исследования делятся на инвазивные и неинвазивные.
Инвазивные генетические методы проводятся женщинам до 35 лет. Во время операции вводят в матку специальный инструмент для получения биологического материала плодового происхождения. Такая процедура незаменима, так как только таким способом можно диагностировать многие наследственные болезни, не имеющие выраженные признаки и не определяющиеся другими способами.
Несмотря на то что при проведении такого обследования есть доля риска прерывания беременности, которая составляет до 3%, ее рекомендуют проводить. К таким процедурам относятся:
Анатомия носа и околоносовых пазух
- биопсия;
- плацентоцентез;
- фетоскопия;
- кордоцентез.
К неинвазивному исследованию относится уникальный метод – пренатальная диагностика основных трисомий. Точность результата анализов составляет 99,9%. Для его получения достаточно традиционного забора крови из вены будущей мамы.
Такая методика абсолютна безопасна и достоверно выявляет анеуплоидии по наиболее часто встречаемым хромосомам. Современные технологии помогают родителям принять правильное решение. Все генетические тесты проводят исключительно с согласием беременной женщины.
Любая женщина, которая отклоняется от проведения ультразвукового диагностирования, подвергается большому риску. И главное, что стоит под угрозой – это здоровье плода и будущей мамы. Многие считают, что такое диагностирование довольно опасно для будущего малыша. Однако с каждым годом ультразвуковые аппараты становятся все более совершенными, а значит не могут навредить.
УЗИ является абсолютно безопасной процедурой
Нужно понимать, что проведение диагностирования позволяет распознать серьезные патологии. И чем раньше их выявят специалисты, тем больше шансов родить здорового ребенка.
Перспективной методикой ранней диагностики является проведение ультразвука с целью выявить размер воротничковой зоны плода, нарушение формирования скелетных костей. Начиная с 12 недели и до 14 берут на анализы ворсинки хориона плаценты, проводя биописию. Затем до 18 недели изучают клетки созревшей плаценты с помощью плацентоцентоза.
Амниоцентоз рекомендуется проводить до 22 недели. Проводят кордоцентез, где получают пуповинную кровь эмбриона для дальнейшего изучения. Все процедуры контролируются специалистом на экране УЗИ. Это помогает избежать нанесение вреда плоду. После проведенных манипуляций беременная женщина остается в стационаре на несколько дней для нормализации своего состояния.
Если были обнаружены несоответствия фактических показателей от нормы, не следует паниковать. Беременность у каждого проходит индивидуально, эмбрион развивается скачками.
Иногда он замедляет рост, а иногда растет ускоренно.
Полученные результаты от проведения ультразвукового диагностирования лучше доверить опытному врачу, так как только хороший эксперт способен точно оценить какая степень риска может развиваться у плода.
Ученые мира в большей степени относят недоразвитие носовой кости к синдрому Дауна. Это серьезное заболевание, при котором родившийся ребенок требует к себе огромного внимания со стороны врачей, педагогов и родителей. Дети заметно отличаются от здоровых малышей физическим и умственным развитием:
- маленькая круглая голова;
- укороченная и утолщенная шейка;
- большая складка на затылке;
- широкий язык;
- плоское лицо;
- большие губы;
- уши имеют приросшие мочки;
- укорочены верхние и нижние конечности.
Чтобы окончательно диагностировать болезнь, специалисты тщательно изучают хромосомный набор
Помимо перечисленных признаков, может встречаться косоглазие, деформация груди. У детей, страдающих синдромом Дауна, чаще встречается порок сердца, нарушения ЖКТ и другие отклонения.
На сегодняшний момент существует прогресс в разработке и практическом применении новых технологий, позволяющих приспособить ребенка с таким заболеванием к нормальному образу жизни.
Гипоплазия носовой кости может указывать и на другие опасные патологии.
Гарантированных и надежных способов профилактики гипоплазии или аплазии не существует. Однако медики рекомендуют проводить ряд мероприятий:
- зачатие ребенка проводить до 39 лет, это касается обоих родителей;
- регулярно проходить генетические обследования, которые рекомендуется начать до беременности;
- поддерживать правильное питание;
- большую часть времени проводить на свежем воздухе;
- не принимать без надобности и назначений врача медицинских препаратов;
- начать прием фолиевой кислоты при планировании беременности;
- постараться избегать стрессовых ситуаций;
- принимать специальные лекарства, назначенные врачом после оценки клинической картины.
Женщина, страдающая какими-либо отклонениями, нуждается в специализированной медицинской терапии и пренатальном скрининге. Беременным лучше выбрать многопрофильную больницу, в которой можно получить комплексную помощь.
Гипоплазия носовой кости – это еще не повод для сильных волнений. Не опускайте руки, проходите все обследования. Чтобы была возможность вовремя диагностировать патологию, нужно вовремя проходить УЗИ, выполнять все рекомендации врача, следить за своим здоровьем и иммунитетом.

Отсутствие носовой кости на этом сроке может быть одним из признаковхромосомных аномалий. Поэтому на этот показатель врачи всегда обращают особоевнимание. Обычно в заключении используют два термина «гипоплазия» – т.е.она есть, но размер ее отстает от нормы, и «аплазия» – когда носоваякосточка не определяется совсем.
Поверьте, я совсем непретендую на позицию эксперта в этом вопросе, но, к сожалению, когда этаситуация коснулась меня, исчерпывающих ответов от специалистов я не получила.
Пришлось перевернуть весь интернет, сначала русскоязычный, а, когда, кромефорумов таких же испуганных, как и я мамочек, ничего толкового не нашла,перешла на англоязычный.
Итак. Начнем.
Первое скрининговое УЗИделают в сроки от 11 нед 3 дня до 13 нед и 6 дней. А если быть совсем ужточным, то когда копчиково-теменной размер (т.е. длина ребеночка от темени докопчика от 45 до 84 мм). При меньших размерах УЗИ еще не может выявить признаки хромосомных аномалий, в том числе гипоплазию носовой кости,а при больших размерах эти специфические признаки уже не определяются.
Не лишним будет еще раз уточнить, что срокбеременности считают акушеры от первого дня последней менструации, а не от датызачатия.
Так вот, в Европе до 12недель просто оценивают наличие или отсутствие носовой кости, а не ее размер! Ау нас в 12 недель 1,8 мм вместо 2,2 мм – всё! Это приговор! Своими глазамивидела заключения УЗИ Германии, Швейцарии и Италии.
В графе «носовая кость» насроке 12 недель стоит «+» или «-«. Но для особо дотошных ниже выложу иразмеры. А что же делать, если носовую косточку не видят? Самое главное – непаниковать! Сначала и однозначно сходить к другому специалисту на такназываемое экспертное УЗИ.
И посмотреть обязательно другие показатели: толщинушейной складки (воротникового пространства) должно быть до 3 мм, на аппаратах высокогоразрешения до 2.5 мм, частоту сердечных сокращений (ЧСС) ребеночка, кровоток ввенозном протоке. И сдать кровь из вены на хромосомную патологию (ПАПП-протеин, ХГЧ).
И дальше уже по результату компьютерная программа рассчитываетриск и понятно, что делать дальше. В разных странах степень риска оценивается по-разному.В одних – повышенным считается риск выше 1:250, в других — выше 1:100.
Там уже важно не толькоее наличие, но и длина. Существует много шкал, онлайн-калькуляторов, таблиц дляопределения длины носовой кости у плода в соответствии с возрастом. Но и здесьвсё не так однозначно.
Когда я начала переворачивать англоязычный интернет,оказалось, что не существует ЧЕТКИХ критериев гипоплазии носовой кости. Разные авторыпредлагают свои методики расчета и спорят-спорят.. С аплазией, т.е. отсутствиемносовой кости всё понятно.
Если ее нет во втором триместре, надо однозначно делать инвазивную диагностику, амниоцентез или кордоцентез. Конечно тем, кто не готов рисковать и рожать нездоровогоребенка.
А вот еслиносовая кость есть, но ее размер отстает от нормы, как быть тогда? Опять же,переделать УЗИ не у “хорошего специалиста», который радуется вместе свами, умиляясь и рассматривая, как ребенок ручкой помахал, а у узиста-генетика,который имеет опыт в этом вопросе.
Если всё-таки размер оказался меньше нормы,опять же не паниковать. В интернете гуляют нормы размеров носовой кости поМедведеву
Но я хочу предложить вам нормы по Sonek.
Он и естьосновоположник метода определения размеров носовой кости у плода и первым предположил связь гиполазии и аплазии носовой кости с синдромом Дауна. Вот ссылкана официальный сайт http://www.fetalsono.com/teachfiles/NasalTab.
Например: срок беременности 20 недель, бипариетальный размер (БПР) в норме может быть и 43 мм и 53 мм. Соответственно и носовая кость при меньшем размере тоже может быть меньше.
Поэтому вычислен такой простой показатель соотношение БПР/ДНК (бипариетальный размер/длина носовой кости) или в английском варианте — BPD/NB. Если этот показатель меньше 10, все ok.
Не стоит забывать, что есть еще и расовые отличия в длине носовой кости у плода, начинаясо второго триместра. С нашей расой могут сравниться разве что бразильцы.
Здесь ссылка на калькулятор онлайн расчета нормы длины носовых косточек во втором триместре беременности.http://perinatology.com/calculators/Nasal%20bone.htm
Кто будет пользоваться, имейтеввиду, что мы относимся к Caucasian. Да-да, не удивляйтесь – европейцысчитаются в международных исследованиях кавказской расой.
У турок, корейцев,афро-американцев нормы размеров носовой кости плода, начиная во второготриместра ниже наших. В частности,плечевой и бедренной. Поэтому не будет лишним сравнить и эти показатели. Вот формулы для расчета укорочения бедренной кости:0.
9338· БПР — 9.645= ожидаемая ДБК
измеренная ДБК/ожидаемаяДБК < 0.84 признак укорочения бедренных костей
0.9028· БПР — 9.3105= ожидаемая ДБК
измеренная ДБК/ожидаемаяДБК < 0.91 признак укорочения бедренных костей
Формула для расчета укорочения плечевой кости0.8492· БПР — 7.9404= ожидаемая ДПК
измеренная ДПК/ожидаемаяДПК < 0.9 признак укорочения плечевых костей
Ниже онлайн-калькулятор расчета риска синдрома Дауна по результатам УЗИ
1. Если есть больше кальция — носовая кость будет расти быстрее. Это ерунда. Кальция может не хватать маме, а ребенок для своего развития возьмет столько, сколько ему нужно. Ну подумайте сами: на все остальные кости кальция хватило, а на носовую не осталось? 2. У мамы нос маленький, поэтому и у ребенка маленький. Косточка находится в самой переносице, между глазками, и не она определяет длину носа, а хрящ. 3. Носовая кость растет скачками, поэтому именно сегодня она отстает. Все приличные таблицы уже содержат нормы даже для «скачков». Поэтому при наличии проблемы нужно посмотреть правде в глаза и обследоваться дальше. 4. гипоплазия носовой кости — это приговор.
Длина носовой кости плода является одним из важнейших показателей его формирования, а определить её можно при проведении ультразвукового исследования. Так что если врач назначил вам эту процедуру — не отказывайтесь. Вред от УЗИ при беременности- не более чем миф, а вот пользы от этого обследования может быть очень много.
Носовые кости — это четырехугольные удлиненные косточки, которые просматриваются уже на 10–11 неделе беременности. Если длина носовой кости у плода оказываются меньше, чем должна быть на данном сроке беременности, то в этом случае говорят о гипоплазии носовой кости. Если носовая кость у плода полностью отсутствует, то это состояние называется аплазией.
Гипоплазия костей носа у плода или их аплазия считается одним из важнейших признаков (маркером) некоторых хромосомных аномалий, например, болезни Дауна, синдромов Эдвардса, Тернера, Патау и некоторых других.
Правда, на самом раннем сроке гораздо большее значение имеет само наличие у плода носовых костей, чем их размеры. А определять размеры можно не ранее 12 недели беременности.
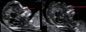
В качестве примера приведем несколько примеров: 1. Ниже на УЗИ мы видим нормальную носовую кость. Можно различить 3 четкие линии.
2. Гипоплазия носовой кости. УЗИ сделано на 12 неделе беременности. Длина — 1,4 мм (ниже границы нормы).
Размеры носовых костей плода зависят от срока беременности. Так, например, на 12–13 неделе беременности длина носовой кости всего лишь 3,0 мм. На 20–21 неделе она увеличивается до 5, 5 — 5,7 мм, а к 35 неделе беременности достигает 9,0 мм.
Для того чтобы правильно и точно оценить параметры носовой кости, полученные во время проведения ультразвукового исследования, врач должен обладать большим опытом и высокой квалификацией. Помимо этого необходимо чтобы УЗИ проводилось на современном аппарате — в противном случае получение достоверных результатов очень сомнительно.
Многие родители, услышав от врача, что размеры носовой кости их будущего ребенка не соответствуют нормальным значениям, впадают в панику. На самом деле, волноваться рано — точно определить у плода синдром Дауна или какую-либо другую хромосомную аномалию только по размерам носовых костей просто невозможно.
Для того чтобы подтвердить или опровергнуть предполагаемый диагноз беременной женщине рекомендуют проведение повторного УЗИ — у другого специалиста и на другом аппарате.
Если и при повторном исследовании будет установлено, что размеры носовой кости малыша не соответствуют тем, которые должны быть на этом сроке беременности, то женщине, как правило, рекомендуют пройти дополнительное обследование -амниоцентез, т. е. забор небольшого количества околоплодных вод для последующего генетического анализа.
Каждый человек индивидуален и, естественно, что эта индивидуальность прослеживается даже на этапе внутриутробного развития. Поэтому и размеры частей тела, в том числе и носовой кости, могут отличаться от табличных значений.
Уверенно говорить о наличие у плода хромосомных нарушений можно только в том случае, когда выявляется не только недоразвитие носовых костей, но и гипоплазия самого плода — короткие ручки и/или ножки, слишком маленькие размеры некоторых внутренних органов.
Поэтому если при проведении очередного УЗИ выяснится, что размеры носовых костей вашей крошки меньше нормы, то это ещё не значит, что имеется генетическая патология.
Вполне возможно это просто индивидуальная особенность плода и ваш малыш появится на свет вполне здоровым и с очаровательной курносой «кнопкой».
Не нужно делать выводов заранее и беспокоиться. Из практики. Бывает так, что при повторном УЗИ все оказывается хорошо. На это влияет человеческий фактор, поза ребенка и т.д.
В любом случае только врач может правильно интерпретировать все полученные результаты и поставить верный диагноз.
Благодаря этому к нам заглядывают специалисты и дают ответы на наши вопросы!А еще, вы можете задать свой вопрос ниже. Такие как вы или специалисты дадут ответ.Спасибки ;-)Всем здоровых малышей!
Пс. Мальчиков это тоже касается! Просто девочек тут больше
Длина кости носа у эмбриона – один из важнейших показателей правильного развития плода. Если носовая кость на УЗИ имеет размер меньше нормы, можно говорить о таком явлении, как гипоплазия носовой кости у плода.
Гипоплазия кости носа – маркер хромосомного нарушения и неправильного развития плода, но это еще не диагноз. Сама по себе гипоплазия не дает возможности с высокой степенью точности сказать о генетических нарушениях эмбриона, но она позволяет своевременно провести более информативные, нежели УЗИ, исследования.
По статистике пренатальная диагностика позволила снизить частоту появления на свет детей с синдромами Дауна, Патау, Эдвардса и другими хромосомными болезнями в полтора раза.
Взаимосвязь между размером костной части носа и физическим развитием эмбриона была выявлена учеными недавно.
Поэтому и определение длины носовой кости на УЗИ в рамках плана обязательной диагностики во время беременности стало проводиться только несколько лет назад.
После того, как медики сообщили, что дети с гипоплазией носа рождались с синдромом Дауна приблизительно в 80 раз чаще, чем эмбрионы, размеры носовой косточки которых соответствовали стандартам.
Преимущество УЗИ для выявления такого фактора, как гипоплазия носовых костей, над более информативными исследованиями – его безопасность и безболезненность. Определение размера косточки носа выполняется во время планового скрининга. Результаты можно узнать сразу после процедуры, но если УЗИ покажет недоразвитие косточки носа эмбриона, процедуру необходимо будет пройти повторно.
Гипоплазия носа выявляется при сравнении длины кости носа эмбриона на УЗИ с аналогичным усредненным значением здоровых детей. Однозначным признаком нарушения является аплазия – полное отсутствие носовой кости, но и уменьшение длины костной части носа тоже может свидетельствовать лишь о вероятных патологиях.
Учитывая тот факт, что показатель может незначительно отличаться из-за индивидуальных особенностей (размера эмбриона, точного срока беременности), диагноз ставится в том случае, если показатель ниже минимального допустимого порога.
В таблице отражены размеры носовой кости по неделям: в ней указаны возраст плода (недели), соответствующая длина носовой кости возрасту — максимальная и минимальная, а также среднее значение, все размеры в мм.
| Возраст эмбриона (недели) | Диапазон допустимых значений (мм) | Средний показатель (мм) |
| 12 – 13 недель | 2,0 – 4,2 | 3,1 |
| 14 – 15 недель | 2,9 – 4,7 | 3,8 |
| 16 – 17 недель | 3,6 – 7,2 | 5,4 |
| 18 – 19 недель | 5,2 – 8,0 | 6,6 |
| 20 – 21 недель | 5,7 – 8,3 | 7,0 |
| 22 – 23 недель | 6,0 – 9,2 | 7,6 |
| 24 – 25 недель | 6,9 – 10,1 | 8,5 |
| 26 – 27 недель | 7,5 – 11,3 | 9,4 |
| 28 – 29 недель | 8,4 – 13,4 | 10,9 |
| 30 – 31 недель | 8,7 – 13,7 | 11,2 |
| 32 – 33 недель | 8,9 – 13,9 | 11,4 |
| 34 – 35 недель | 9,0 – 15,6 | 12,3 |
Важно понимать, что точность исследования зависит от нескольких факторов. Например, от квалификации врача, выполняющего УЗИ, и оборудования, на котором он работает. Риск ложного заключения есть при проведении любого медицинского исследования, поэтому в случае отрицательного результата проводится не менее одной повторной диагностической процедуры.
Гипоплазия НК (носовой кости) на УЗИ является основанием для проведения ряда тестов, которые опровергнут или подтвердят отклонения в развитии.
При обнаружении на УЗИ маленькой носовой кости не стоит впадать в панику. Тщательное обследование во время беременности – необходимость, которая повышает шансы на рождение здорового ребенка, в то время как стрессы от промежуточных результатов исследования могут навредить как плоду, так и самой беременной женщине.
Основной причиной гипоплазии носовой кости является замедление развития, спровоцированное генетическими дефектами. То есть этиологию гипоплазии лучше рассматривать как причины генетических отклонений, в том числе синдрома Дауна.
- Токсическое воздействие на организм эмбриона на ранних сроках. Помимо очевидных источников отравления организма – алкоголя, курения, пребывания в неблагоприятных экологических условиях, токсический эффект может быть обусловлен приемом лекарственных препаратов. Именно поэтому прием любых препаратов на протяжении всей беременности может осуществляться исключительно под контролем лечащего врача. Токсическое воздействие может возникнуть и на фоне пищевого отравления.
- Самой распространенной причиной генетических аномалий являются инфекционные заболевания, перенесенные будущей мамой во время беременности: краснуха, грипп. Сами по себе эти заболевания не являются опасными, но вирус через кровь проникает в организм плода. Эмбрион не может справиться с инфекцией, поэтому вирус вызывает нарушения развития. Такое происходит не всегда, частота случаев поражения организм плода при инфицировании матери зависит от срока беременности. На первых неделях беременности вероятность патологии составляет порядка 80 %, а после 13 недель снижается до 10 %. Даже десятипроцентный риск заражения эмбриона заставляет считать вирусные заболевания беременной женщины опасным явлением, грозящим вылиться в мертворождение, выкидыш, отклонение в развитии.
- Неблагоприятные внешние условия способны привести к нарушению процесса нормального эмбрионального развития. Например, полученная будущей мамой физическая травма или тепловой удар. К внешним факторам, способным привести к замедлению процесса развития плода и, как следствие, уменьшению носовой кости, относится и воздействие гамма-излучения.
- Важным аспектом в вопросе правильного развития является наследственный фактор. При неблагоприятной наследственности риск того, что у плода на УЗИ будет обнаружено недоразвитие кости носа, многократно возрастает.
В том случае, если беременная женщина подверглась одному из данных факторов, она обязательно должна посетить акушера-гинеколога, а также сообщить об этом специалисту проводящему УЗИ-скрининг.
После того, как на мониторе прибора для ультразвукового исследования будет обнаружена гипоплазия костей носа у плода, врач направит пациентку на дальнейшее обследование.
- В первую очередь врач проводит повторное УЗИ, при помощи которого осуществляется измерение не только косточки носа, но и других органов. Если развитие эмбриона, за исключением длины носовой кости, соответствует его возрасту, риск генетической аномалии минимален. В ряде случаев повторно проведенное УЗИ показывает, что первый результат был ложным.
- Самый точный метод выявления генетических отклонений плода – амниоцентез.
Исследование представляет собой забор околоплодных вод из зародышевой оболочки. В ней содержатся клетки плода, которые и выступают материалом для анализа. Околоплодную жидкость используют для ряда анализов:
- гормонального;
- иммунологического;
- биохимического;
- клинического.
Но для выявления патологии развития эмбриона проводится цитологическое исследование.
Процесс выполнения амниоцентеза под контролем УЗИ.
- Жидкость забирается при помощи тонкой иглы, движения которой контролируются при помощи датчика УЗИ.
- Как правило, обезболивание при процедуре не требуется, но при желании беременной пациентки врач может обезболить область введения иглы.
- Процесс амниоцентеза продолжается не более полутора минут, после чего пациентке предлагается провести в палате под наблюдением медицинского персонала пару часов.
Исследование считается безопасным, но перед его проведением требуется собрать анамнез пациентки, чтобы исключить осложнения, например, кровотечение при пониженной свертываемости крови.
Обследования во время беременности необходимо каждой женщине. Гипоплазия носовой кости не поддается лечению, но она указывает на риск наличия патологий, о которых лучше знать как можно раньше, чтобы успеть принять меры, которые предложит пациентке врач.
Поделиться:










